همه چیز در مورد دندانپزشکی
منبع : راسخون
از روزگار کهن ، بیماری دهان مشکل انسانها بوده است. جمجمه افراد Cro-Magnon که 25000 سال پیش در زمین ساکن بودند، شواهدی از پوسیدگی دندان را نشان میدهد. قدیمیترین منبع ثبت شده بیماری دهان از یک متن سومری است. (Circa 5000 سال قبل از میلاد) که کرمهای دندان را بعنوان دلیل پوسیدگی دندان شرح میدهد. هیچ کس نمیتواند انکار کند که در طی سالها دندانپزشکی گامهای عظیمی برداشته و گذشته ، حال و آینده دندانپزشکی یکی از عنوانهای مورد بحث پیشکسوتان دندانپزشکی در چهل و هفتمین گردهمایی سالیانه آکادمی دندانپزشکان عمومی میباشد.
Eric Curtis دندانپزشک، مورخ نامدار دندانپزشکی و سخنگوی آکادمی دندانپزشکان عمومی میگوید: مطمئناً چیزهای زیادی از قرون وسطی تا ابتدای سالهای 1700 ، زمانی که اغلب درمانهای دندانپزشکی توسط افرادی بنام جراحان آرایشگر انجام میشد، تغییر کرده است. این افراد همه کاره، دندانها را میکشیدند و جراحیهای کوچک را انجام میدادند، بعلاوه مو کوتاه میکردند، زالو میانداختند و مومیایی میکردند.
دندانپزشکی باستانی
دندانپزشکی در گذر زمان
• پونتیک یا دندان مصنوعی در این دنچر پارسیل ثابت، جایگزین ثنایای میانی سمت راست بالا که از دست رفته، شده است. احتمالاً دندانی از یک گاو نر است که به نواری از طلا پرچ شده است (متعلق به سرزمین Etruria Musee de l Ecole Dentaire de paris)
• مسواک اولیه، مسواک خاورمیانه به نام Siwak و Misswak یک شاخه کوچک از درخت سالوادورا پرسیکا به نظر نیم اینچ است که آن را برای یک روز در آب غوطهور میسازند تا الیاف آن از هم جدا شود. چوب این درخت حاوی بیکربنات سدیم و اسید تانیک و سایر موادی است که تأثیر مثبتی روی لثهها دارد.
• دندانپزشکان در سالهای 1700 به جوامع آمریکایی مهاجرت کردند و خود را ابتدا وقف حذف دندانهای بیمار و قرار دادن دنچرهای مصنوعی نمودند. مواد ترمیمی استفاده شده قلع، ورق طلا، سرب و نقره بود. دنچرها از عاج تراشیده میشد و یا از دندانهای گاو نر فرم داده میشد.
• در سالهای 1800 حرفه دندانپزشکی شامل کارهایی نظیر کشیدن دندانها با Turnkay (یک وسیله ابتدایی شبیه به آچار چرخ ضامندار که برای کشیدن دندانها استفاده میشد)، تمیز کردن دندانها با کاغذ تراش (Seraper) و برداشت پوسیدگیها با وسایل دستی بود.
• Watter Hermann Ryff رساله جراحی بزرگ Gross chirurgey را در سال 1545منتشر ساخت و بنظر میرسد چندین بار آن را تجدید (Great Surgery) چاپ نمود، از جمله یکی در سال 1559 که در آن تصاویری از قلمهای جرم گیری Scaler دیده می شود. تصاویر Ryff دقیق و درست بود. متأسفانه عمر او کفاف نداد و کتاب دندانپزشکی که او تصمیم داشت بنویسد، هرگز چاپ نشد.
• صندلی دندانپزشکی James Beall Morrison در سال 1868 یک مکانیسم منحصر به فرد داشت که به دندانپزشک اجازه میداد آن را در هر جهتی کج نماید. با وجود مزایای واضح آن، فقط چهار نمونه از این صندلی ساخته شد (موزه دانشکده کپنهاک) صندلی دندانپزشکی توسط کمپانی سازنده وسایل دندانپزشکی در 1875 معرفی گردید که بر اساس بروشور تبلیغاتی آن میتوانست به اندازه کافی به عقب خم شود تا به دندانپزشک اجازه دهد، نشسته کارکند، ولی اغلب دندانپزشکان تا حدود سال 1950 ترجیح میدادند که حین کار ایستاده باشند.
• در 6 مارس 1840 اولین کالج دندانپزشکی دنیا در ایالت مریلند به نام کالج بالتیمور، در نتیجه تلاشهای Hayden,Harris تأسیس گردید.
• کشف مهم بیحس کننده در علم پزشکی توسط یک دندانپزشک آمریکایی به نام Hartford در سال 1844 انجام شد و آن گاز خنده آور نیتروزاکساید بود. وی پس از انجام بیحسی (بیهوشی)، دندان فردی را بدون احساس درد، کشید. در پایان دهه اول قرن بیستم، بیحسی موضعی جایگزین بیهوشی عمومی در مطب دندانپزشکی گردید. معرفی توسط شیمیدان آلمانی Alfred Einharn در 1904 ، دندانپزشکی را با حذف درد از اعمال دندانپزشکی متحول ساخت. در اوایل دهه 1920 اغلب دندانپزشکان، دستگاه اشعه ایکس و استریلیزاتور داشتند.
• جامعه پرستاران دندانپزشکی (دستیاران دندانپزشکی) در اوایل سال 1923 تشکیل گردید و دندانپزشکی چهار دستی به تدریج فراگیر شد. دکتر آلفرد فونس Bridgeport در ایالت آمریکا، اولین فردی بود که به نقش مهم بهداشت دهان و دندان در حرفه دندانپزشکی یقین پیدا کرده و تربیت بهداشتکار دهان و دندان را پایه گذاری نمود. او در نوامبر 1913 اولین کلینیک بهداشتکاران دهان و دندان را به نام کلینیک در گاراژ خانه خود افتتاح نمود.
• دندانپزشکان در سال 1847 به نقش پیشگیری کننده فلوراید در پیشرفت پوسیدگیهای دندانی پی بردند. در سال 1908 دکتر Mckay که در چشمههای کلرادو زندگی میکرد، متوجه ایجاد لکههای قهوهای رنگی در روی دندان کودکان شهرش شد که امروزه میدانیم در اثر مصرف بیش از حد فلوراید میباشد. او فهمید که مادهای در منبع آب شهر عامل بروز آن است و اینکه این کودکان پوسیدگی بسیار پایینی دارند. ولی آن عامل را شناسایی نکرد.
• اولین کلینیک دندانپزشکی رایگان در دنیا در سال 1902 توسط Jessen از استراسبورگ آلمان افتتاح گردید و اولین ژورنال تخصصی، ژورنال پریودنتولوژی بود که در سال 1930 چاپ شد.
• در طی قرن بیستم، هشت تخصص در دندانپزشکی تکامل یافت که امروزه هریک ژورنالهای اختصاصی خود را داراست. انجام امتحانات بورد در هر رشته به ترتیب زیر انجام شد:
o ارتودنسی 1930
o جراحی دهان 1946
o پاتولوژی دهان 1948
o |پروتز ثابت|پروتز 1948
o دندانپزشکی اطفال 1949
o دندانپزشکی اجتماعی 1951
o اندودانتیکس 1964
چشم انداز
افزایش تعداد افراد بالای 65 سال که دندانهایشان را حفظ کردهاند نیز دندانپزشکی را تحت تأثیر قرار داده است و توجه بیشتری به نیازهای پیچیده افراد مسن تر معطوف گشته است. افزایش جمعیت آگاهتر و فرهیخته تر در آمریکا بطور نسبی، تعداد ملاقاتهای دندانپزشکی برای داشتن لبخندی زیبا را افزایش داده است که کاملاً در تضاد با دلایل ویزیتهای دندانپزشکی در صد سال گذشته است: تسکین درد و بازیابی عملکرد در قرن آینده، با افزایش تعداد افرادی که دندانهایشان را در طول زندگی سالم نگهداشتهاند، این تمایل در مشتریان افزایش خواهد یافت.
دکتر Curtis میگوید: بطور حتم هیچ کس نمیداند که آینده دندانپزشکی چه چیزی را در خود خواهد داشت. من تصور میکنم با ورود به قرن بیست و یکم ما شاهد ترکیبی از دندانپزشکی با مراقبتهای جامع سلامتی باشیم و تمرکز بیشتری بر ارتباط بین سلامت دهان و سلامت عمومی خواهد بود. تکنولوژی همراه با رایانه برای تشخیص و درمان و درمانهای با واسطه ژن که ساختار ژنی دندانها را به منظور مقاوم ساختن آنها به پوسیدگی تغییر میدهد نیز بنا به اظهارات دکتر Cutis در آینده مهم خواهدبود.
تاریخچه دندانپزشکی در ایران
بعدها مسئله آموزش دندانپزشکی مطرح شد که پیشگامان این حرکت را میتوان کتر میلچارسکی، دکتر سیاح و برخی دیگر از دندانپزشکان آن زمان دانست. ذکر این نکته لازم است که دندانپزشکی شاخهای ازطب میباشد و تنها کلاس طب تا سال ۱۲۹۷ در مدرسه دارالفنون بود.
درآبان ماه آن سال کلاس طب به مدرسه طب تغییر کرد و در نتیجه این مدرسه دارای اتاق و رییس جداگانهای گشت که محل آن در حیاط بزرگ دارالفنون قرارداشت. با گذشت زمان وبا جدا شدن مدرسه طب از دارالفنون چنداتاق درحیاط وزارت معارف به آن اختصاص داده شد.
در سال ۱۳۰۰ که دکتر سیاح تحصیلات خود را دراروپا به پایان رسانید، به ایران مراجعت و با افرادی نظیردکترمیلچارسکی، دکتراشتومپ و دکتر استپانیان آشنا شد. اکثرآنها پزشکان مخصوص دربار بودند. در آن زمان به پیشنهاد دکترمیلچارسکی و دکتر سیاح وتصویب مسوؤلین وقت دستور راهاندازی مدرسه دندانسازی داده شد.این مدرسه در سال تحصیلی ۱۳۰۹-۱۳۱۰ وابسته به مدرسه عالی طب و مدیریت آن به عهده دکتر میلچارسکی و بعد به دکتر سیاح واگذارگردید. در آن زمان مدرسه دندانسازی دارای دو اتاق و یک زیر زمین بود که امور درمانی، لابراتوری و اداری در آن انجام می گرفت.
تجهیزات و برخی از مواد عبارت بودند از چند صندلی با سلفدانهای حلبی، چهار عدد چرخ پائی دندانپزشکی جهت کلینیک، یک میز چوبی، سه عدد چهارپایه، یک ولکانیزاتور و گچ ساختمانی که توسط محمدخان اولین مستخدم مدرسه دندانسازی کوبیده میشد و الک میگردید.
آموزشهای نظری و عملی در این مقطع توسط دکتر آشوت هاروطونیان و شهریار سلامت انجام می شد.
پایه دانشگاه به سبک دانشگاههای اروپایی در سال ۱۳۱۳ ریخته شد. در مهرماه آن سال دکتر سیاح رئیس دانشکده ودکترمحسن لک عهده دار تدریس کلینیکی شدند. دوره آن پنج سال بود که چهارسال آن صرف آموزشهای عملی ونظری میگردیدو یکسال جهت تهیه وتدوین پایان نامه.
رشتههای تخصصی دندانپزشکی که در ادامه به صورت کلی در مورد آنها بحث خواهد شد :
اندودنتیکس (تخصص درمان ریشه دندان)
پاتولوژی فک و دهان و صورت (آسیب شناسی)
رادیولوژی فک و دهان وصورت
جراحی فک و دهان و صورت
ارتودنتیکس (متخصص ارتودنسی)
دندانپزشکی کودکان
پریودنتیکس (تخصص بیماریهای لثه و بافتهای نگه دارنده دندان)
پرستودنتیکس (تخصص پروتزهای دندانی)
دندانپزشکی ترمیمی و زیبایی
تشخیص و بیماریهای دهان
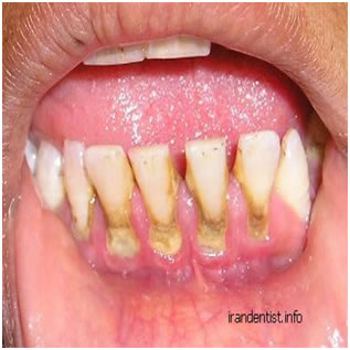
جرم گیری دندان
بعد از جرم گیری
.jpg)
قبل از بهبودی
.jpg)
خیر، جرم دندان علاوه بر اینکه برای لثه و بافتهای نگهدارنده دندان مضر میباشد محلی نیز برای تجمع و تکثیر میکروبهای پوسیدگیزا است. با عمل جرم گیری تعداد این میکروبها در دهان به مراتب کمتر میشود. با برداشته شدن جرم، بیمار ممکن است با زبانش حس کند که دندانش خالی شده است. این احساس همراه با مقداری حساسیت به سرما یا گرما (بعد از جرم گیری) این تصور غلط را تقویت نموده است که شاید دندانهایش در حین جرم گیری تراش خورده باشند، در صورتی که مکانیزم دستگاه جرم گیری لرزشی بوده و قادر به تراش نمیباشد.
علت حساسیت دندان به سرما بعد از جرم گیری چیست؟
دندان دارای حس بوده و در ناحیه طوق بسیار حساستر میباشد. وجود جرم بر طوق دندان به علت ضخامتی که دارد به عنوان یک عایق حرارتی عمل میکند و یا به عبارت دیگر جلوی حس دندان را میگیرد. با برداشته شدن آن بدیهی است که دندان بهتر متوجه تغییرات حرارتی میگردد، ضمناً بر اثر وجود جرم لثه پرخون و متورم شده و با عمل جرم گیری التهاب آن فروکش میکند لذا مقدار بیشتری از دندان نسبت به حالتی که قبلاً آماس لثه وجود داشته در دهان دیده میشود و این خود باعث احساس بیشتر تغییرات حرارتی میگردد. حساس شدن به سرما را میتوان به احساسی که بدن انسان بعد از استحمام دارد، تشبیه نمود. حساسیت به سرما همیشه و غالباً بوجود نیامده و در صورت ایجاد، گذرا و موقتی بوده و جای هیچگونه نگرانی ندارد.
آیا دندان بعد از جرم گیری لق میشود؟
خیر، با تجمع تدریجی جرم بر دندان، لثه و به دنبال آن مقداری از استخوان نگهدارنده دندان تحلیل میرود. در حقیقت دندان به این دلیل قبلاً لق شده ولی به علت انباشتگی و یکپارچگی جرم و چسبیده شدن دندانها به هم توسط آن، این حالت درک نشده و یا برداشته شدن جرم کشف میگردد و بیمار آن را منتسب به عمل جرم گیری میداند. یک ضرب المثل میگوید « جلوی ضرر را از هرکجا بگیری، منفعت است». لق شدن دندان منوط به تحلیل استخوان و انساج نگهدارنده دندان در اثر جرم و پلاک میکروبی است و در همه موارد بخصوص در مراحل اولیه بیماریهای لثه و بافتهای اطراف دندان دیده نمیشود.
آیا جرم گیری درد دارد؟
خیر، موردی برای بیحس کردن دندان به هنگام جرم گیری وجود ندارد. جرم گیری یا توسط قلمهای دستی و یا با دستگاه صورت میگیرد. نوک قلم دستگاه جرم گیری دارای لرزش و نوساناتی میباشد که با زدن ضربههای بسیار کوتاه بر جرم، آن را پاک میکند و دندان را نمیتراشد، آب دستگاه علاوه بر تمیز کردن و شستشو، دندان را نیز خنک میکند.
جرم گیری را هر چند وقت باید انجام داد؟
بسیاری از اشخاص با یکبار جرم گیری و رعایت همیشگی بهداشت دهان و دندان ممکن است تا مدتها نیازی به جرم گیری مجدد نداشته باشند. بدیهی است که هرگونه کوتاهی در رعایت اصول بهداشت دهان منجر به تجمع دوباره جرم خواهد شد. ضمناً بعضی از بیماران به علت دارا بودن بزاقی با ویژگیهای خاص از نظر میزان ترشح و ترکیب، بسیار مستعد به تشکیل جرم هستند، ضمناً استعداد به بیماریهای لثه در خانوادههایی بیشتر میباشد. در این گروه از بیماران توصیه میگردد جرم گیری در تناوب زمانی کوتاهتری انجام شود.
آیا استفاده از خمیر دندانهای ضد جرم مفید میباشد؟
خیر، اگر جرم با مسواک و خمیر دندان پاک نشد برای پاک کردن آن بایستی از دندانپزشکان کمک گرفت، ضمناً خمیر دندانهایی که به عنوان ضد جرم معرفی شدهاند دارای مقادیر زیادی از مواد ساینده بوده و فقط رنگ و لکههای رسوب نموده بر دندان را که Stain (زنگ) نام دارد، تمیز میکنند و استفاده همیشگی از آنها توصیه نمیگردد. این خمیر دندانها، به علت دارا بودن مواد ساینده زیاد، ایجاد خراشهای بسیار ظریف بر سطح دندانها نموده و زمینه را برای تجمع و چسبندگی بیشتر پلاک میکروبی فراهم میآورند.
پروتز ثابت دندان
بد نیست که بدانید محل قرار گرفتن دندانها را فشارهای وارده از طرف لب، زبان و گونه تعیین میکنند. به عبارت دیگر دندانها در محلی قرار گرفتهاند که برآیند نیروهای وارده به آنها صفر است. از نظر سطوح قدامی - خلفی و جونده نیز وجود دندانهای دیگر دندان را محدود میسازد. یک دندان تا هنگامی به رویش و حرکت فعال خود ادامه میدهد تا به دندان مقابل برسد. ضمناً دندانهای خلفی تر تمایل به حرکت به سمت جلو دارند. حال تجسم کنید که اگر یک دندان مثلاً اولین آسیای بزرگ فک پایین از دست برود چه اتفاقاتی ممکن است بیفتد؟ با از دست رفتن این دندان، مقداری از فضای حاصل از کشیده شدن آن با حرکت دندانهای مجاور (نه بطور کامل) اشغال میگردد. نتیجتاً فاصلهای بین دندانهای مجاور با دندان کناری شان ایجاد میگردد که علاوه بر گیر غذایی و احتمال بروز پوسیدگی، باعث آزردگی و بیماری لثه نیز میشود. ضمناً حرکت دندانهای مجاور بصورت کامل و بدنهای نبوده و با خم شدن و انحراف محوری آنها همراه است. ماحصل این خم شدن و ضرر حاصله، ایجاد بیماری لثه با بوجود آمدن پاکت لثهای (عمیق شدن شیار لثهای) در ناحیه زیر خم شدگی است. دیگر اینکه در صورت خم شدن، موقع جویدن غذا، نیرو در امتداد محور طولی دندان به آن وارد نشده و نیروی وارده مخرب خواهد شد. با کشیدن یک دندان تغییرات احتمالی فقط منحصر به فک مربوطه نبوده و نظم و آرایش دندانهای فک مقابل را نیز برهم میزند.
همانطوری که گفته شد دندانها تا هنگامی به رویش خود ادامه میدهند تا به دندان مقابل برسند. نتیجتاً دندان مقابل به سمت ناحیه کشیده شده شروع به رویش مینماید. این رویش اضافی علاوه بر اینکه از نظر زیبایی ناخوشایند است به علت مزاحمتی که در موقع حرکات طرفی فک ایجاد میکند، برای مفصل گیجگاهی فکی نیز مضر میباشد. باز هم مسئله به اینجا ختم نمیشود. اگر شکل یک دندان را در نظر بگیرید از قطر آن به سمت نوک ریشه کاسته میشود. بدیهی است با رویش بیشتر یک دندان، قسمتی از آن که مجاور دندانهای کناری قرار میگیرد اینک باریکتر بوده و ایجاد فضا و فاصلهای را مینماید که محل گیر غذایی بوده و عوارضی چون پوسیدگی و بیماری لثه را بدنبال دارد. باید بدانید که با کشیدن دندان، استخوان نیز دستخوش تغییرات میگردد. استخوان هر فک از دو قسمت ساختمانی تشکیل شده است. یک قسمت آن استخوان اصلی بوده و بدنه اصلی فک میباشد، قسمت دیگر آن لانه دندانی بوده و دندانها را در بر میگیرد و وجود آن بسته به وجود دندانهاست.
اگر دندانی از دست برود و جایگزین نگردد این قسمت از استخوان تحلیل رفته و اگر در آینده نیازی به استفاده از دندانهای مصنوعی بصورت دست دندان باشد، به علت تحلیل شدید استخوان گیر آن کم شده، بیمار را اذیت نموده و یا غیر قابل استفاده میشود. در حالت طبیعی و سلامت، عمل جویدن غذا متناوباً با استفاده از دندانهای هر دو طرف فک صورت میگیرد. در صورت از دست دادن دندان یا دندانهایی در یک طرف دهان، یا بیمار از آن طرف فک کمتر استفاده نموده و یا اصلاً استفاده نمیکند. اگر از یک طرف فک استفاده نشود دندانها تمیز نشده و جرم میبندند و علاوه بر اینکه مستعد به پوسیدگی میشوند ناراحتی لثه هم افزوده میگردد؛ زیرا که غذا خوردن در تمیز شدن دندانها و حفظ سلامتی لثه مؤثر است. با عادت یک طرفه غذا خوردن تغییراتی بصورت سایش در سطح جونده ایجاد میگردد که در صورت شدت، ممکن است ایجاد ناقرینه گی در سطح جونده نموده و در شکل و قیافه شخص نیز تأثیر بگذارد. صورتهای مختلف پروتز ثابت عبارتند از:
ونیرها (veneer)
روکش (Crown)
روکش کردن دندان در چه مواردی تجویز میگردد؟
• دندانهایی که دارای پرکردگیهای وسیع بوده، قادر به تحمل فشارهای جویدن نبوده و بسیار شکننده میباشند، پس ناچاراً باید روکش شوند.
• دندانهایی که تاج آنها شکسته و یا مقدار نسج باقیمانده دندان گیر کافی برای پرکردگی نداشته باشد.
• دندانهای معالجه عصب شده؛ دندانی که به معالجه عصب نیاز پیدا میکند معمولاً دارای پوسیدگی وسیع و پیشرفتهای بوده و ابتدا به ساکن مقدار زیادی از نسج سالم مینا و عاج را از دست داده است، ثانیاً دندانپزشک برای دسترسی به عصب داخل ریشه ناچاراً مقداری از نسج سالم دندان را بر میدارد، ثالثاً دندان تغذیه داخلی خود را از دست داده و قدری خشک میگردد. رابعاً، دندان ممکن است بر اثر خونریزی داخلی و یا بیماری پالپ (عصب و بافت داخل دندان) تغییر رنگ داده باشد.
• زیبایی: دندانهای تیره، بدرنگ و با شکلهای غیر طبیعی نیز نیاز به ترمیم توسط روکش دارند.
• ترکهای دندانی
• بازسازی سطوح جونده
آیا دندانی که تاج آن کاملاً از بین رفته باشد امکان ترمیم آن میسر است؟
بله، در این موارد دندانپزشک از داخل ریشه دندان (بعد از معالجه عصب) قالب گیری بعمل آورده و وسیلهای را که پُست نامیده میشود، میسازد. پست بعداً به داخل ریشه دندان چسب خورده و قسمتی از آن به عنوان تاج بیرون میماند که بر روی آن روکش دندان سوار میگردد.
روکش دندان شیری «SSC»
بریج (Bridge)
بریج در چه مواردی توصیه میگردد؟
اگر دندان یا دندانهایی از دست بروند و دندانهای کناری قادر به تحمل فشار باشند، بریج توصیه میشود. برای روکشهای فلزی میزان تراش کمتر بوده و برای روکش های چینی با اسکلت فلزی مقدار تراش بیشتر بوده و برای روکشهای تمام چینی اندکی بیشتر است. ضمناً سطح جونده در صورتی که قرار باشد با چینی پوشانده شود نیاز به تراش بیشتری دارد. مقداری از فضای حاصل از تراش دندان صرف اسکلت فلزی و مقداری صرف پوشاندن سیاهی رنگ فلز توسط مواد اوپک و بقیه آن صرف اضافه نمودن چینی مخصوص عاج و مینای دندان میگردد.
ایمپلنت
مراحل جایگزینی ایمپلنت
.jpg)
.jpg)
مواد مورد استفاده در روکش و بریج
پرسلن (سرامیک/چینی)
این ماده بصورت اینله، انله، روکش و ونیرهای زیبایی استفاده میشود. ونیر پوسته بسیار نازکی از پرسلن است که میتواند جایگزین مینای دندان شود و یا بخشی از آن را میپوشاند. ترمیمهای پرسلن بطور خاصی مورد قبول و پسند عامه مردم هستند، زیرا رنگ و شفافیت آنها مشابه مینای دندان طبیعی است. این نوع ترمیم حداقل دو جلسه و گاهی بیشتر وقت نیاز دارد. ترمیم با پرسلن تحت کشش یا فشار مستعد شکستن است. مقاومت آنها بستگی به ضخامت کافی پرسلن و قدرت باند آن با دندان زیرین دارد. آنها نسبت به سایش بسیار مقاومند، اما اگر سطح پرسلن خشن باشد، به سرعت سبب سایش دندانهای مقابل میشود.
پرسلن وفلز
نوع دیگری از ترمیم غیر مستقیم است که بسیار قوی و با دوام بوده و در روکش یا بریج بکار میرود. این نوع ترمیم قویتر از پرسلن به تنهایی است. قسمت زیادی از دندان باید تراش داده شود تا این نوع ترمیم روی آن تطابق یابد. گرچه بسیار مقاوم به سایش میباشند، ترمیمهای پرسلن اگر سطح خشن داشته باشند، سبب سایش دندانهای طبیعی مقابل میگردند. ممکن است در ابتدای جایگذاری ترمیم کمی حساسیت به سرما یا گرما وجود داشته باشد. اغلب بیماران مشکلی با این نوع ترمیم ندارند، گرچه تعداد کمی نسبت به بعضی انواع فلز استفاده شده در ترمیم، حساسیت و آلرژی نشان دادهاند.
آلیاژ طلا
آلیاژ طلا، حاوی طلا، مس و سایر فلزاتی است که ترمیمی قوی بصورت روکش یا بریج را بدست میدهد. آنها معمولاً برای اینله، انله، روکش و بریجهای ثابت استفاده میشوند. بسیار مقاوم به خوردگی و تیرگی رنگ هستند. مقاومت بالایی به شکستن و سائیدگی دارند و این امر موجب میگردد که دندانپزشک، حداقل میزان ساختمان دندان را حین تراش بردارد. آلیاژهای طلا مشکلی برای دندانهای مقابل ایجاد نکرده و بخوبی توسط بیماران تحمل میشوند. گرچه رنگ فلزی آنها شبیه نمای دندان طبیعی نیست.
آلیاژ فلزی
آلیاژهای فلزی غیر قیمتی به رنگ نقره هستند و در روکش، بریج ثابت و دنچر پارسیل استفاده میشوند. آنها نسبت به خوردگی و تیرگی رنگ بسیار مقاومند و مقاومت بالایی به شکستگی و سایش دارند. رنگ فلزی آنها نمای دندان طبیعی را ندارد. بعضی بیماران ممکن است نسبت به فلزات، واکنش آلرژیک نشان دهند و در صورت کاربرد آنها ممکن است ابتدائاً حساسیت به سرما و گرما وجود داشته باشد.
تشخيص و بيماريهاي دهان
• آفت كوچك
• گازگرفتگي گونه
• بوي بد دهان
• خشكي دهان
• تغييرات دهاني همراه با افزايش سن
• فلوروزيس
• دندان قروچه (براكسيزم)
• سرطان دهان
آفت كوچك
آفت چيست؟
به زخم هاي عود كننده و دردناك مخاط دهان آفت گفته مي شود. زخم آفتي در چند نوع بزرگ، كوچك و تبخالي شكل وجود دارند و شايع ترين آنها آفت كوچكي مي باشد كه به تعداد 5-1 عدد و به قطر كمتر از يك سانتي متر و معمولاً 5-3 ميلي متر ديده مي شوند. اين زخمها گرد يا بيضي بوده و به رنگ زرد خاكستري با حاشيه قرمز و تا حدي برجسته ديده مي شوند. از نظر محل، بيشتر قسمت قدامي حفره دهان مبتلا مي شود و محل شايع آن پشت لبها - مخاط گونه، كف دهان، زير و كناره هاي زبان مي باشد. اين زخم ها كمتر به كام، حلق، لثه چسبيده و روي زبان را مبتلا مي سازند. غالب افراد در زير سن 40 سالگي حداقل يك يا چند بار به آن مبتلا شده، ولي سن شيوع آن، دهه دوم زندگي مي باشد و زن ها بيشتر از مردان به آن دچار مي شوند. زخم هاي آفتي اغلب دردناك بوده و با تماس با غذا و نوشيدن مايعات محرك (ترشي و ادويه دار) درد آن تشديد مي گردد. بخصوص اگر زبان گرفتار شده باشد كه در اين صورت علاوه بر غذا خوردن، ممكن است صحبت كردن نيز مشكل شود. بيماراني كه مرتبا ً آفت مي زنند احساسي شبيه به سوزن سوزن شدن و يا سوزش قبل از ايجاد زخم(معمولاً 24 ساعت قبل) در محل دارند. زخم سريعاً بوجود آمده و خود بخود بعد از 10-7 روز التيام مي يابد و از خود اثري برجا نمي گذارد. بهبودي زخم ها ممكن است همزمان صورت نگيرد. معمولاً بعد از بهبودي تا مدتي (گاهاً 4-3 هفته) زخمي ايجاد نمي گردد ولي در افراد بسيار حساس و مستعد ممكن است زخم هاي اولي هنوز خوب نشده، زخم هاي ديگري در دهان(معمولاً در جاي ديگر) ديده شوند.
عامل ايجاد كننده آفت كوچك چيست؟
بدليل شباهت اين زخم ها به زخم هاي تبخالي و همچنين عود آنها سابقاً فكر مي كردند كه ممكن است ويروسي باشند. با نمونه برداري از اين زخم ها و ديدن نوع ال فرم استرپتوكوك، احتمال ميكروبي بودن، آن بالا گرفت ولي مشاهده گرديد كه اين ميكروبها در مخاط سالم و ديگر زخم هاي دهان نيز ديده مي شوند. امروزه اعتقاد بر اين است كه آفت جزء بيماريهاي سيستم ايمني است. در بيماريهاي سيستم ايمني شناخت بافتهاي آشنا از بيگانه مختل مي گردد. درآفت سلولهاي دفاعي بدن به قسمتي از مخاط دهان حمله ور شده و باعث زخمي شدن آن ناحيه مي شوندكه گذرا بوده و خود بخود بهبود مي يابد.
بعضي از بيماران بعد از مراجعه به دندانپزشكي آفت مي زنند. آيا از وسايل غير استريل استفاده شده است؟
خير، همانطوري كه گفته شد عامل ايجاد كنندهآفت ميكروب و ويروس نمي باشد. عوامل مستعد كننده اي براي ايجاد آفت وجود دارند كه در ارتباط با دندانپزشكي مي توان به استرس و تروما(فشار مختصر ناشي از كنار كشيدن گونه، لب و يا زبان توسط آينه و رول پنبه و حتي تماس مخاط با ابزار دندانپزشكي) اشاره نمود.
عوامل مستعد كننده آفت كدامند؟
در درجه اول استرس و هيجانات روحي مي باشد. ديده شده كه در دانش آموزان و دانشجويان به هنگام امتحانات ابتلاي آفت بيشتر است و همچنين بسياري از بيماران نيز از درمانهاي دندانپزشكي، ترس و استرس دارند. بعد از ضربه و تروما كه قبلاً ذكر گرديد، اختلالات هورموني نيز در بروز آفت نقش دارند. در خانم ها 5-3 روز مانده به قاعدگي، آفت بيشتر ديده مي ِود و در زمان حاملگي معمولاً زخم هاي آفتي مشاهده نمي شوند. آفت در افراد حساس و آلرژيك نيز بيشتر ديده مي شود. در افرادي كه حاسيت به بعضي از مواد دارند ابتلاي آفت بيشتر است. بعضي از مواد غذايي مثل گردو، فندق، پسته، پنير و بادنجان ميزان شيوع آفت را بالا مي برند. كمبود آهن و اسيد فوليك و ويتامين B2 نيز از عوامل مستعد كننده مي باشد.
درمان آفت چيست؟
آفت خودبخود التيام مي يابد و معمولاً نيازي به درمان ندارد. درآفت اگر درماني لازم شود معمولاً علامتي بوده و به دو منظور زير خواهد بود:
1 - كاستن از درد و التهاب و استرس
2 - جلوگيري از اضافه شدن عفونت ثانويه به آن توصيه مي گردد، افرادي كه مرتباً و به تعداد زياد آفت مي زنند و يا آفت آنها بزرگ بوده و التيام در مدتي بسيار طولاني صورت مي پذيرد، جهت شناسايي عامل و بيماريهاي زمينه اي مستعد كننده تحت معاينات و آزمايشات كامل تري قرار گيرند.
گازگرفتگي گونه
گاز گرفتگي زبان و گونه در كودكان پس از انجام درمانهاي دندانپزشكي توام با بيحسي.
والدين كودكاني كه در مطب دندانپزشكي بيحسي موضعي دريافت ميدارند، بايد آگاه باشند كه بافت نرم در ناحيه تزريق، براي يك ساعت يا بيشتر بيحس خواهد بود. اين كودكان بايد به دقت تحت نظر باشند تا نتوانند سهواً و عمداً اين بافت را گاز بگيرند. كودكاني كه بيحسي فك پايين را براي اعمال ترميمي معمولي دريافت مي دارند، ممكن است لب، زبان يا سطح داخل گونه را گاز بگيرند. گاهي اوقات والدين يك يا دو ساعت بعد از ملاقات دندانپزشكي به مطب تلفن ميكنند تا آسيب وارده به مخاط دهان كودكشان را اظهار دارند. اگر اين حادثه در طي ملاقات دندانپزشكي روي داده باشد، والدين ممكن است شگفت زده شوند. در تمام موارد كودك ناحيه را جويده است و در نتيجه 24 ساعت بعد در محل زخمي وجود خواهد داشت. معمولاً والدين تصور ميكنند كه علت اين زخم، بروز عفونت ناشي از كار دندانپزشك و يا وسايل غير استريل مطب است كه كاملاً اشتباه است و فقط نتيجه عدم مراقبت از كودك در زمان بيحس بودن لب و زبان، پس از درمان دندانپزشكي ميباشد. با اين حال، كودك بايد در 24 ساعت اول ديده شود. دهانشويه آب نمك وسرم در تميز نگهداشتن ناحيه كمك خواهدكرد.
بوي بد دهان
علت بوي بد دهان يا خارج دهاني و يا داخل دهاني.
عمدهترين علل غيردهاني عبارتند از:
- بيماريهاي دستگاه تنفسي شامل: بيماريهاي سينوس ـ مخاط بيني، ناي و ريهها.
- بيماريهاي دستگاه گوارش، گرسنگي و معده خالي و بوي ناشي از خوراكيها، داروها و مشروبات.
- اختلالات غدد مترشحه داخلي در مواقع حاملگي، قاعدگي، يائسگي، بلوغ و ديابت.
- مسموميت ها و كمبود بعضي از ويتامينها.
- سن و جنس.
بوي دهان در نوزادان معمولاً مطبوع بوده و با درآمدن دندانها و استفاده از مواد غذايي متنوع گاهاً نامطبوع ميگردد. با پيشرفت سن و بخصوص در هنگام پيري بوي دهان نامطبوعتر ميگردد كه شدت آن در زنان بيشتر است. در هنگام گرسنگي و خالي ماندن معده، گازهاي بد بوي روده از دهان متصاعد شده و باعث بوي بدي ميگردد كه با شستن دهان از بين نميرود. همچنين نوع ميكروبهايي كه در معده بطور طبيعي وجود دارند در ايجاد بو، مؤثرند. در بيماري ديابت بوي استن از دهان استشمام ميگردد. در مواقع بالا رفتن اسيد اوريك و اورمي نيز بوي بد احساس ميگردد. به علت افسردگي عوامل ايجاد كننده بوي بد دهان بطور اختصار علل داخل دهاني آن توضيح داده ميشود. عدم رعايت بهداشت دهان باعث ميشودكه باقيمانده مواد غذايي بين دندانها گير كرده و بر اثر فعاليت ميكروبي تخمير و تجزيه شده و سبب بوي بد دهان گردد. در ايجاد گير غذايي علاوه بر عدم رعايت بهداشت دهان و وجود حفرات پوسيدگي، مرتب نبودن دندانها نيز نقش دارد. پوسيدگي اگر متوقف و يا معالجه نشود به پالپ دندان ( نسج نرم وسط دندان و در اصطلاح عاميانه عصب دندان) رسيده و باعث عفونت آنجا توسط ميكروبها شده و بوي بد و متعفني استشمام ميگردد. بين لبه آزاد لثه و دندان شياري به عمق 1-0/5 ميليمتر بنام شيار لثهاي وجود دارد. در مواقع ابتلا به بيماريهاي لثه (پيوره)عمق اين شيار زياد شده و به آن پاكت (Pocket) گفته ميشود. اين پاكت محل مناسبي براي رشد و فعاليت ميكروبي بوده و ايجاد چرك و بوي بد ميكند. جرم دنداني به علت خلل و فرجي كه دارد نيز، محل مناسبي براي تجمع و فعاليت ميكروبي بوده و ممكن است بوي بد دهان را باعث شود و يا تشديد نمايد. نوع ميكروبهايي كه بطور طبيعي در حفره دهان زندگي ميكنند و همچنين كاهش ترشح بزاق و غليظ بودن آن در ايجاد بوي بد دهان ممكن است دخيل باشند. ترميمها و پروتزهاي قديمي و غلط نيز به علت گير غذايي ميتوانند ايجاد بوي نامطبوع نمايند. علاوه بر عفونتهاي دندان و مخاط دهان عفونتهاي لوزه در ايجاد بوي بد دهان نقش دارند. درمان بوي بد دهان شناسائي عامل بوجود آورنده و حذف آن ميباشد. در دندانپزشكي رعايت موارد بهداشت دهان و دندان و حذف عامل ايجاد كننده بسيار مورد توجه ميباشد.
هرچه شما مي خوريد، برهواي بازدم شما تأثير مي گذارد. غذاهاي خاصي مثل سير و پياز باعث بوي بد مشخصي در تنفس شخص مي شود. وقتي غذا جذب سيستم گردش خون گرديد، به ريه ها منتقل مي شود، جايي كه دفع تنفسي انجام مي شود. مسواك زدن - نخ كشيدن و استفاده از دهانشويه فقط بطور موقت بو را از بين مي برد. بوها تا خذف كامل غذا از بدن وجود دارند. افراد تحت رژيم هاي غذايي ممكن است به دليل دفعات كمتر تغذيه دچار بوي بد دهان شوند. اگر شما بطور روزانه مسواك و نخ دندان استفاده نمي كنيد، ذرات غذايي باقيمانده در دهان باعث تجمع باكتريها شده و موجب بوي بد دهان مي شود. غذايي كه بين دندانها، روي زبان يا اطراف لثه جمع مي شود، فاسد شده و بوي بدي از خود به جا مي گذارد. دندانهاي مصنوعي كه بخوبي تميز نشده باشند نيز به دليل تجمع ذرات غذا و باكتريها ايجاد بوي نامطبوع مي نمايند. يكي از علائم هشدار دهنده بيماري پريودنتال(لثه) بوي بد دهان بطور مداوم و يا احساس مزه بد در دهان مي باشد. بيماري پريودنتال توسط پلاك دنداني ايجاد ميشود.پلاك دنداني لايه بيرنگ چسبنده اي است كه باكتريها بطور مداوم روي دندانها تشكيل مي دهند. باكتريها، سمومي ايجاد مي كنند كه باعث تحريك لثه ها مي شود. در مرحله پيشرفته بيماري، لثه ها، استخوان و ساير ساختارهايي كه از دندانها حمايت مي كنند، آسيب مي بينند. با چك آپ و معاينات مرتب دندانپزشكي، دندانپزشك مي تواند سريعاً بيماري پريودنتال را تشخيص داده و درمان نمايد. بوي بد دهان بواسطة خشكي دهان(گزروستومي) نيز ايجاد ميشود كه حالتي است كه جريان بزاق در دهان كاهش يافته است. بزاق براي تميز كردن دهان و برداشت ذرات مولد بوي بد ضروري است.خشكي دهان به دلايل مختلفي ايجاد مي شود. مصرف بعضي داروها، مشكلات غدد بزاقي و تنفس مداوم از دهان. اگر شما از خشكي دهان رنج مي بريد، دندانپزشك ممكن است براي شما بزاق مصنوعي تجويز كند يا پيشنهاد كند كه از شكلاتهاي بدون قند استفاده كنيد و ميزان مايعات مصرفي تان را افزايش دهيد. محصولات تنباكو نيز باعث بوي بد دهان، رنگ گرفتن دندانها، كاهش قدرت چشايي و تحريك بافتهاي لثه، ميشود. مصرف كنندگان تنباكو اغلب از بيماري پريودنتال رنج مي برند و بيشتر از سايرين در معرض خطر سرطان دهان مي باشند. اگر شما تنباكو مصرف مي كنيد، از دندانپزشكتان بخواهيد كه براي ترك اين عادت به شما كمك كند.
بوي بد دهان ممكن است نشانة يك اختلال پزشكي مثل يك عفونت موضعي در دستگاه تنفس(بيني، گلو، ريه و راههاي هوايي)، سينوزيت مزمن، ترشحات پشت بيني، برونشيت مزمن، ديابت، اختلالات دستگاه گوارش، بيماري كبد و يا كليه باشد. اگر از نظر دندانپزشكتان دهان شما سالم است، شما ممكن است براي تعيين علت بوي بد دهان به يك متخصص يا پزشك خانوادگي ارجاع داده شويد.
حذف بيماري پريودنتال و حفظ و تأمين سلامت دهان به نحواحسن جهت كاهش بوي بد دهان ضروري است. به منظور معاينه و تميز كردن دندانها بطور حرفه اي، ملاقاتهاي مرتب با دندانپزشك داشته باشيد. اگر تصور مي كنيد كه دائماً دچار بوي بد دهان هستيد، ليستي از غذاها و داروهايي كه مصرف مي كنيد، تهيه نمائيد. بعضي داروها ممكن است در ايجاد بوهاي دهان نقش داشته باشند. اگر بعد از آخرين ويزيت دندانپزشكي قبلي خود تا به حال، بيماري يا جراحي داشته ايد، به دندانپزشكتان اطلاع دهيد. روزي دو بار با يك خمير دندان فلورايددار دندانهايتان را مسواك كنيد تا ذرات غذا و پلاك حذف شود. زبانتان را نيز مسواك كنيد. روزي يكبار با استفاده از نخ دندان يا يك تميز كننده بين دنداني، بين دندانها را تميز كنيد. اگر پروتز متحرك داريد، شبها آنها را از دهان خارج سازيد و قبل از استفاده مجدد در صبح روز بعد، آنها را كاملاً تميز نمائيد. دهانشويه ها معمولاً اثر طولاني مدتي بر بوي بد دهان ندارند. اگر شما مجبور به استفاده مداوم از يك خوشبو كننده دهان هستيد تا بوي بد دهانتان را پنهان سازيد، حتماً نزد دندانپزشك برويد. اگر شما نياز بيشتري به كنترل پلاك داشته باشيد، دندانپزشك ممكن است به شما توصيه كند كه از يك دهانشويه ضد ميكروبي خاص استفاده كنيد. يك دهانشويه فلورايد همراه با مسواك و نخ دندان، مي تواند مانع پوسيدگي دندان گردد. اگر بوي دهان مربوط به بيماري لثه باشد، دندانپزشك تان ممكن است شما را نزديك متخصص بيماري هاي لثه، ارجاع دهد. بيماري لثه موجب مي شودكه بافت لثه از دندان جدا شده و پاكت ايجاد شود. وقتي اين پاكتها عميق باشد، فقط يك تميز كردن حرفه اي ميتواند باكتريها و پلاك تجمع يافته را حذف نمايد. گاهي درمانهاي وسيع تري نيز ضروري مي باشد.
خشكي دهان
چرا من احساس خشكي در دهان مي نمايم؟
كاهش جريان بزاق سبب خشكي دهان مي شود و اين يك مشكل شايع بين افراد مسن است. اين مسأله به دليل اختلالات پزشكي خاص و گاهي به دليل اثر جانبي داروهايي مثل آنتي هيستامين ها، ضداحتقان ها، ضد دردها و داروهاي مدر ايجاد مي شود. مشكلات معمولي همراه با خشكي دهان عبارتند از: گلودرد دائمي، احساس سوزش، مشكلات صحبت كردن، سختي بلع، خشكي راههاي هوايي بيني. دندانپزشك روشهاي مختلفي براي غلبه بر اين وضعيت به شما پيشنهاد خواهد كرد: آب نبات يا آدامسهاي بدون قند كه جريان بزاق را تحريك مي كنند واستفاده از بزاق مصنوعي و دهانشويه ها براي تأمين رطوبت دهان.
تغييرات دهاني همراه با افزايش سن
- آيا از دست رفتن دندانها با گذشت زمان و افزايش سن امري حتمي و غير قابل پرهيز است؟
خير، امروزه به دليل پيشرفتهاي علمي و تأكيد بر پيشگيري در دندانپزشكي، سالمندان دندانهاي طبيعي خود را به مدت بيشتري حفظ مي كنند. بهداشت دهان خوب و مراقبتهاي دندانپزشكي مرتب در طول زندگي، در هر سني اهميت دارد. با انجام صحيح روشهاي بهداشت دهان در خانه و ملاقات مرتب با دندانپزشك تان شما از مشكلات دنداني جلوگيري نموده و پول و وقت خود را نيز حفظ كرده ايد. در ضمن دندانها و لثه تان نيز تا سنين بالا سلامت مي مانند.
- در سن من، آيا لازم است با مسواك زدن و نخ كشيدن خود را اذيت كنم؟
مسواك زدن و نخ كشيدن روزانه براي حفظ دندانهاي طبيعي تان در وضعيت مطلوب ضروري است. به ويژه وقتي سن افزايش مي يابد، پلاك ، لايه باكتريايي بيرنگ، چسبنده اي كه باعث پوسيدگي دندان و بيماري لثه (بيماري پريودنتال) مي شود. روي دندانهاي افراد مسن، سريعتر تشكيل مي شود و همين امر احتمال بروز پوسيدگي دندان و بيماري پريودنتال را افزايش مي بخشد. دندانهايتان را روزي دوبار با يك خمير دندان فلورايددار مسواك بزنيد و بين دندانهايتان را روزانه با نخ دندان و يا تميز كننده هاي بين دنداني تميز كنيد. جهت معاينات مرتب و تميز كردن دندانهايتان بطور حرفه اي، ملاقات با دندانپزشكتان را فراموش نكنيد.
- آيا افراد بالغ هم بايد نگران پوسيدگي باشند؟
پوسيدگي دندانها تنها مشكل كودكان نيست. بالغين در همه سنين مكن است دچار پوسيدگي دندان شوند. دليل بروز پوسيدگي در همه سنين يكسان است. وقتي باكتريهاي پلاك از كربوهيدرات (شكر و نشاسته) غذايي استفاده مي كنند، توليد اسيد كرده و باعث بروز پوسيدگي مي شوند. البته وضعيت پوسيدگي با افزايش سن كمي تغيير مي كند. در افراد بالغ، پوسيدگي اغلب در اطراف پركردگي هاي قديمي رخ مي دهد. پوسيدگي ريشه دندان نيز در بين افراد مسن شايع تر است. وقتي لثه ها تحليل مي رود، سطوح نرم تر ريشه به فضاي دهان راه مي يابند و پوسيدگي روي آن بسيار راحت تر از ميناي دندان ايجاد مي شود. پوسيدگي دندان در سنين بالا به دليل خشكي دهان نيز تشديد مي شود. وقتي ميزان بزاق بطور چشمگيري كاهش يابد، اين وضعيت رخ مي دهد و اغلب ناشي از مصرف داروهايي مثل: آنتي هيستامين ها، داروهاي ضد فشار خون و داروهاي ضدافسردگي و يا ناشي از درمان با اشعه(راديوتراپي) در ناحيه سر يا گردن مي باشد. اگر اين مشكل تداوم يابد، باعث بروز پوسيدگي هاي وسيعي در دندانها مي شود كه سريعاً پيشرونده هستند. اگر شما چنين مشكلي داريد، با دندانپزشكتان مشورت كنيد تا براي شما بزاق مصنوعي و يا محصولات حاوي فلورايد را براي پيشگيري از پوسيدگي تجويز نمايد.
- بيماري لثه دليل عمده از دست رفتن دندان در بالغين است. من در اين مورد چه مي توانم انجام دهم؟
بيماري لثه(بيماري پريودنتال) اغلب به آهستگي پيشرفت مي نمايد و بدون درد است و به همين دليل در بين افراد مسن شايع تر است. هرچه به مدت بيشتري بيماري تشخيص داده نشده و كنترل نشده باقي بماند، ضرر بيشتري به لثه ها و ساير بافتهاي نگهدارنده دندانها وارد مي سازد. گرچه عامل بيماري پريودنتال، پلاك است ولي ساير عوامل مي توانند شدت آن را افزايش بخشند. غذاي باقيمانده بين دندانها، سيگار كشيدن، استفاده از تنباكوي بدون دود، دندانهاي نامنظم، بريج ها و پروتزهاي پارسيل نا مناسب، رژيم هاي غذايي نا صحيح و حاوي مواد مغذي كم و بيماري سيستميك مثل كم خوني از جمله اين عوامل هستند. بيماري لثه در مراحل اوليه، برگشت پذير است. در موارد پيشرفته ممكن است نياز به جراحي وجود داشته باشد. در صورت مشاهده هريك از علائم زير سريعاً به دندانپزشك تان مراجعه كنيد: خونريزي از لثه هنگام مسواك زدن، لثه هاي قرمز، حساس و متورم، جدا شدن لثه از دندانها، خروج چرك از حدفاصل لثه و دندانها وقتي كه لثه فشار داده مي شود، دندان لق يا ايجاد فاصله بين دندانها، هرگونه تغيير در وضعيت جفت شدن دندانها با هم، هرگونه تغيير در وضعيت پروتز پارسيل شما، بوي بد و مزه بد دهان بطور دائمي.
پروتزهاي من به راحتي قبل نيستند، قبل از مراجعه به دندانپزشك، آيا مي توانم مواد مختلفي را آزمايش كنم تا وضعيت آنها بهتر شود؟
اگر پروتزها به درستي نگهداري شوند، شكل آنها تغيير نمي كند. آنها ممكن است به دليل تغييرات طبيعي لثه ها و استخوان لق شوند كه اين به دليل تحليل رفتن و جمع شدن استخوان فك و لثه ها مي باشد. اگر پروتز شما به درستي در دهانتان قرار نمي گيرد، هرچه سريعتر به دندانپزشك تان مراجعه كنيد تا تنظيم هاي لازم انجام شود. دستكاري شما به پروتز آسيب رسانده و آن را غير قابل تعمير مي سازد. پروتزهاي نا مناسب كه در خانه تعمير مي شوند، لثه، زبان و گونه ها را تحريك مي كند. در موارد اورژانس، چسب هاي پروتز، آنها را تا مراجعه شما به دندانپزشك، سرجاي خود نگهميدارد. اگر پروتز شما لق شده است از دندانپزشك تان بخواهيد آن را بررسي كند.
- در حال حاضر كه من از پروتز كامل استفاده مي كنم، آيا واقعاً لازم است مثل قبل بطور مرتب نزد دندانپزشك بروم؟
بله، دندانپزشك دهان شما را معاينه مي كند تا هرگونه مشكلي را در لثه ها، زبان و مفصل فك تشخيص دهد. در ضمن از لحاظ سرطان دهان، وضعيت دهان را بررسي مي كند. به دلايل بسياري، افراد مسن بيشتر در معرض بيماريهاي دهان و از جمله سرطان دهان هستند. 95 درصد سرطانها در افراد بالاي 40 سال ديده مي شود. البته تعداد بسياري از اين سرطانها اگر زود تشخيص داده شوند،قابل درمان مي باشند. بافتهاي دهان نيز به منظور تشخيص علائم ساير بيماريها كه اولين علامت بروز آن مي تواند در دهان باشد، معاينه و بررسي شوند.
- من در جويدن و بلع بعضي غذاها مشكل دارم، آيا واقعاً لازم است من همان غذاها را و با همان تنوعي كه قبلاً مصرف مي كردم(در سنين جوان تر)، حالا نيز مصرف نمايم؟
حفظ يك رژيم غذايي صحيح براي هر شخصي اعم از پير يا جوان ضروري است. بعضي افراد مسن به دليل مشكل در جويدن يا بلع از مصرف بعضي غذاها مثل گوشتها، سبزيجات خام و ميوه هاي تازه خودداري مي كنند. اين مشكلات ممكن است به دليل دندانهاي دردناك، پروتزهاي نا مناسب، خشكبي دهان و يا بروز تغييراتي در عضلات صورت باشد. بعضي ديگر از افراد به دليل بيماري خاص و يا مصرف داروهاي خاصي، احساس تغيير در حس چشايي خود مي نمايند. به دلايل فوق رژيم غذايي افراد مسن اغلب دچار كمبود كلسيم، پروتئين و ساير مواد غذايي ضروري براي سلامت كلي بدن و سلامت دندانها است. شما لازم است رژيم غذايي متعادلي شامل هر 5 گروه غذايي- شير و محصولات لبني، نان و غلات، گوشت ها و حبوبات، ميوه ها و سبزيجات داشته باشيد. شما ممكن است نياز به يك مكمل مولتي ويتامين يا مواد معدني داشته باشيد، ولي پزشك خودتان نباشيد. اين مكمل ها را پس از مشورت با پزشكتان استفاده نمائيد.
من براي رفتن نزد دندانپزشك اضطراب دارم، ميدانم كه لازم است بروم، ولي نمي دانم در اين مورد چه ميتوانم انجام دهم؟
اضطراب در مورد درمانهاي دندانپزشكي غير معمول نيست. افراد در هر سني آن را تجربه مي كنند. بيماران مسن تر ممكن است كمتر قادر باشند براسترس خود غلبه كنند كه ممكن است اين امر به دليل وضعيتهاي خاص جسمي آنان مثل كاهش بينايي يا شنوايي باشد. صحبت با دندانپزشك يك جنبه مهم داشتن يك ملاقات دندانپزشكي راحت مي باشد. شما بايد احساساتتان را با دندانپزشك و پرسنل مطب در ميان بگذاريد. اجازه دهيد آنها بدانند كه شما مضطرب هستيد تا درمان شما را مطابق با وضعيت روحي شما به انجام برسانند. تكنيكهاي درماني رفتاري جديد و مرتبط با روانشناسي سبب پيشرفت در زمينه كنترل اضطراب و درد بيماران دندانپزشكي گرديده است.
- من در حال حاضر دارويي مصرف مي كنم كه پزشكم براي من تجويز كرده است. آيا مصرف اين دارو بر درمان دندانپزشكي من تأثيري مي گذارد؟
وقتي دندانپزشك راجع به تاريخچة پزشكي شما سؤال مي كند، سعي كنيد كاملترين اطلاعات را در مورد وضعيت سلامتي خود به او بدهيد. اگر شما اخيراً در بيمارستان بستري شده ايد و يا عمل جراحي داشته ايد، يا اخيراً مريض بوده ايد، دندانپزشك را در جريان قرار دهيد. به دندانپزشك نام دارو و ميزان مصرف و دفعات مصرف آن را بگوئيد و نام پزشكي كه آن دارو را براي شما تجويز كرده نيز ذكر كنيد. اگر دارو را خودتان از داروخانه تهيه كرده و مصرف مي كنيد به دندانپزشك اطلاع دهيد. هرگونه تغيير در وضعيت سلامتي و يا مصرف داروهاي خود را به دندانپزشك تان اطلاع دهيد. اين اطلاعات به وي كمك مي كند تا بي خطرترين و مؤثرترين درمان را براي شما انتخاب نمايد.
- من شنيده ام كه ايمپلنت مي تواند جايگزين دنچر(دندان مصنوعي) شود. چه چيزي لازم است در مورد آن بدانم؟
ايمپلنت هاي دنداني راه حل مناسبي براي بيماراني است كه با دنچرهاي معمولي، نيازشان برطرف نمي شود و از نظر كاركردي مشكل دارند. گرچه هر بيماري كانديداي خوبي براي ايمپلنت نمي باشد،تصميم گيري در اين مورد، بايد به بعد از معاينه كامل توسط دندانپزشك و بحث در مورد مزاياي نسبي و خطرات احتمالي عمل قرار دادن ايمپلنت موكول شود. در مورد مناسب بودن يا نبودن ايمپلنت براي شما، با دندانپزشكتان مشورت كنيد.
- شنيده ام روشهاي زيبايي جديدي هستند كه لبخند و نماي دندانها را زيباتر مي سازد. آيا آنها براي افراد مسن مناسبند؟
افراد مسن از بسياري از اين روشها براي زيبايي لبخند و دندانهاي خود مي توانند بهره ببرند. دندانپزشك روشهاي درماني مناسب شما را برايتان شرح خواهد داد. بخشي از مرحله مسن شدن قبول افزايش سن و داشتن انتظارات منطقي در مورد بهبود ظاهر مي باشد. درمان دندانپزشكي براي افراد مسن مي تواند راهي مناسب براي تأمين سلامت و داشتن احساسي بهتر نسبت به خود باشد. دهان و دندان ما نقش بسيار مهمي در تكامل رواني و احساس ما در طول زندگي دارند. دندانپزشكي مدرن، روشهاي گسترده و متعددي را براي تأمين زيبايي افراد در كليه سنين ارائه داده است. روشهاي زيبايي همراه با بهداشت دهان خوب و ملاقاتهاي مرتب با دندانپزشك مي تواند به بهبود ظاهر لبخند شما كمك كند.
- چرا دندانهاي من تيره تر بنظر مي رسند؟
اين امر به دليل تشكيل سريع تر و با مقادير بالاتر پلاك، لايه باكتريايي چسبنده و بيرنگ مي باشد. تغيير در عاج، بافت شبه استخواني زير ميناي دندان نيز ممكن است باعث شود، دندانهاي شما تيره تر بنظر آيند.
- چرا من به تدريج حس چشايي ام را از دست مي دهم؟
شما ممكن است دريابيد كه به دليل تغيير در حس چشايي، اشتهايتان كاهش يافته است. عوامل متعددي باعث اين امر مي شود. علاوه بر كاهش حس چشايي و بويايي به دليل افزايش سن، بيماريهاي خاص، داروها و دنچرها مي توانند در كاهش حس چشايي شما دخيل باشند.
فلوروزيس
چگونه فلوروزيس مينا مي تواند ايجاد نگراني كند؟
نماي فلوروزيس در افراد مختلف متفاوت است و ممكن است بصورت تغيير رنگ و يا لكه هاي قهوه اي رنگ و نواقص مينايي ظاهر شود. مينا ممكن است حفره حفره، خشن و ناصاف شود و تميز كردنش مشكل شود. در موارد خفيف يكسري لكه هاي سفيد رنگ كوچك كه اغلب قابل توجه نمي باشد ديده مي شود.
چگونه كودكي مبتلا به فلوروزيس ميناي مي شود؟
با خوردن مقادير زياد از حد فلورايد با توجه به سن و وزن كودك در طي سالياني كه دندانها تشكيل و تكامل مي يابند ممكن است فلوروزيس ايجاد شود. مصرف اضافي فلورايد ممكن است به طرق مختلف اتفاق بيفتد: نخست اينكه، آب شرب شهر داراي فلورايد باشد يعني فلورايد به آن افزوده شده باشد و كودك نيز فرآورده فلورايدي استفاده كند. سوم اينكه، كودكان ممكن است مقدار زيادي خمير دندان فلورايدي استفاده كرده و آن را به هنگام مسواك زدن ببلعند.
چگونه مي توان از فلوروزيس جلوگيري كرد؟
قدم اول، مشاوره با دندانپزشك اطفال مي باشد. وي از مقدار فلورايد آب آشاميدني مطلع بوده و در صورتيكه بچه اي نياز به فلورايد اضافي داشته باشد مقدار و نحوه مصرف را تعيين مي كند. قدم دوم، مشاهده مقدار مصرف خمير دندان مي باشد. كلاً مقدار كمي خمير دندان بايد بر مسواك گذاشته شود. به بچه ياد بدهيد كه خمير دندان را نخورد و بعد از شستن دندانها آب دهان را بيرون بريزد.
با اين اوصاف آيا بايد مصرف فلورايد را كنار گذاشت؟
خير، فلورايد از پوسيدگي دندان جلوگيري مي كند و نقش مهمي براي داشتن دندانهاي سالم و بالتبع داشتن لبخندي پر نشاط براي تمام لحظات عمر ايفا مي كند. كودك بايدفلورايد را مصرف كند،اما نه به مقدار خيلي زياد. با كمك دندانپزشكان فلورايد را مي توان به قدر كافي و با خيال راحت مصرف كرد.
آيا فلوروزيس قابل معالجه مي باشد؟
فلورايد جزئي از تركيب دندان مي باشد و نمي توان آن را برداشت ولي اگر اثر فلورويس بر دندانهابزرگ و چشمگير باشد ميتوان درمانهاي خاص دندانپزشكي ترميمي و زيبايي آنها را اصلاح نمود. اگر كودك شما از فلوروزيس رنج مي برد دندانپزشك اطفال ميتواند در مورد روشهاي دندانپزشكي كه به كمك آن شانس اينكه لبخند و اعتماد بنفس از دست رفته، به كودك شما بازگردانيده شود را به شما توضيح داده و يا اقدام نمايد.
دندان قروچه (براكسيزم)
علائم آن عبارتند از: درد در فك و يا داشتن سردردهاي مبهم مي باشد و حتي ممكن است به علت سايش شديد، دندانها دردناك و يا لق باشند، در حدي كه حتي منجر به بروز شكستگي آنها گردد.
براي محافظت دندانهاي شما در طول خواب، دندانپزشك مي تواند براي شما يك محافظ دهاني بسازد.
اگر استرس علت اصلي آن مي باشد، لازم است تا راهي براي ريلكس شدن خود بيابيد. درمانهاي فيزيكي، شل كننده هاي عضلاني، مشاوره و حتي ورزش ممكن است به شما كمك كند تا از اين فشارهاي رواني رهايي يابيد. گاهي نيز علت دندان قروچه جفت شدن ناصحيح دندانها و وجود نقاط تماس مخرب مي باشد، در اين خصوص متخصصين پروتز با ساخت پلاكهاي خاص، قادر به درمان شما مي باشند.
سرطان دهان
امروزه تشخيص اوليه و زودرس سرطان دهان خيلي آسان تر از گذشته است. از طرفي تشخيص سرطان در مراحل اوليه يعني زمانيكه شانس بهبودي بيمار بالاست. ميزان مرگ و مير در اثر سرطانهاي دهاني بيش از ساير سرطانهاي ناحيه سر و گردن و يا سرطانهاي پوست اين ناحيه مي باشد، بطوريكه تقريباً فقط نيمي از بيماران دچار سرطان دهان بيش از 5 سال عمر مي كنند.
آنچه شما بايد در مورد سرطان بدانيد:
- شروع آن اغلب به صورت بروز يك ضايعه و يا يك قسمت سفيد يا قرمز رنگ است كه در هر نقطه دهان ممكن است ديده شود.
- اغلب در افرادي اتفاق مي افتد كه از اشكال مختلف تنباكو استفاده مي كنند. استفاده توأم از الكل و سيگار خطر ابتلا را به شدت افزايش مي دهد.
- در حال حاضر بيش از 25% موارد ابتلا در افرادي ديده مي شود كه فقط سيگار مي كشند و ساير عوامل مستعد كننده در آنها ديده نمي شود.
معاينه منظم بسيار حائز اهميت است:
معاينه منظم و پريوديك دهان و دندان براي تشخيص زودرس ضايعات سرطاني و پيش سرطاني بسيار ضروري است. زيرا ممكن است اين ضايعات در مراحل اوليه بسيار كوچك و غير قابل توجه باشند، اما فوق العاده خطرناكند.
در طي معاينات اوليه چه مواردي مشاهده مي شود؟
دندانپزشك شما ابتدا بايد دهان شما را به دقت معاينه كند. در حدود 10% از معاينات دهاني ضايعات كوچك، كسطح، سفيد و بدون درد ديده ميشود. البته اغلب اين ضايعات خطرساز نيستند اما به هر حال بعضي از آنها ممكن است ضايعه سرطاني باشند. معمولاً ضايعات خطرناك در هنگام معاينه از ضايعات بي ضرر تشخيص داده مي شوند، هرچند بهترين روش انجام آزمايش بر روي اين ضايعات است. در صورتيكه شما يك زخم بر روي مخاط دهان خود (به همراه يكي از عوامل مستعد كننده) داشته باشيد، دندانپزشك آنرا درمان مي كند و از شما مي خواهد براي معاينه مجدد مراجعه كنيد. معمولاً چنانچه دندانپزشك به يك ضايعه برخورد كند كه به نظر بي ضرر مي رسد و علت واضح و مشخصي ندارد، از لحاظ سطحي آن زخم يك نمونه بافتي تهيه ميكند كه تهيه آن دردناك نيست. در صورتيكه اين نمونه حاوي سلولهاي مشكوك باشد، بايد ساير مراحل تشخيص طي شود. اما در صورتيكه ضايعه از نظر دندانپزشك مشكوك به ضايعه سرطاني باشد، تحت بي حسي موضعي نمونه بافتي از مناطق عمقي تر ضايعه تهيه مي شود تا بررسي دقيق تري انجام شود.
از خود محافظت كنيد ؛ علائم اوليه و زودرس را بشناسيد و بطور منظم به دندانپزشك خود مراجعه كنيد؛
* « سرطانهاي دندان ابتدا اغلب به صورت لكه هاي قرمز يا سفيد كوچك و يا بصورت زخم در هر ناحيه از دهان ظاهر مي شوند».
ساير علائم سرطانهاي دهان عبارتند از:
- تغيير رنگ بافت مخاطي دهان.
- وجود يك لكه ضخيم و برجسته با سطح زبر كه شبيه به دمل است.
- درد، حساسيت يا بي حسي در هر ناحيه از دهان و يا در ناحيه لبها. بياد داشته باشيد كه بايدبطور منظم به دندانپزشك خود مراجعه كنيد، زيرا در بسياري از مناطق دهان خودتان قادر به مشاهده اين ضايعات نيستند. چنانچه يكي از علائم فوق را در خود مشاهده كرديد، بدون معطلي به دندانپزشك مراجعه كنيد. دندانپزشك شما مهارت و ابزار لازم را دارد تا وجود ضايعات سرطاني و پيش سرطاني را در دهان شما تشخيص دهد. شما با كمك دندانپزشك خود مي توانيد با سرطان دهان بجنگيد و در برابر آن پيروز شويد.
آنچه لازم است درباره درمان سرطان دهان بدانيد:
بطور متوسط در حدود يك سوم بيماران مبتلا به سرطان متعاقب درمان بيماري خود دچار عوارض دهاني مي شوند. به همين دليل بيماران سرطاني بايد قبل و در حين درمان سرطان خود تحت معاينه دندانپزشكي قرار گيرند تا از سلامت دندانها و مخاط دهان خود مطمئن شوند تا به اين ترتيب ميزان عوارض دنداني و دهاني در آنها به حداقل برسد. بعنوان مثال اغلب افراديكه تحت راديوتراپي در ناحيه سر و گردن قرار مي گيرند، دچار عوارضي از قبيل خشكي دهان، حساسيت مخاطي، حساسيت دندانها، پوسيدگي وسيع دنداني و مشكل در حين بلع مي شوند.
شيمي درماني نيز تأثيرات مشخص و واضح بر روي مخاط دهان و دندانها دارد. به دليل جلوگيري از بروز اين مشكلات و يا حداقل كاهش ميزان صدمات وارد به دهان و دندان دندانپزشك و سرطان شناس بايد قبل و در حين درمان با يكديگر همكاري نزديك داشته باشند. در طي مدت زماني كه شما تحت درمان سرطان ناحيه سر و گردن مي باشيد، بايد دندانهاي خود را حداقل دوبار در روز با احتياط مسواك بزنيد، مگر اينكه دندانپزشك به شما روش ديگري پيشنهاد كند. ممكن است دندانپزشك علاوه بر مسواك روزانه استفاده از دهانشويه را هم تجويز كند. در صورتيكه شما دچار عارضه خشكي دهان بشويد، دندانپزشك بادي جايگزيني براي بزاق دهان به شما معرفي كند مانند بزاق مصنوعي.
استفاده از فلورايد هم روشي است كه براي كم كردن پوسيدگي دندانها مورد استفاده قرار مي گيرد. به دليل اينكه بروز عفونتهاي دهاني ممكن است سبب ايجاد گرفتاري جدي براي شما شود. در صورت بروز اين عفونتها بايد بلافاصله به دندانپزشك و يا پزشك خود مراجعه نمائيد.
حقايقي در مورد سرطانهاي دهاني
* بروز سرطانهاي دهاني در افراد بالاي 40 سال به مراتب بيش از افراد زير 40 سال مي باشد.
* مطالعات نشان مي دهند مصرف ميوه و سبزيجات به مقدار زياد احتمالاً از رشد و نمو ضايعات سرطاني جلوگيري ميكند.
* سرطانهاي دهان ممكن است بر روي هر كدام از نواحي دهان مشاهده شوند، از جمله: لثه ها، مخاط گونه، زبان، كام نرم و سخت.
اندودنتیکس«تخصص درمان ریشه دندان»
● تعریف اندو یا اندودونتیکس؟
دندان مرکب از یک ساختمان سختی است که بافت نرم زنده ای را احاطه کرده است. این قسمت نرم مرکزی، پالپ (دراصطلاح عامیانه، عصب) نام دارد که شامل سلولها، عروق خونی و اعصاب می باشد. اندودونتیکس شاخه ای از علم دندانپزشکی است که وظیفه تشخیص و درمان پالپهای آماسی و بیمار شده را به عهده دارد.
● چه عواملی سبب آماس و بیماری پالپ می گردند؟
پوسیدگیهای دندانی اگر درمان نشوند، بعد از تخریب مینا و عاج به پالپ رسیده و باعث التهاب و ناراحتی آن می گردند. علاوه بر پوسیدگی، عوامل دیگری چون سابقه ضربه ناگهانی به دندان، پرکردگی های عمیق، شکستگی و ترک دندان، تحلیل و سایش شدید دندانها و بیماریهای پیشرفته لثه در ایجاد آماس و بیماری پالپ نقش دارند.
● علائم بیماری پالپ چیست؟
برخی از علائم پالپ آماسی شامل درد ادامه داربه هنگام نوشیدن مایعات سرد و یا گرم، درد خود بخودی، درد هنگام جویدن و یا حتی موقع دراز کشیدن می باشد. گاهی نیز با توجه به سیر بیماری پالپ، ممکن است بیمار درد نداشته باشد. علائم ظاهری پالپ بیمار ممکن است وجود پوسیدگی عمیق و یا وجود ضایعه در انتهای ریشه، تورم و یا تخلیه چرک از دندان و یا انتهای آن باشد.
● فوائد معالجه عصب چیست؟
▪ دندان حفظ می شود.
▪ وجود دندان باعث حفظ استخوان نگهدارنده آن می گردد.
● عوارض عدم درمان چیست؟
▪ آبسه
▪ درد
▪ عفونت شدید
▪ نهایتاً از دست دادن دندان خواهد بود.
●درمان جایگزین چیست؟
در بعضی موارد و شرایط می توان معالجه ریشه را به اندکی بعد موکول کرد. در مواردی که دندان کشیده می شود درمان ، جایگزینی آنها با دندانهای مصنوعی (پروتز ثابت و یا ایمپلنت) می باشد که به مراتب گرانتر است.
● چند جلسه وقت برای درمان ریشه دندان لازم است؟
معالجه ریشه اکثر دندانها را می توان در یک جلسه انجام داد ولی بعضی از دندانها ممکن است به دو یا چند جلسه زمانی نیاز داشته باشند که در این موارد دندانها در پایان جلسات معمولاً پانسمان موقت می گردند.
● موفقیت درمان چقدر است؟
در صورتی که درمان ریشه بطور کامل و استاندارد انجام شود از موفقیت بالائی برخوردار است.
● چه عواملی باعث عدم موفقیت در درمان ریشه می گردد؟
علاوه بر اشکالات تکنیکی و اتفاقات حین کار، انحنای زیاد ریشه ها، وجود کانالهای جانبی، دفاع بدن و ... ممکن است معالجه ریشه دندان را بخطر اندازد.
● آیا اگر عصب درآورده شود، دندان می میرد؟
خیر، دندان بعد از معالجه ریشه(عصب) هنوز زنده می ماند چونکه تغذیه خارجی آن از سمت بافتهای در برگیرنده هنوز ادامه دارد. البته این زنده ماندن به معنای آن نیست که دندان مثل دیگر دندانها به تحریکات حرارتی و الکتریکی پاسخ مثبت دهد.
● آیا پس از معالجه ریشه درد وجود دارد؟
معمولاً مقداری درد و ناراحتی گذرای خفیف تا متوسط به دنبال از بین رفتن بیحسی تا چند روز وجود داشته که با تجویز مسکن های ضد التهاب تسکین می یابد. غالباً، ناراحتی و درد آنچنان نیست که مانع فعالیت های روزانه شود. در مواردی که درد زیاد است میتوانید با دندانپزشک معالج تماس بگیرید.
● آیا دندان بعد از معالجه ریشه تیره می شود؟
سابقاً دندانهایی که درمان ریشه می شدند به مرور تیره تر می گشتند، ولی امروزه با پیشرفت های تکنیکی احتمال این تغییر رنگ ناچیز بوده و اگر اتفاق افتاد، نیز با استفاده از روشهای سفید کردن و یا روکش های چینی و لامینت می توان با آن مقابله کرد.
● بعد از درمان ریشه، تاج دندان چگونه و با چه موادی باید ترمیم شود؟
نحوه ترمیم تاج دندان بستگی به نسج باقیمانده و دندان مبتلا دارد. در دندانهایی که متحمل نیروهای سنگین جویدن هستند و یا پوسیدگی آنها شدید بوده توصیه می گردد که با ترمیم های مطمئن تری چون روکش های فلزی و چینی بازسازی شوند.
● جراحی اندودونتیک یعنی چه؟
در مواردی که درمان معالجه ریشه دندان به شکست می انجامد. هنوز می توان دندان را نجات داد. در این موارد بعد از انجام بیحسی، دندانپزشک بافت لثه را به آرامی کنار زده و بافتهای آماسی انتهای ریشه را خارج نموده و یک پرکردگی نیز در ته ریشه جهت ممانعت از عود ضایعه قرار می دهد.
● بعد از انجام درمان ریشه و ترمیم نهایی آن، آیا اقدام دیگری لازم است؟
ضروری است جهت ارزیابی موفقیت درمان در طولانی مدت، ظرف ۶ ماه تا یکسال آینده مجدداً ویزیت بعمل آید. در این ویزیت دندانپزشک موفقیت درمان، سلامت انساج لثه و ترمیم نهایی را ارزیابی می کند.
● مراحل درمان چگونه است؟
بعد از انجام بیحسی(در مواردیکه نیاز باشد)، درمان شامل مراحل زیر است:
▪ مرحله یک: دستیابی به کانال
▪ مرحله دوم: تعیین طول ریشه
▪ مرحله سوم: تمیز کردن و شکل دادن کانال ها
▪ مرحله چهارم: پرکردن کانال
▪ مرحله پنجم: ترمیم موقت
▪ مرحله ششم: ترمیم دائم
● معالجه ریشه دندان (Root canal Therapy )
لابد همه این ضرب المثل که می گوید:دندانی را که درد می کند باید کشید را شنیده اید. ما هم بسیار شنیده ایم، ولی باید توجه داشت که سابقه این ضرب المثل مربوط به زمانی است که علم دندانپزشکی وجود نداشته و افرادی مثل سلمانی ها عهده دار امور دندانپزشکی بودند. دندانپزشکان امروزی نه تنها درد را از بین برده،بلکه باعث تگهداری دندانها در دهان می شوند. از گذشته ای نه چندان دور تا بحال، عامه مردم لفظ عصب کُشی یا عصب کِشی را بجای معالجه ریشه دندان بکار می برند که چندان صحیح نبوده و آنچه که باعث رواج و شایع شدن این اصطلاحات شده، تصور مردم با توجه به از بین رفتن درد دندان بدنبال معالجه ریشه می باشد. قسمت سخت دندان تشکیل شده از مینا ـ عاج و سمان ، که بافت نرمی را در داخل و وسط دندان بنام پالپ، احاطه کرده اند.
● تعریف Root canal Therapy:
این عنوان از سه کلمه Root به معنای ریشه، و Canal به معنای مجرا و Therapy به معنی معالجه تشکیل شده که مفهوم کلی آن معالجه مجرای ریشه دندان می باشد و شاخه ای از دندانپزشکی است که شامل دانش و اعمالی است که به معالجه و حفظ ریشه دندان می پردازد.
● پالپ چیست؟
پالپ دندان بافت نرمی است که در داخل دندان قرار گرفته و شامل عروق و اعصاب و سلولهایی می باشد. حس، تغذیه، عاج سازی و دفاع میکروبی از اعمال پالپ بشمار می آیند.
● چه عواملی باعث آسیب و صدمه با پالپ دندان می شوند؟
عوامل متعددی سبب آسیب به پالپ می گردند که عمده ترین آن تأخیر در ترمیم پوسیدگی ها و نتیجتاً گسترش آنها به پالپ دندان است که سبب آلودگی پالپ به میکروبهای دهان می شود. پالپ دندان همچنین ممکن است بر اثر ضربه ای ناگهانی حتی در مواردی چون ضربه قاشق و یا شکستن تخمه، پسته و بادام دچار التهاب و مرگ شود. ترکهای دندان، پرکردگی های وسیع و بعضی از مواد ترمیمی نیز سبب ساز هستند.
● نحوه معالجه ریشه دندان چگونه است؟
دندانپزشک بعد از بی حس نمودن دندان ( در مواردیکه لازم است) اقدام به برداشتن پوسیدگی و تراش حفره دسترسی به پالپ دندان نموده و پالپ عفونی و بیمار را از ریشه خارج می کند و بعد از تمیز نمودن و خشک کردن مجرای ریشه و دندان جای خالی پالپ را با موادی که به همین منظور ساخته شده اند پر می کند و سپس ترمیم قسمت تاجی دندان صورت میگیرد.
● آیا همه دندانها به یک تعداد ریشه دارند؟
خیر، تعداد ریشه دندانها بطور معمول و طبیعی بین یک تا سه عدد می باشد ولی دندانهایی نیز وجود دارند که دارای یک یا چند ریشه اضافی هستند و در حین کار و با گرفتن رادیوگرافی کشف می گردند. بطور طبیعی دندانهای قدامی دارای یک ریشه، دندانهای آسیای کوچک دارای یک یا دو ریشه و دندانهای آسیای بزرگ سه و چهار ریشه ای هستند.
● اگر پالپی که آلوده شده و ملتهب و دردناک است خارج نشود و به عبارتی معالجه انجام نگردد، چه اتفاقی می افتد؟
معمولاً درد آن بیشتر شده و بیمار را اذیت می کند، ولی مواردی وجود دارد که درد فروکش می کند. باید توجه داشت که از بین رفتن درد دندان نشانهٔ بهبودی پالپ دندان نیست و عفونت به سیر خود ادامه می دهد. سرایت عفونت به استخوان انتهای ریشه باعث ایجاد گرانوم ، کیست و یا آبسه می گردد که خود درد و ناراحتی ثانویه ای را به دنبال دارد. در صورت عدم معالجه ریشه دندان سیر بیماری نهایتاً منجر به کشیدن و یا از دست دادن دندان خواهد شد.
● چه مراقبت هایی لازم است تا دندان نیاز به معالجه عصب نداشته باشد؟
با مراجعه و معاینات منظم دندانپزشکی و رعایت اصول بهداشت دهان ودندان و ترمیم پوسیدگی ها در مراحل اولیه موردی برای معالجه ریشه دندان بوجود نمی آید.
● آیا صحیح است دندانی که معالجه ریشه شده، شکننده می گردد؟
دندانی که پالپ آن درگیر می شود، معمولاً دارای پوسیدگی وسیع بوده که مقدار زیادی از مینا و عاج را از بین برده است و گاهی دندانپزشک ناچار می گردد که مقداری از نسج سالم دندان را نیز برای دسترسی به پالپ بتراشد که مجموعه این عوامل بعلاوه خشک شدن دندان بر اثر از دست دادن تغذیه داخلی سبب میگردد که دندان ضعیف و شکننده گردد که جای نگرانی ندارد، چونکه با ترمیم های خاص و یا روکش نمودن دندان می توان بر این نقیصه، چیره شد.
● چه عواملی در موفقیت معالجه ریشه دندان نقش دارند؟
مهارت دندانپزشک ، تعداد ریشه ها قطر و انحنای آنها، وجود ریشه ها و کانالهای اضافی و جانبی، نوع و قدرت بیماری زایی میکروبها، دفاع بدن و نوع بیماری پالپ در پیش آگهی درمان مؤثرند.
● آیا دندانی که معالجه ریشه دندان شده و هنوز درد دارد را باید کشید؟
معمولاً به دنبال معالجه ریشه دندان، از چند ساعت تا چند روز به درجاتی ممکن است دندان، درد داشته باشد که با تجویز داروهای مسکن برطرف میگردد و جای نگرانی ندارد.
● اگر درمان ریشه دندان شکست خورد، درمان بعدی چیست؟
اکثر دندانهایی که معالجه ریشه آنها با عدم موفقیت همراه شده را می توان با جراحی های اندودونتیکس نجات داد. دندانپزشک بعد از بیحس نمودن، لثه دندان را به آرامی کنار زده و اقدام به قطع انتهای ریشه نموده و آن را از انتها نیز ترمیم میکند و دوباره لثه را می دوزد. آیا فقط ممکن است پوسیدگی بسیار وسیع بوده و قسمت اعظم آن نیز از بین رفته باشد و درد نداشته باشد و یا در اثر ضربه حتی در سالهای دور، پالپ آن مرده، ولی دردی نداشته باشد. عدم وجود درد دال بر نفی بیماری پالپ و یا عدم نیاز به درمان نمی باشد.
پاتولوژي فك و دهان و صورت(آسيب شناسي)-
علمي است كه علت، ويژگيها، نحوه عملكرد و تأثيربيماريهاي مرتبط با ناحيه فك و دهان و صورت را كشف و بررسي مي نمايد. كاردراين رشته شامل تحقيق وتشخيص بيماريها با استفاده از معاينات كلينيكي، راديوگرافي، ميكروسكوپي، بيوشيميايي و...مي باشد.
راديولوژي فك و دهان وصورت
اشعه X
بسياري از بيماريهاي دندانها و بافتهاي احاطه كننده آنها هنگام معاينه معمول دندانپزشكي ديده نمي شوند. از جمله مواردي كه يك معاينه راديوگرافيك آنها را آشكار مي كند عبارتند از: نواحي كوچك پوسيدگي بين دندانها، عفونت استخوان آبسه يا كيست، آبنورماليتي هاي تكاملي، بعضي انواع تومورها. كشف و درمان زود هنگام مشكلات دنداني از هدر رفتن پول و زمان جلوگيري كرده و باعث ممانعت از بروز ناراحتي هاي غير ضروري مي گردد. معاينه راديوگرافيك، مشكلاتي از ساختار دهان را كه در طي معاينه معمولي ديده نمي شود، آشكار مي سازد. اگر شما تومور پنهاني داشته باشيد، راديوگرافي ها ممكن است به شما كمك كند كه زودتر آن را كشف و درمان كنيد.
- ميزان اشعهX در راديوگرافي دندانپزشكي
ما هرروز از طرق مختلف در معرض تشعشع اشعه X مي باشيم مثل لايه خارجي جو، مواد معدني خاك، وسايل موجود در خانه(مثل مانيتور كامپيوتر و صفحات تلويزيوني)
نحوة عمل اشعه X
وقتي اشعه X در يك معاينه دندانپزشكي از دهان شما مي گذرد، قبل از رسيدن به فيلم، بخش عمده اي از آن توسط قسمتهاي متراكم تر (مثل دندانها و استخوان) و مقدار كمتري توسط بافتهاي نرم ( مثل گونه ها و لثه ها) جذب مي شود. حاصل اين كار، ايجاد تصويري روي راديوگراف است. دندانها روشن تر بنظر مي رسند. زيرا اشعه x كمتري از دندان عبور كرده و به فيلم مي رسد. حفرات پوسيدگي و نواحي بيماري لثه تيره تر مي باشند، زيرا اشعه ايكس بيشتري نفوذ كرده است. تفسير اين گرافي ها به دندانپزشك اجازه مي دهد تا با اطمينان و صحت كامل مشكلات پنهان را كشف كند.
- فواصل زماني در راديوگرافي
دفعات و فواصل زماني تهيه راديوگرافي در هر بيمار، بستگي به نيازهاي شخصي وي دارد. از آنجائيكه وضعيت هر بيماري متفاوت از ديگري است. برنامه معاينات راديوگرافيك بايد براي هر بيمار بطور جداگانه طرح ريزي شود. دندانپزشك، تاريخچه شما را مرور مي كند. دهان شما را معاينه مي كند و سپس تصميم مي گيرد كه آيا شما به راديوگرافي احتياج داريد يا نه، و اگر احتياج داريد چه نوعي براي شما مناسب است؟ اگر شما يك بيمار جديد باشيد، دندانپزشك ممكن است راديوگرافيهايي توصيه كند تا وضعيت كنوني پنهان دهان شما را مشخص كند و بتواند تغييرات آتي را آناليز نمايد. برنامه راديوگرافي هاي لازم در مراجعات پيگيري بر حسب سن شما، احتمال بروز بيماري و علائم و نشانه هاي آن متفاوت است. ممكن است فيلمهاي جديد لازم باشد تا پوسيدگيهاي جديد كشف شود يا وضعيت بيماري لثه مشخص شود يا وضعيت رشد و تكامل ارزيابي گردد. كودكان ممكن است راديوگرافيهاي بيشتري نسبت به بزركسالان احتياج داشته باشند. اين امر بدين دليل است كه دندانها و فك آنها در حال تكامل است و دندانهايشان بيشتر از بزرگسالان در معرض پوسيدگي است.
جراحي فك و دهان و صورت
• كشيدن دندان
• مراقبتهاي بعد از كشيدن دندان
• مراقبتهاي لازم بعد از عمل جراحي دندان
كشيدن دندان
مراقبت هاي بعد از كشيدن دندان
1 - تكه گاز گذاشته شده بر محل دندان كشيده شده را به مدت حداقل نيم ساعت با فشار ملايم فك در دهان نگهداريد.
2 - از مك زدن و خالي نمودن مكررآب دهان خودداري كنيد.
3 - از خوردن اغذيه سفت و نوشيدني هاي داغ در روز اول اجتناب نمائيد.
4 - از كشيدن سيگار و پيپ و استفاده از ني براي نوشيدن مايعات تا چند روز خودداري نمائيد.
5 - شب اول آن ناحيه مسواك نشود.
6 - از روز دوم باآب و نمك رقيق ولرم و يا محلول شستشوي نمكي روزانه چند بار دهان را به آرامي و بدون پمپاژ نمودن شستشو دهيد.
7 - خروج و نشست مقداري خونابه از محل دندان كشيده شده به مدت 2-1 روز طبيعي بوده ونيازي به ويزيت دندانپزشكي ندارد.
8 - در صورت عارض شدن خونريزي در منزل، يك تكه گاز استريل مرطوب شده را بر روي محل دندان كشيده شده گذاشته و با فشار ملايم دهان را ببنديد و ضمناً از بيرون دهان، كمپرس سرد (كيسه يخ) نمائيد.
9 - در صورتي كه خونريزي شديد و غير قابل كنترل باشد به كلينيك مراجعه نموده و از گذاشتن داروها و مواد محتلف بر موضع اجتناب نمائيد.
10 - در صورت عارض شدن درد از استامينوفن استفاده نمائيد و از مصرف داروهاي مسكن ضد التهابي مثل آسپرين و بروفن به علت اينكه خاصيت ضدانعقادي دارند، خودداري نمائيد.
11 - در صورت بروز تورم و عفونت با كلينيك تماس بگيريد.
12 - توجه داشته باشيد به علت طولاني بودن زمان بيحسي( معمولاً 4-3 ساعت) و بيحس بودن بافتهاي نرم اطراف دندان، لب، گونه يا زبان گاز گرفته نشود.
13 - گاهي اوقات به علت درآمدن لخته خون از حفره دندان كشيده شده، عارضه اي بوجود مي آيد كه اصطلاحاً دراي ساكت (حفره خشك) ناميده ميشود. اين عارضه درد نسبتاً شديدي داشته و بعد از 3-2 روز بوجود مي آيد. در صورت بروز آن به كلينيك مراجعه نمائيد.
14 - دهان تا چند روز بعد از كشيدن دندان بد طعم بوده و بوي نامطبوعي دارد كه طبيعي بوده و نشانه وجود عفونت نمي باشد.
مراقبت هاي لازم بعد از عمل جراحي دندان
2 - به علت طولاني بودن زمان بيحسي (معمولاً 4-3 ساعت) و بيحس بودن بافتهاي نرم اطراف دندان، مواظب باشيد لب، گونه يا زبان گاز گرفته نشود.
3 - از شستشوي دهان در روز جراحي خودداري نمائيد و از مك زدن و خالي كردن مكرر آب دهان اجتناب نمائيد.
4 - از روز دوم دهان را به آرامي با سرم نمكي شستشو يا آب نمك رقيق شده و يا محلول ضد عفوني تجويز شده، بعد از هر وعده غذا و در ساعات بيداري، هر سه ساعت شستشو دهيد.
5 - مقداري نشت خونابه به مدت چندين ساعت بعد از جراحي دهان طبيعي است. در صورت بروز خونريزي تكه اي گاز استريل بر موضع قرار داده و با فشار ملايم دندانهاي مقابل بر روي آن به مدت 30 دقيقه نگهداريد. در صورت ادامه خونريزي اين عمل را تكرار نموده و از تعويض گاز با فاصله هاي زماني كمتراز 30 دقيقه خودداري نمائيد.
6 - بعد از انجام جراحي بر روي جراحت داخل دهان قشر خاكستري رنگي ممكن است ديده شود و دهان تا چند روز بدطعم و بوي نامطبوعي دارد. اين حالات طبيعي بوده و نشانگر وجود عفونت نمي باشد.
7 - روز اول رژيم غذايي مايع يا نرم ولرم يا سرد داشته باشيد و از روز بعد در صورت عدم ناراحتي از غذاهاي معمولي مي توانيد استفاده كنيد (با طرف ديگر فك غذا جويده شود). صرف مايعات و غذاهاي كافي و مقوي بعد از جراحي ضروري بوده و در التيام و بهبودي شما تأثير بسزايي دارد. مراقب باشيد از فشار مستقيم لقمه غذايي بر روي ناحيه بخيه زده شده تا يك هفته اجتناب شود.
8 - تورم و درد بعد از جراحي قابل انتظار است. كاربرد كمپرس سرد(كيسه يخ) از خارج دهان، بعد از جراحي و ادامه آن در روز اول (متناوباً) در كاهش تورم مؤثر است.
9 - حداكثر تورم در مدت 48-24 ساعت بعد از جراحي بوجود مي آيد كه سپس تدريجاً كاهش يافته و طي 10-7 روز از بين مي رود.
10 - گاهي اوقات بعد از كشيده شدن دندان، لخته خوني از حفره دندان كشيده شده جدا شده و عارضه اي بوجود مي آيد كه اصطلاحاً دراي ساكت (حفره خشك) ناميده مي شود. اين عارضه چند روز بعد از درآمدن لخته ايجاد شده و درد نسبتاً شديدي دارد. در صورت حادث شدن اين عارضه با كلينيك تماس بگيريد.
11 - بعد از جراحي تا چند روز از كشيدن سيگار و پيپ و استفاده از ني براي نوشيدن مايعات خودداري نمائيد.
12 - قرار دادن دو بالش در زير سر به هنگام استراحت توصيه مي گردد.
13 - مسواك زدن دندانها از روز بعد از جراحي بدون اشكال بوده و دقت نمائيد به مدت يك هفته از مسواك زدن مستقيم بخيه ها خودداري شود.
14 - يك هفته بعد از عمل جراحي جهت كشيدن نخ هاي بخيه به كلينيك مراجعه نمائيد.
ارتودنتيكس(متخصص ارتودنسي)
مال اكلوژن
مال اكلوژن، به وضعيت قرارگيري غير طبيعي دندانها و يا فكين گفته مي شود و انحرافي از رشد و تكامل مي باشد كه بر جفت گيري دندانها، توانائي در تميزكردن دندانها، سلامت لثه، رشد فكري و در يادگيري تكلم، تأثير مي گذارد.
علت مال اكلوژن چيست؟
هم ارث و هم محيط نقش مهمي را در ايجاد مال اكلوژن دارند. شكل و اندازة صورت، فكين و دندانها غالباً بوسيله توارث انتقال مي يابند. عوامل محيطي ايجاد كننده مال اكلوژن زياد بوده و اغلب آنها توسط دندانپزشك كودكان قابل كنترل مي باشند و عمده ترين آن پوسيدگي دندانهاي شيري و يا زود از دست دادن آنها مي باشد.
دندانپزشك به چه اطلاعاتي نياز دارد تا شكل گيري و پيشرفت مال اكلوژن را ارزيابي كند؟
چگونگي و تركيب مشكلات اختصاصي هر بيمار، محدوده و مراحل معاينه و تشخيص را معين مي كند. حين معاينات كلينيكي، دندانپزشك تاريخچه اي از سوابق پزشكي و دندانپزشكي مي گيرد، از دندانها قالب گيري بعمل آورده و آنها را با گچ دندانپزشكي مي ريزد. اين قالب هاي مطالعه علاوه بر اينكه روابط دندانها را نشان داده و در طرح درمان كمك كننده مي باشد، ماخذي نيز براي بررسي پيشرفت درمان مي باشند. تهيه عكس هاي معمولي از صورت و دندانها نيز يك ركورد و ثبت قبل از درمان است. تعدادي راديوگرافي نيز ممكن است براي تشخيص پيشرفت مال اكلوژن نياز باشد. راديو گرافي رايج در اين زمينه پانوراميك مي باشد كه همه دندانها را در يك كليشه نشان مي دهد. راديوگرافي ديگر سفالومتري جانبي مي باشد كه بصورت نيم رخ رابطه دندانها و فكين را نسبت به صورت و جمجمه نشان مي دهد.
از چه دستگاههايي براي تصحيح مال اكلوژن استفاده مي شود؟
بطور كلي از 2 نوع دستگاه براي اين منظور استفاده مي شود: 1- دستگاههاي متحرك 2- دستگاههاي ثابت. دستگاه متحرك از سيم و مواد پلاستيكي (اكريل) ساخته مي شود و توسط بيمار در دهان گذاشته و برداشته ميشود. بعضي از انواع آن بطور همزمان دندانهاي بالا و پايين را در بر مي گيرد. كلاً گرفتن نتيجه مطلوب درماني با اين دستگاهها منوط به همكاري، پذيرش و استفاده صحيح بيمار از آن و آموزش كامل از طرف دندانپزشك به بيمار، ميباشد. مزيت عمده دستگاههاي متحرك اين است كه به راحتي برداشته شده و تميز مي شوند. دستگاههاي ثابت عبارتند از قطعاتي بنام براكت كه مستقيماً به دندانها چسبانده مي شوند و سيم در داخل آنها گذاشته مي شود، اين دستگاهها كنترل بهتري بر حركات دنداني دارند. به علت گير غذايي در اطراف اين دستگاهها، همكاري بيمار در تميز كردن دندانها و رعايت بهداشت دهان به منظور جلوگيري از پوسيدگي الزامي است.
چه مدت زماني طول مي كشد تا مال اكلوژن درمان شود؟
دوره درمان براي هر ناهنجاري بستگي به نوع مال اكلوژن، شدت و پيشرفت آن و رشد كودك و همكاري وي دارد. دندانپزشك مدت زمان لازم براي انجام درمان اوليه را بطور تقريبي تخمين مي زند.
آيا كشيدن دندانهاي سالم بمنظور تصحيح مال اكلوژن صحيح است؟
انتخاب دقيق يك دندان شيري براي كشيده شدن ممكن است جهت هدايت رويش دندان دائمي لازم باشد. در اين مواقع نياز به كنترل بيمار در يك دوره زماني بوده و گاهاً ممكن است از بعضي دستگاههاي ارتودنسي استفاده شود ولي كشيدن دندان دائمي بستگي به چگونگي وضعيت دندانها ، ميزان كمبود فضا و صورت بيمار دارد و در هر بيماري متفاوت است. بسياري از مال اكلوژن ها بدون كشيدن درمان نمي شوند ولي مواردي وجود دارد كه نياز به كشيدن دندان نيست.
مراقبت هاي اوليه ارتودنسي(ارتودنسي پيشگيري)
هرگز آنقدر زود نيست تا نگاهي به رشد و تكامل دهان بچه شما بيفتد. يك دندانپزشك ضمن اينكه مي تواند دندانها را بعد از ظاهر شدن به داخل حفره دهان تا جايگاه خود هدايت كند، مي تواند مال اكلوژن، شلوغي و بهم ريختگي دندانها يا مشكلات مربوط به روابط آنها و جويدن را تشخيص دهد. معالجات ارتودنسي بموقع مي توانداز پيشرفت و وسعت عارضه بوجود آمده جلوگيري كند.
علت شلوغي دندانها و ديگر مشكلات ارتودنسي چه مي باشد؟
مال اكلوژن ممكن است ارثي بوده و يا در اثر عوامل محيطي ايجاد شده باشد. مشكلات ارتودنسي مي تواند در اثر پوسيدگي و آسيب به دندانها ايجاد شده باشد و يا در اثر زود از دست دادن دندانهاي شيري، و يا اينكه از عاداتي چون تنفس دهاني، مكيدن انگشت و يا جويدن ناخن و لب، بوجود آمده باشد. دندانپزشك مي تواند در ترك اين عادات به شما كمك كند.
شلوغي دندانها
.jpg)
رديف شدن دندانها پس از درمان
.jpg)
ارتودنسي بموقع به فرزند شما اعتماد به نفس مي دهد و لبخند را بر لبان او مي كار د، ولي سود حاصل از انجام ارتودنسي پيشگيري و اوليه به مراتب از اينها بيشتر است. دندانپزشك كودكان مي تواند دندانهاي كج شده را راست كند و آنها را به جايگاه صحيح شان هدايت نمايد. مشكلات مربوط به جفت گيري و در هم رفتن دندانهاي دو فك را اصلاح نموده و حتي از كشيدن دندان در معالجات ارتودنسي آينده جلوگيري نمايد. بديهي است كه دندانهاي رديف شده و منظم را بهتر مي توان تميز كرد و اين امر باعث كاهش استعداد به پوسيدگي و ناراحتي لثه مي شود.
نحوه درمان ارتودنسي پيشگيري چگونه است؟
بدين منظور از وسايل و دستگاههاي ارتودنسي استفاده مي شود. بعضي از اين دستگاهها ثابت بوده و به دندان چسبانيده مي شود و برخي متحرك بوده و قابل درآوردن مي باشند. دندانپزشك اطفال تشخيص مي دهد كه از چه وسيله اي با توجه به نياز كودك استفاده كنيد، و به شما توضيح مي دهد كه چه معالجه اي مي توان انجام داد و زمان تقريبي آن چقدر است.
چه مراقبت هايي در طول درمان ارتودنسي توصيه مي گردند؟
اول: مانند بسياري از معالجات دندانپزشكي، همكاري بيمار بسيار مورد توجه بوده و او بيشترين نقش را بر عهده دارد تميز كردن دندانها با استفاده از نخ و مسواك و نگهداري دستگاه ارتودنسي در دهان و مراقبت از آن در رأس قرار دارند. دوم: معاينات منظم دندانپزشكي در كنار ويزيت هاي ارتودنسي كودك شما را از پوسيدگي و بيماريهاي لثه محافظت ميكند. سوم: تماس فوري با دندانپزشك در زمانيكه قسمتي از دستگاه ارتودنسي شكسته شود باعث مي شود كه درمان ارتودنسي به روال صحيح از نظر زماني و كارايي ادامه يابد.
آيا بچه ها، با داشتن دستگاه ارتودنسي، بطور طبيعي مي توانند صحبت كنند، بخورند و يا بازي كنند؟
فرزند شما مي تواند رژيم غذايي عادي را داشته باشد ولي از خوردن مواد غذايي چسبنده مثل آدامس و شكلات و غذاهاي سخت و زياد سفت مثل پسته - فندق - بادام - يخ و ... با هدف جلوگيري ازشكسته شدن و كج شدن قطعات دستگاههاي ارتودنسي بايد خودداري كند. ممكن است بعضي از دستگاهها نحوه صحبت كردن كودكان را موقتاً تغيير دهند، ولي اغلب خود را با آن وفق داده و بعد از طي يك الي چند روز بطور عادي صحبت مي كنند. عموماً بچه ها مي توانند با داشتن دستگاههاي ارتودنسي در دهان براحتي بدوند، جست بزنند، شنا كرده و يا بازي نمايند، ولي بايستي توجه داشت كه در مواردي اين فعاليتها عدم تجويز دارند. بهتر است با توجه به نوع دستگاه از دندانپزشك معالج دستورات ويژه را دريافت نمائيد.
مراقبت هاي لازم در حين درمان ارتودنسي متحرك
2 - از دستكاري اجزاء سيمي جداً خودداري نمائيد، بديهي است در صورت شكسته شدن آن علاوه بر اين كه درمان طولاني تر شده و نتايج بدست آمده قبلي از دست مي رود، هزينه قالب گيري و ساخت دوباره آن مجدداً دريافت خواهد شد.
3 - دستگاههاي پيچ داري را كه براي رفع تنگي فك تجويز شده اند، 24 ساعته استفاده نمائيد.
4 - استفاده متناوب و نامرتب از اين دستگاهها باعث درد و ناراحتي و لقي دندانهاي پايه مي گردد.
5 - نتايج بدست آمده در طي چند ماه، در صورت كنار گذاشتن بي موقع و خود سرانه، ظرف چند ساعت تا چند روز سريعاً از دست خواهد رفت. لذا اكيداً توصيه مي گردد، زمان تجويز شده را دقيقاً رعايت نمائيد.
6 - براي حفظ و سلامتي دندانها و لثه بعد از هر بار غذا خوردن، دندانها و پلاك را مسواك زده و مجدداً پلاك در دهان گذاشته شود.
7 - در صورت شكسته شدن و يا هرگونه اتفاقي در كوتاهترين زمان با كلينيك تماس بگيريد.
8 - از كم و زياد نمودن نيروي فنرهاي فعال شده خودداري نمائيد.
9 - جهت برداشتن پلاك از ناخن انگشت اشاره هر دو دست كمك گرفته و گيره هاي روي دندانهاي كرسي را آزاد نمائيد و از گرفتن اجزاء سيمي ديگر اجتناب كنيد.
10 - طراحي، ساخت و دستور استفاده ازدستگاههاي ارتودنسي متحرك براي هر بيماري متفاوت است، لذا فقط دستورات توصيه شده از جانب ارتودنتيست براي شخص شما را بكار ببريد.
11 - در مواقعي كه از پلاك استفاده نمي شود، ان را در يك ظرف در بسته نگهداري كنيد و جهت جلوگيري از شكسته شدن، از گذاشتن آنها در گوشه و كنار و جيب لباس اجتناب نمائيد.
12 - مقدار نيرو، زمان و نحوه استفاده از دستگاههاي خارج دهاني (چانه بندـ هدگير ـ فيس بو ـ فيس ماسك) در موفقيت درمان تأثير بسزائي دارد. لطفاً به دستورات داده شده در اين خصوص نيز توجه فرمائيد.
مراقبت هاي لازم در حين درمان ارتودنسي ثابت
1 - روز اول بعد از نصب براكتها بر دندانها از خوردن و آشاميدن مواد خوراكي رنگي مثل: چاي، نوشابه، سس، رب، سبزي، شكلات، پاستيل و ... خودداري نمائيد.
2 - در روزهاي اولي كه دستگاه ارتودنسي در دهان شما قرار مي گيرد ممكن است دندانها حساس شده و يا احياناً كمي درد و ناراحتي داشته باشيد. اگر درد روي دندانها و لثه شديد بود با كلينيك تماس بگيريد.
3 - در طول درمان از خوردن غذاهاي چسبنده مانند شكلات ، آدامس و مواد مشابه اجتناب كنيد.
4 - غذاهاي سخت مانند: ته ديگ، نان خشك و برگه ميوه جات خورده نشود.
5 - گاز زدن به مواد غذايي سفت مانند: ساندويچ، سيب، هويج و ميوه هاي مشابه انجام نگيرد.
6 - شكستن تنقلات مثل: تخمه، پسته، فندق، بادام و ... به هيچ وجه صورت نگيرد.
7 - هسته ميوه هاي هسته دار مثل: هلو، شليل، زردآلو و ... قبل از خوردن جدا شود.
8 - در موارداورژانس مثل: شكستن، خم شدن، باز و جدا شدن قسمتي از دستگاه و سيم بلافاصله با كلينيك تماس بگيريد و اصلاح آن را به وقت آينده يا روزهاي بعد موكول نكنيد.
9 - ميزان نيرو و زمان استفاده ازدستگاهها كمكي خارج دهاني (فيس بو ، هدگير، چانه بند) و كش هاي داخل دهاني در پيشرفت درمان نقش بسزايي دارد. لطفاً نيروي آنرا كم و زياد ننموده و زمان تجويز شده را دقيقاً رعايت كنيد.
10 - در صورت تجويز كش هاي داخل دهاني قبل از تمام شدن كش ها جهت دريافت آن به كلينيك مراجعه نمائيد.
11 - مهم ترين نكته در خلال درمان ارتودنسي تميز كردن مرتب دندانها و دستگاههاي ارتودنسي مي باشد. دستگاههاي ارتودنسي به علتِ گير غذايي، دندانها را مستعد پوسيدگي مي كند. لذا بعد از هر وعده غذايي بطور صحيح و كامل دندانهاي خود را مسواك زده و هنگامي كه در خانه نيستيد حتماً مسواك ارتودنسي خود را به همراه داشته باشيد. هر دنداني بايستي ده مرتبه مسواك زده شود و يك مسواك زدن صحيح براي دو فك حدوداً 15 دقيقه زمان نياز دارد. مطمئن شويد كه موهاي مسواك در ناحيه مجاور و زير لثه ها را تميز نمايد. ميكروب ها تمايل زيادي دارند كه در اين ناحيه مخفي گردند.
پرستودنتيكس(تخصص پروتزهاي دنداني)
• پروتز ثابت
• پروتز متحرك
پروتز ثابت:
تعريف: به اعضاي مصنوعي بدن پروتز گفته مي شود، منظور از پروتز در دندانپزشكي، دندانهاي مصنوعي مي باشند و پروتز ثابت به پروتزي اطلاق مي گردد كه بر روي دندان يا دندانهاي پايه چسب خورده و ثابت مي گردد. پروتز ثابت شامل روكش و بريج (پل) مي باشد. روكش بر روي يك دندان تراش خورده سوار مي شود, بريج نيز بر روي دندانهاي پايه كناري قرار مي گيرد و شامل دندانهاي جايگزين شده نيز مي باشد.
- ونيرها (veneer)
امروزه ديگر دليلي ندارد كه فاصله بين دندانها يا دندانهاي رنگ گرفته، بدشكل و كج خود را تحمل كنيد. يك ونير كه روي دندانهاي شما قرار داده مي شود، اشتباه طبيعت و يا آسيب ناشي از يك صدمه را تصحيح كرده و به شما كمك مي كند تا لبخندي زيبا داشته باشيد. ونيرها نازك بوده و پوسته هايي هستند كه با مواد همرنگ دندان براي هرفرد، بطور خاص ساخته مي شوند تا سطح جلويي دندانها را پوشش دهند. آنها معمولاً در لابراتوار و توسط تكنسين دندانساز، از روي مدلي كه توسط دندانپزشك شما تهيه شده ، ساخته مي شوند.
شما بايد بدانيد كه اين، يك درمان غير قابل برگشت است، زيرا براي تطبيق پوسته ونير روي دندان، لازم است مقدار كمي از ميناي دندان برداشته شود.
دندانپزشك ممكن است به شما توصيه كند كه از بعضي غذاها و نوشيدني ها كه ونير شما را بدرنگ مي كند،مثل چاي و قهوه پرهيز كنيد. گاهي ممكن است ونير ترك بردارد يا دچار شكستگي شود ولي براي اغلب افراد، زيبايي حاصل از كاربرد آن بيشتر ارزش دارد.
- روكش(Crown)
شما ممكن است براي پوشاندن يك دندان و بازگرداندن شكل و اندازه طبيعي آن، نيازمند روكش باشيد. يك روكش دندان، دندان شما را قويتر ساخته و ظاهر آن را بهبود مي بخشد. وقتي ميزان كافي از نسج دندان براي نگهداري يك پركردگي وسيع باقي نمانده باشد، روكش مي تواندآن دندان را پوشانده و ساپورت كند.
روكش ها ممكن است براي اتصال يك بريج، محافظت از يك دندان ضعيف و يا ترميم دنداني كه قبلاً شكسته است، بكار روند. روكش درمان خوبي براي دندانهاي بدرنگ و يا بدشكل است. همچنين براي پوشاندن يك ايمپلنت دنداني نيز استفاده مي شود.
اگر دندانپزشك شما روكش شدن دندان را توصيه مي كند، احتمالاً به يكي از دلايل فوق مي باشدتا به شما كمك كند دندانهايي سالم و لبخندي زيبا داشته باشيد.
- بريج (Bridge)
اگر شما يك يا چند دندان را از دست بدهيد، دچار مشكل در جويدن و صحبت كردن مي شويد.دراين صورت بريج يكي از درمان هايي است كه با جايگزيني دندانهاي از دست رفته به حفظ شكل صورت و كاهش مشكلات جويدن كمك مي كند. بريج ثابت، دندانهاي از دست رفته را كه بين دندانهاي ديگر هستند، جايگزين مي سازد و نماي زيبايي دارد.
اين نوع ترميم ممكن است از طلا، آلياژها، پرسلن(چيني) يا تركيبي از اين مواد باشد و به منظور ساپورت، به دندانهاي مجاور كه به آنها دندانهاي پايه اطلاق مي شود، باند شده يا به روكش روي آنها متصل مي شود. برخلاف بريجهاي متحرك كه ميتوانيدآنها را بيرون آورده وتميز نمائيد، يك بريج ثابت فقط توسط دندانپزشك مي تواند برداشته شود. يك بريج ايمپلنت، دندانهاي مصنوعي را مستقيماً به استخوان فك يا زير لثه، بسته به نوع بريجي كه دندانپزشك تجويز كند، متصل مي نمايد. بنابراين بسيار مهم است كه دندانهاي باقيمانده خود را تميز و سالم نگهداريد.
مواد مورد استفاده در روكش و بريج
اين ماده بصورت اينله، انله، روكش و ونيرهاي زيبايي استفاده مي شود. ونير پوسته بسيار نازكي از پرسلن است كه ميتواند جايگزين ميناي دندان شود و يا بخشي از آن را مي پوشاند. ترميم هاي پرسلن بطور خاصي مورد قبول و پسند عامه مردم هستند، زيرا رنگ و شفافيت آنها مشابه ميناي دندان طبيعي است. اين نوع ترميم حداقل دو جلسه و گاهي بيشتر وقت نياز دارد. ترميم با پرسلن تحت كشش يا فشار مستعد شكستن است. مقاومت آنها بستگي به ضخامت كافي پرسلن و قدرت باند آن با دندان زيرين دارد. آنها نسبت به سايش بسيار مقاومند، اما اگر سطح پرسلن خشن باشد، به سرعت سبب سايش دندانهاي مقابل مي شود.
پرسلن وفلز
نوع ديگري از ترميم غير مستقيم است كه بسيار قوي و با دوام بوده و در روكش يا بريج بكار مي رود. اين نوع ترميم قوي تر از پرسلن به تنهايي است. قسمت زيادي از دندان بايد تراش داده شود تا اين نوع ترميم روي آن تطابق يابد. گرچه بسيار مقاوم به سايش مي باشند، ترميم هاي پرسلن اگر سطح خشن داشته باشند، سبب سايش دندانهاي طبيعي مقابل مي گردند. ممكن است در ابتداي جايگذاري ترميم كمي حساسيت به سرما يا گرما وجود داشته باشد. اغلب بيماران مشكلي با اين نوع ترميم ندارند، گرچه تعداد كمي نسبت به بعضي انواع فلز استفاده شده در ترميم، حساسيت و آلرژي نشان داده اند.
آلياژ طلا
آلياژ طلا، حاوي طلا، مس و ساير فلزاتي است كه ترميمي قوي بصورت روكش يا بريج را بدست مي دهد. آنها معمولاً براي اينله، انله، روكش و بريجهاي ثابت استفاده مي شوند. بسيار مقاوم به خوردگي و تيرگي رنگ هستند. مقاومت بالايي به شكستن و سائيدگي دارند و اين امر موجب مي گردد كه دندانپزشك، حداقل ميزان ساختمان دندان را حين تراش بردارد. آلياژهاي طلا مشكلي براي دندانهاي مقابل ايجاد نكرده و بخوبي توسط بيماران تحمل مي شوند. گرچه رنگ فلزي آنها شبيه نماي دندان طبيعي نيست.
آلياژ فلزي
آلياژ هاي فلزي غير قيمتي به رنگ نقره هستند و در روكش، بريج ثابت و دنچر پارسيل استفاده مي شوند. آنها نسبت به خوردگي و تيرگي رنگ بسيار مقاومند و مقاومت بالايي به شكستگي و سايش دارند. رنگ فلزي آنها نماي دندان طبيعي را ندارد. بعضي بيماران ممكن است نسبت به فلزات، واكنش آلرژيك نشان دهند و در صورت كاربرد آنها ممكن است ابتدائاً حساسيت به سرما و گرما وجود داشته باشد.
ايمپلنت
اغلب بيماران معتقدند، ايمپلنت مطمئن و با ثبات است و آن را جايگزين خوبي براي دندان از دست رفته شان مي دانند. ايمپلنت ها مي توانند جايگزين يك يا چند دندان از دست رفته شوند.
لازم به ذكر است كه ايمپلنت نياز به جراحي دارد، بنابراين بيماران بايد از نظر كلي در سلامت بسر برند، لثه هاي سالم داشته و استخوان كافي جهت ساپورت ايمپلنت داشته باشند. در ضمن بايد مقيد به رعايت دقيق بهداشت دهان و ملاقاتهاي مرتب با دندانپزشك باشند.
مراحل جايگزيني ايمپلنت
پس ازچندين هفته كه لثه ها بهبود يافتند، مرحله بعد شروع مي شود. دندانهاي مصنوعي ساخته شده و به قسمت رابط پايه متصل مي شوند. چون چندين بارامتحان دندانهاي مصنوعي جهت تنظيم دقيق وضعيت آنها لازم است،اين مرحله ممكن است يك يا دو ماه بطول بيانجامد.
.jpg)
روكش كردن دندان در چه مواردي تجويز مي گردد؟
1 - دندانهايي كه داراي پركردگيهاي وسيع بوده، قادر به تحمل فشارهاي جويدن نبوده و بسيار شكننده مي باشند، پس ناچاراً بايد روكش شوند.
2 - دندانهايي كه تاج آنها شكسته ويا مقدار نسج باقيمانده دندان گير كافي براي پركردگي نداشته باشد.
3 - دندانهاي معالجه عصب شده؛ دنداني كه به معالجه عصب نياز پيدا مي كند معمولاً داراي پوسيدگي وسيع و پيشرفته اي بوده و ابتدا به ساكن مقدار زيادي از نسج سالم مينا و عاج را از دست داده است، ثانياً دندانپزشك براي دسترسي به عصب داخل ريشه ناچاراً مقداري از نسج سالم دندان را بر مي دارد، ثالثاً دندان تغذيه داخلي خود را از دست داده و قدري خشك مي گردد. رابعاً، دندان ممكن است بر اثر خونريزي داخلي و يا بيماري پالپ(عصب و بافت داخل دندان)تغيير رنگ داده باشد.
4 - زيبايي: دندانهاي تيره، بد رنگ، بد تشكيل شده و با شكل هاي غير طبيعي نيز نياز به ترميم توسط روكش دارند.
5 - تركهاي دنداني
6 - بازسازي سطوح جونده
بريج در چه مواردي توصيه مي گردد؟
اگر دندان يا دندان هايي از دست بروند و دندانهاي كناري قادر به تحمل فشار باشند , بريج توصيه مي شود. براي روكش هاي فلزي ميزان تراش كمتر بوده و براي روكش هاي چيني با اسكلت فلزي مقدار تراش بيشتر بوده و براي روكش هاي تمام چيني اندكي بيشتر است. ضمناً سطح جونده در صورتي كه قرار باشد با چيني پوشانده شود نياز به تراش بيشتري دارد. مقداري از فضاي حاصل از تراش دندان صرف اسكلت فلزي و مقداري صرف پوشاندن سياهي رنگ فلز توسط مواد اوپك و بقيه آن صرف اضافه نمودن چيني مخصوص عاج و ميناي دندان مي گردد.
آيا دنداني كه تاج آن كاملاً از بين رفته باشد امكان ترميم آن ميسر است؟
بله، در اين موارد دندانپزشك از داخل ريشه دندان (بعدازمعالجه عصب) قالب گيري بعمل آورده و وسيله اي را كه پُست ناميده مي شود، مي سازد. پست بعداً به داخل ريشه دندان چسب خورده و قسمتي از آن به عنوان تاج بيرون مي ماند كه بر روي آن روكش دندان سوار مي گردد.
چرا دندانهاي خلفي از دست رفته بايد جايگزين شوند؟
بد نيست كه بدانيد محل قرار گرفتن دندانها را فشارهاي وارده از طرف لب، زبان و گونه تعيين مي كنند. به عبارت ديگر دندانها در محلي قرار گرفته اند كه برآيند نيروهاي وارده به آنها صفر است. از نظر سطوح قدامي - خلفي و جونده نيز وجود دندانهاي ديگر دندان را محدود مي سازد.
يك دندان تا هنگامي به رويش و حركت فعال خود ادامه مي دهد تا به دندان مقابل برسد. ضمناً دندانهاي خلفي تر تمايل به حركت به سمت جلو دارند.
حال تجسم كنيد كه اگر يك دندان مثلاً اولين آسياي بزرگ فك پايين از دست برود چه اتفاقاتي ممكن است بيفتد؟
سعدي مي فرمايد: «.... چو عضوي به درد آورد روزگار دگرعضوها را نماندقرار» با از دست رفتن اين دندان، مقداري از فضاي حاصل از كشيده شدن آن با حركت دندانهاي مجاور(نه بطور كامل)اشغال مي گردد. نتيجتاً فاصله اي بين دندانهاي مجاور با دندان كناري شان ايجاد مي گردد كه علاوه بر گير غذايي و احتمال بروز پوسيدگي، باعث آزردگي و بيماري لثه نيز مي شود. ضمناً حركت دندانهاي مجاور بصورت كامل و بدنه اي نبوده و با خم شدن و انحراف محوري آنها همراه است. ماحصل اين خم شدن و ضرر حاصله، ايجاد بيماري لثه با بوجود آمدن پاكت لثه اي (عميق شدن شيار لثه اي) در ناحيه زير خم شدگي است. ديگر اينكه در صورت خم شدن، موقع جويدن غذا، نيرو در امتداد محور طولي دندان به آن وارد نشده و نيروي وارده مخرب خواهد شد. با كشيدن يك دندان تغييرات احتمالي فقط منحصر به فك مربوطه نبوده و نظم و آرايش دندانهاي فك مقابل را نيز برهم مي زند. همانطوري كه گفته شد دندانها تا هنگامي به رويش خود ادامه مي دهند تا به دندان مقابل برسند. نتيجتاً دندان مقابل به سمت ناحيه كشيده شده شروع به رويش مي نمايد. اين رويش اضافي علاوه بر اينكه از نظر زيبايي ناخوشايند است به علت مزاحمتي كه در موقع حركات طرفي فك ايجاد مي كند، براي مفصل گيجگاهي فكي نيز مضر مي باشد. باز هم مسئله به اينجا ختم نمي شود. اگر شكل يك دندان را در نظر بگيريد از قطر آن به سمت نوك ريشه كاسته مي شود. بديهي است با رويش بيشتر يك دندان، قسمتي از آن كه مجاور دندانهاي كناري قرار مي گيرد اينك باريك تر بوده و ايجاد فضا و فاصله اي را مي نمايد كه محل گير غذايي بوده و عوارضي چون پوسيدگي و بيماري لثه را بدنبال دارد. بايد بدانيد كه با كشيدن دندان، استخوان نيز دستخوش تغييرات ميگردد. استخوان هر فك از دو قسمت ساختماني تشكيل شده است. يك قسمت آن استخوان اصلي بوده و بدنه اصلي فك مي باشد، قسمت ديگر آن لانه دنداني بوده و دندانها را در بر مي گيرد و وجود آن بسته به وجود دندانهاست. اگر دنداني از دست برود و جايگزين نگردد اين قسمت از استخوان تحليل رفته و اگر در آينده نيازي به استفاده از دندانهاي مصنوعي بصورت دست دندان باشد، به علت تحليل شديد استخوان گير آن كم شده، بيمار را اذيت نموده و يا غير قابل استفاده مي شود. در حالت طبيعي و سلامت، عمل جويدن غذا متناوباً با استفاده از دندانهاي هر دو طرف فك صورت مي گيرد. در صورت از دست دادن دندان يا دندانهايي در يك طرف دهان، يا بيمار از آن طرف فك كمتر استفاده نموده و يا اصلاً استفاده نمي كند. اگر از يك طرف فك استفاده نشود دندانها تميز نشده و جرم مي بندند و علاوه بر اينكه مستعد به پوسيدگي مي شوند ناراحتي لثه هم افزوده مي گردد؛ زيرا كه غذا خوردن در تميز شدن دندانها و حفظ سلامتي لثه مؤثر است. با عادت يك طرفه غذا خوردن تغييراتي بصورت سايش در سطح جونده طرف كارگرايجاد ميگردد كه در صورت شدت، ممكن است ايجاد ناقرينه گي در سطح جونده نموده و در شكل و قيافه شخص نيز تأثير بگذارد.
دندان از دست رفته را چگونه مي توان جايگزين كرد؟
روشهاي متعددي رايج مي باشند:
1 - ايمپلنت يا دندان كاشتني، كه تشكيل شده است از پايه اي كه عمدتاً از جنس فلز تيتانيوم بوده و توسط جراح در استخوان فك كار گذاشته شده و سپس بر روي آن دندان قرار مي گيرد.
2 - پروتز ثابت يا بريج، كه دندان جايگزين شونده به دندانهاي كناري با استفاده از تراش آنها چسبانده مي شود و غالباً از يك اسكلت فلزي روكش شده توسط چيني ساخته مي شود.
3 - پروتز متحرك، كه قابل گذاشته شدن و برداشته شدن است و از فلز كرم كبالت و يا آكريل (نوعي پلاستيك) ساخته مي شود.
دو مورد اول بعلت كارآيي بالا اهميت خاصي داشته و بيمار احساس مي كند كه دندان از دست رفته اش را بازيافته است ولي مورد سوم به علت گير غذايي، خطر بلعيده شدن و عوارض ديگر رضايت مند نبوده و فقط به عنوان موقتي توصيه مي گردد و مورد استفاده و تجويز اصلي آن جايگزين نمودن تعداد زيادي دندان و فقدان دندانهاي پايه مناسب براي پروتز ثابت مي باشد.
پروتز متحرك:
- پروتز كامل
پروتز پارسيل:
اين پروتز شامل چندين دندان جايگزين متصل به يك پايه پلاستيك به رنگ لثه است كه توسط يك اسكلت فلزي بهم متصل شده اند. پروتز پارسيل با گيره هاي فلزي يا وسايلي كه به آنها اتصالات دقيق اطلاق مي شود به دندانهاي طبيعي شما متصل مي شود.اين اتصالات دقيق تقريباً ديده نمي شوند و معمولاً از گيره هاي فلزي زيباتر هستند. ممكن است براي تطابق بهتر يك پروتز پارسيل با دندانهاي طبيعي، لازم باشد كه آنها روكش شوند. بويژه وقتي از اتصالات دقيق استفاده مي شود.
چه مدت طول مي كشد تا به استفاده از پروتز پارسيل عادت كنيم؟
در چند هفته اول، پروتز پارسيل جديد شما ممكن است حجيم و ناراحت بنظر آيد، ولي دهان بالاخره عادت كرده و آن را قبول مي كند. قرار دادن و برداشتن پروتز مقداري تمرين مي خواهد. كليه دستورات دندانپزشكتان را رعايت كنيد. پروتز بايد به راحتي در جاي خود قرار گيرد. هرگز با گاز گرفتن پروتز آن را با فشار به سر جاي خود نرانيد. اين كار باعث خم شدن يا شكستن كلاسپها مي شود.
چه مدت بايد از پروتز استفاده كنيم؟
دندانپزشك دستورات لازم را دراين زمينه به شما خواهد داد. ابتدا ممكن است از شما خواسته شود كه تمام مدت از آن استفاده كنيد. گرچه اين امر ممكن است كمي ناراحت كننده باشد، ولي اين سريع ترين راه براي نشان داده شدن قسمتهايي از پروتز است كه ممكن است نياز به تنظيم داشته باشد. اگر پروتز فشار زيادي به يك ناحيه خاص وارد كند، آن نقطه زخم مي شود. دندانپزشك پروتز شما را تنظيم مي كند تا راحت تر تطابق يابد. بعد از انجام تنظيم هاي لازم، معمولاً دندانپزشك توصيه مي كندكه قبل از رفتن به رختخواب، آن را از دهان درآورده و صبح دوباره ازآن استفاده كنيد.
آيا غذا خوردن با پروتز پارسيل مشكل است؟
غذا خوردن را با غذاهاي نرم و بريدن آن به قطعات كوچك شروع كنيد. با هر دو طرف دهان بجويد تا فشار يكنواختي روي پروتز وارد شود.از مصرف غذاهاي چسبنده و سفت پرهيز كنيد.
آيا پروتز پارسيل نحوه صحبت كردن را تغيير مي دهد؟
اگر تلفظ بعضي كلمات با پروتز جديد براي شما مشكل است، با صداي بلند تمرين كنيد، كلماتي كه در تلفظ آنها مشكل داريد، تكرار كنيد. به مرور زمان، شما به صحبت كردن صحيح با پروتز خود عادت خواهيد كرد.
نحوه مراقبت از پروتز پارسيل چگونه است؟
بهتر است جلوي يك سينك پر از آب بايستيد تااگر بطور اتفاقي پروتز از دست شماافتاد، مشكلي پيش نيايد. براي حذف خرده هاي مواد غذايي و پلاك از سطح پروتز، هر روز آن را مسواك كنيد. اين كار مانع تغيير رنگ يافتن پروتز نيز مي شود. بهتر است از مسواكهاي مخصوص پروتز كه موهاي آن مناسب اين كار است،استفاده كنيد. البته يك مسواك با اندازه متوسط (regular) و موهاي نرم هم قابل قبول است. ساير شوينده هاي خانگي واغلب خمير دندانها سايندگي زياد داشته و نبايد براي تميز كردن پروتز بكار روند. كليه سطوح پروتز بايد كاملاً تميز شود و به آرامي مسواك زده شود تا صدمه اي به اتصالات پلاستيكي و يا خم شده وارد نشود.
اگر پروتز مرطوب نگهداشته نشود، شكل صحيح خود را از دست مي دهد. بنابراين شبها پروتز بايد درآب يا محلول مخصوص اين كار قرار داده شود.البته اتصالات فلزي در محلولهاي ويژه پروتز ممكن است دچار تيرگي شوند. دندانپزشك روش صحيح نگهداري از پروتز را به شما توصيه خواهد كرد.
آيا پروتز پارسيل نياز به تنظيم مجدد دارد؟
با گذشت زمان و افزايش سن، دهان بطور طبيعي تغيير مي كند و ممكن است نياز به تنظيم مجدد پروتز باشد. استخوان و لثه ها تحليل رفته و پروتز لق مي شود. پروتز لق مشكلات متعددي مثل زخم و عفونت را ايجاد مي كند. بنابراين اگر پروتز شما لق شده است، فوراً به دندانپزشك خود مراجعه كنيد تا مجدداً تنظيم شود.
آيا من خود مي توانم تنظيم هاي جزيي يا ترميم پروتز پارسيل را انجام دهم؟
با اين كار شما ضرر جدي به پروتز و سلامتي خود وارد مي سازيد. اين كار به پروتز صدمه وارد كرده و باعث عدم تطابق صحيح آن در دهان و بروزالتهاب و زخم مي شود. چسب هايي كه در بازار فروخته مي شوند، اغلب مواد شيميايي مضري دارند كه نبايد روي پروتز استفاده شوند. اگر پروتز شما تطابق خوبي نداشت، دچار شكستگي يا ترك خوردگي شد يا يكي از دندانها لق شد، بلافاصله به ملاقات دندانپزشك برويد. اغلب در همان روز، دندانپزشك مي تواند تغييرات و تعميرات لازم را انجام دهد. در موارد پيچيده تر ممكن است لازم باشد، پروتز به لابراتوار فرستاده شده و ترميم گردد.
آيا كار خاصي براي مراقبت از دهان بايد انجام شود؟
دوبار مسواك زدن و تميز كردن بين دندانها بطور روزانه، مانع بسياري پوسيدگيها و بيماريهاي لثه مي گردد كه منجر به از دست رفتن دندانها مي گردند. توجه خاص به تميز كردن دندانهايي كه زير گيره هاي فلزي پروتز قرار مي گيرند، معطوف داريد. پلاك دنداني كه زير اين گيره ها جمع مي شود،احتمال بروز پوسيدگي را در اين دندانها افزايش مي دهد. دندانپزشك روش صحيح مسواك زدن و تميزكردن بين دندانها را به شما نشان خواهد داد. انتخاب يك رژيم غذايي صحيح و متعادل نيز اهميت دارد. ملاقات دندانپزشك در فواصل مشخص وبطور مرتب جهت چك آپ وضعيت دهان و دندانها امري حياتي است.
پروتز كامل(دست دندان)
- تفاوت پروتز كامل معمولي و فوري
پروتزهاي كامل بر اساس زمان گذاشتن آنها در دهان به دو نوع معمولي وفوري تقسيم مي شوند. پروتزهاي فوري بلافاصله بعد از كشيدن دندانهاي باقيمانده در دهان گذاشته مي شوند. بدين منظور، قبلاً دندانپزشك قالب فكين بيمار را تهيه كرده و اندازه گيريهاي لازم را انجام داده است. مزيت اين نوع پروتز اين است كه بيمار در طي دوره بهبودي، بي دنداني كامل را تجربه نمي كند.از آنجا كه استخوانها و لثه ها ممكن است در طي دوره بهبودي بويژه شش ماه اول بعد از كشيدن دندانها تحليل يافته و جمع شوند، پروتز فوري ممكن است به منظور تطابق صحيح، نياز به ترميم(reline/rebase) داشته باشد. پروتز كامل معمولي، معمولاً پس از بهبودي بافتها كه حداقل 8-6 هفته بطول مي انجامد، ساخته مي شود.
-اوردنچر
يك پروتز متحرك است كه روي تعداد كمي دندان طبيعي باقيمانده تطابق مي يابد. دندانهاي باقيمانده براي تأمين ثبات پروتز بايد آماده شده و تراش داده شوند. دندانپزشك تشخيص مي دهد كه آيا اوردنچر مناسب شما مي باشد يا خير.
استفاده از پروتز كامل چگونه است؟
پروتز جديد براي چند هفته ممكن است ناراحت بنظر آيد تا اينكه به آن عادت كنيد. حتي قبل از اينكه عضلات گونه و زبان ياد بگيرند تا آن را در جاي خود نگهدارند. ممكن است احساس كنيد پروتز لق مي باشد. ممكن است دهان كمي دچار التهاب يا زخم شود و يا بطور موقت كمي افزايش جريان بزاق را حس كنيد. بتدريج كه دهان به پروتز عادت مي كند، اين مشكلات كاهش مي يابد.معمولاً بعداز تحويل پروتز يك يا چند جلسه پيگيري لازم است اگر مشكلي بويژه التهاب و زخم ادامه يافت، حتماً با دندانپزشك خود مشورت نمائيد.
آيا قادر به جويدن با پروتز كامل خواهم بود؟
جويدن با پروتز نياز به كمي تمرين دارد. با غذاهاي نرم و يا ترد و شكننده و بريدن آن به تكه هاي كوچك شروع كنيد. همزمان با هر دو سمت دهان و به آرامي بجويد تا مانع كج شدن پروتز شويد. به مرور به پروتز خودعادت خواهيد كردو به رژيم غذايي نرمال خود برمي گرديد.(تقريباً دو تا دو و نيم ماه بعد) در مورد غذاهاي سفت و داغ و يا استخوانهاي لبه تيز محتاط باشيد.
آيا قادر به صحبت كردن با پروتز كامل خواهم بود؟
تلفظ بعضي لغات نياز به تمرين دارد. كلماتي كه با آنها مشكل داريد، بلند بلند تكرار كنيد.اگر هنگام صحبت كردن، پروتز صدا مي دهد، آهسته تر صحبت كنيد. گاهي هنگام سرفه، خنده يا حتي لبخند زدن، پروتز از جاي خود حركت مي كند. آن را با جويدن آرام و قورت دادن آب دهان به سر جاي خود برگردانيد. اگر مشكل صحبت كردن شما ادامه يافت، با دندانپزشك خود آن را در ميان بگذاريد.
چه مدت بايد از پروتز كامل استفاده كنم؟
دندانپزشك راهنمائيهاي لازم را در اين زمينه خواهد نمود. در طي چند روز اول، ممكن است به شما بگويد كه اغلب اوقات حتي هنگام خواب از آن استفاده كنيد. پس از دوره تنظيم اوليه، پروتزها را قبل از خوابيدن خارج سازيد. اين كار به لثه ها اجازه مي دهد كه استراحت كنند و به نفع سلامت دهان است. معمولاً پوشش مداوم بافت با مواد دندانپزشكي مطلوب نيست. تحت فشار قرار گرفتن 24 ساعته مخاط، باعث تورم آن شده و منجر به تحليل استخوان فك مي گردد. در ضمن ميكروارگانيسمهاي حفره دهان در هنگام خواب فعاليت بيشتري داشته و منجر به التهاب بافتهاي دهان و گاهي ضايعات قارچي مي گردد. اگر افرادي اصرار به استفاده از پروتز هنگام شب را دارند، بايد در موقعي ديگر 8-6 ساعت در 24 ساعت پروتز را از دهان خارج سازند.
نحوه مراقبت از پروتز كامل چگونه است؟
پروتزها معمولاً بسيار ظريف هستند و اگر حتي از چند سانتيمتري بيفتند، ممكن است بشكند. بنابراين هنگام تميز كردن آنها روبروي يك سينك پراز آب بايستيد. وقتي از آن استفاده نمي كنيد، پروتزها را دور از ديد و دسترس كودكان نگهداري نمائيد.
مثل دندانهاي طبيعي، پروتزها هم بايد روزانه مسواك زده شوند تا پروتز تميز و عاري از مواد غذايي و پلاك و رنگدانه ها باقي بماند و دهان نيز سلامت باشد. بهتر است از مسواكهاي مخصوص پروتز و يا يك مسواك با موهاي نرم استفاده شود. مسواكهاي با موهاي سخت به پروتز آسيب مي رساند.
بعضي افراد از صابون دستشويي يا مايع ظرفشويي ملايم براي تميز كردن پروتزها استفاده مي كنند كه هر دو مطلوب است ولي از كاربرد ساير پودرهاي شوينده با قدرت سايندگي بالا خودداري كنيد. از كاربرد مواد سفيدكننده قوي هم پرهيز كنيد، زيرا ممكن است نواحي صورتي رنگ پروتز را سفيد نمايد. ممكن است دندانپزشك شما يك تميز كننده پروتز را به شما توصيه نمايد.هفته اي يكبار پروتزها را در محلول يك قاشق چايخوري ماده تميز كننده مثل وايتكس در يك ليوان آب، 8-6 ساعت قرار داده و سپس با آب سرد بشوئيد. وقتي از پروتزها استفاده نمي شود بايد در آب يا محلول نگهداري ويژه پروتز در يك ظرف دربسته قرار داده شوند، زيرا خشك شدن به شكل آنها آسيب مي رساند. هرگز پروتزها را در آب داغ قرار ندهيد، زيرا باعث تاب برداشتن پروتز مي شود. تميز كننده هاي اولتراسونيك نيز براي مراقبت از پروتز بكارمي روند، گرچه استفاده از آن، جايگزين مسواك زدن روزانه نمي شود، هر روز صبح قبل از قراردادن پروتز، لثه ها، زبان و كام را با يك مسواك نرم مسواك بزنيد، تا هم تميز شوندو هم جريان خون در دهان تحريك شود. استفاده از دهانشويه آب و نمك ولرم(يك قاشق چايخوري نمك در يك ليوان آب ولرم) هم بسيار كمك كننده است. استفاده از يك رژيم غذايي معتدل و صحيح براي تأمين سلامتي مهم است.
آيا من مي توانم تعميرات جزئي پروتزم را انجام دهم؟
شما با سعي در تطابق و يا تعمير پروتز جداً به پروتز وسلامت خودتان آسيب مي رسانيد. پروتزي كه به درستي تطابق نيافته باشد، باعث التهاب و زخم مي شود. اگر پروتز شكست يا ترك خورد يا يكي از دندانها لق شد، به دندانپزشك خود مراجعه كنيد. او اغلب در همان جلسه، تنظيم لازم را انجام خواهد داد. فردي كه به درستي آموزش نديده است، قادر به بازسازي پروتز نيست، آسيب بيشتري به پروتز رسانده و باعث بروزمشكلاتي در دهان مي شود. چسب هايي كه در بازار فروخته مي شوند، مواد شيميايي مضري دارند كه نبايستي روي پروتز مصرف شوند.
آيا پروتز نياز به جايگزين شدن خواهد داشت؟
در طول زمان با توجه به سايش طبيعي، پروتز نياز به ترميم يا تعويض خواهد داشت كه براي اين كار دندانپزشك از همين پروتز فعلي استفاده خواهد كرد. وضعيت دهان نيز با افزايش سن بطور طبيعي تغيير مي كند و باعث لقي پروتز خواهد شد.استخوان و لثه ها تحليل رفته و روابط فكي تغيير خواهد كرد. پروتز لق سبب بروز زخم و عفونت شده، جويدن با آن مشكل است و نماي صورت را تغيير خواهد داد. پس مهم است كه به موقع نسبت به تعويض پروتز اقدام شود. ملاقاتهاي مرتب با دندانپزشك براي تأمين سلامت دهان و كنترل وضعيت پروتز ضروري است.
پريودنتيكس(تخصص بيماريهاي لثه)
• مراقبتهاي لازم بعد از جراحي لثه
• پريودونتيت(پيوره)
• لثه سالم , ژنژيويت(آماس لثه)و جرم گيري
• بيماري هاي لثه
مراقبت هاي لازم بعد از جراحي لثه
2 - بعد از رفتن بيحسي ممكن است درد مختصري داشته باشيد كه مي توانيد از مسكن هاي تجويز شده استفاده كنيد.
3 - فعاليت هاي روزمره خود را مي توانيد داشته باشيد، ولي توصيه مي گردد از انجام فعاليت هاي شديد بدني و حمام گرم تا چند روز اجتناب كنيد.
4 - ممكن است بعداز عمل مقداري تورم در صورت ديده شود كه طي 4-3 روز از بين مي رود پيشنهاد مي گردد بمنظور پيشگيري و يا كاستن تورم يا خونريزي بعد از عمل از بيرون دهان، با استفاده از كيسه آب يخ كمپرس سرد گردد(ده دقيقه يكبار و بمدت چند دقيقه)اگر تورم شديد و توأم با تب و علائم ديگر بود به جراح لثه اطلاع دهيد.
5 - ممكن است مقداري ضعف، تب و لرز خفيفي در 24 ساعت اول داشته باشيد در صورت شديد شدن با پزشك معالج خود تماس بگيريد.
6 - خروج مقداري خونابه در روز اول (معمولاً 5-4 ساعت اوليه) طبيعي بوده و مهم نمي باشد. ولي در صورت عارض شدن خونريزي، يك تكه گاز استريل خيس شده را در محل روي پانسمان قرار داده و با فشار انگشتان با مدت 15-10 دقيقه نگهداريد. اگر خونريزي از بين نرفت و يا تشديد گرديد، لازم است با كلينيك تماس بگيريد.
7 - بهتر است روز اول از غذاهاي مايع و سرد استفاده كنيد. از روز بعد از غذاهاي نرم استفاده نموده و جويدن را با طرف ديگر فك كه پانسمان ندارد انجام دهيد.
- در روز اول بعد از جراحي از دهانشويه استفاده نكرده و مسواك نزنيد. از روز بعد مسواك زدن را آغاز نموده و مي توانيد از دهانشويه (در صورت تجويز) استفاده كنيد، در صورت تجويز دهانشويه از آن به ملايمت و بدون فشار پمپي استفاده نمائيد.
8 - از خوردن و آشاميدن ميوه هاي ترش، آب ميوه و نوشيدني هاي ترش مزه كه باعث تحريك لثه و دندان و يا بروز درد مي گردد پرهيز نموده و ضمناً سيگار نكشيد.
9 - پس از برداشته شدن پانسمان و كشيدن بخيه ها مي توانيد دندانهاي ناحيه عمل شده را با مسواك و به آرامي و با ملاحظه زياد تميز كنيد و دقت نمائيد كه از وارد شدن ضربه و فشار به لثه جلوگيري شود. ممكن است در روزهاي اول و شروع مسواك زدن ناحيه عمل شده، مقداري لثه خونريزي داشته باشد كه عادي بوده و تميز كردن را بخاطر آن متوقف نكنيد.
10 - به علت لخت شدن طوق دندان به دنبال جراحي لثه، ممكن است دندان مقداري به تحريكات حرارتي مثل سرما و گرما حساس شود كه به مرور كم شده و از بين مي رود. از خمير دندانهايي كه بدين منظور ساخته شده اند(در صورت تجويز) مي توانيد استفاده كنيد.
پريودونتيت(پيوره)
.jpg)
مهم ترين علائم پيوره عبارتند از: قرمزي و تورم لثه، خونريزي و يا خرونريزي و يا خروج چرك، بوي بد، لق شدن و يا افزايش لقي يك يا چند دندان، ايجاد فاصله بين دندانها، جدا شدن لثه از دندان و عميق شدن شيار بين لثه و دندان، تحليل لثه(گاهاً) و درد مبهم و يا خارش دار بين دندانها. معمولاً بيماريهاي لثه در مراحل اوليه بدون درد بوده و به همين دليل ممكن است بيمار متوجه پيشرفت تدريجي آن نگردد و يا توجهي به خونريزي گهگاه آن به هنگام مسواك زدن و يا غذا خوردن نداشته باشد. لذا براي حفظ و سلامت لثه و دندانها لازم است معاينات منظم دندانپزشكي صورت گيرد. در بعضي موارد عليرغم جدا و عميق شدن شيار لثه اي، لبه لثه در محل طبيعي خود به نظر مي آيد و پيشرفت بيماري ممكن است از ديد بيمار پنهان بماند.
عامل ايجاد كننده پيوره چيست؟
عامل ايجاد كننده پيوره، ميكروبهايي هستند كه در محيط دهان وجود داشته و بصورت يك لايه بيرنگ و چسبنده به هم بر روي سطح دندان و لثه تجمع مي يابند. به اين لايه بيرنگ كه حاوي خرده هاي غذايي و بزاق بوده و به دندان چسبندگي دارد، پلاك ميكروبي، با كشيدن ناخن بر دندان به زير ناخن جمع شده و به راحتي با مسواك زدن پاك مي شود.
سير بيمار پريودونتيت چگونه است؟
اگر التهاب لثه با عدم رعايت بهداشت دهان ودندان ماندگار شود عفونت به بافتهاي عمقي تر چون استخوان لانه دنداني و الياف نگهدارنده دندان سرايت نموده و باعث تحليل استخوان و اضمحلال الياف نگهدارنده شده و نهايتاً منجر به لقي و از دست دادن دندان مي گردد.
نحوه پيشگيري از بيماري پريودونتيت چگونه است؟
تميز كردن دندانها توسط مسواك، نخ و خمير دندان در جلوگيري از بروز بيماريهاي لثه بسيار مؤثر است. ضمناً مراجعات منظم هر 6 ماه يكبار به دندانپزشك توصيه مي گردد.
آيا بيماري پريودونتيت مسري است؟
خير، ابتلاي اين بيماري از طريق سرايت صورت نمي گيرد. علاوه بر استعداد شخصي وجود عامل بوجود آورنده آن كه پلاك ميكروبي مي باشد، لازم است. توصيه مي گردد عليرغم غير مسري بودن بيماري، هميشه از وسايل بهداشتي شخصي استفاده گردد.
درمان چيست؟
درمان بستگي به شدت بيماري لثه دارد. در مراحل اوليه با يك جرم گيري كامل و تميز كردن سطح دندان بيماري از بين مي رود. در مراحل پيشرفته تر درمان شامل كورتاژ و يا جراحي لثه مي باشد. در جراحي لثه، دندانپزشك بعد از بيحس نمودن لثه به آرامي اقدام به برش لثه نموده و آن را كنار ميزند و سپس اقدام به برداشتن بافتهاي بيمار شده و تميز و صاف نمودن سطح ريشه دندان نموده، ضمناً فرم لثه و استخوان راتصحيح مي كند. در خاتمه عمل لثه به جاي خود برگردانده شده و بخيه زده مي شود و نهايتاً خميري كه پك جراحي ناميده مي شود بمنظور محافظت، به مدت حداكثر يك هفته بر روي ناحيه عمل گذاشته شده مي شود. در پيوره عمق شياربين لثه و دندان كه در مواقع طبيعي بين 0/5 تا 1 ميليمتر ميباشد، عميق شده و پاكت(Pocket) ناميده مي شود. پاكت مكان مناسبي براي رشد و فعاليت ميكروبهاست. بديهي است از شرايط بيماري بعلت عمق پاكت، امكان پاك كردن كامل آن با مسواك و نخ و ديگر روشهاي بهداشتي ميسر نمي باشد. لذا، هدف از عمل جراحي لثه، فراهم آوردن شرايطي است كه بيمار بتواند دندانها را به راحتي تميز نمايد. بنابراين عمل جراحي لثه يك عمل بازدارنده و ممانعت كننده از پيشرفت بيماري است.
آيا عود بيماري لثه حقيقت دارد؟
در درمان پريودنتيت كنترل و حذف بيماري زمينه اي اصل بوده و ضمناً بيمار بايد رعايت كامل بهداشت دهان و دندان را بنمايد. بديهي است كه اگر دستورات داده شده در اين خصوص عمل نشود، پلاك ميكروبي بر دندانها تجمع يافته و ممكن است بيماري عود نمايد. بنابراين رعايت كامل بهداشت دهان و دندان در پيشگيري از بروز پريودونتيت مجدد نقش بسيار مؤثري دارد.
لثه سالم، ژنژيويت(آماس لثه) و جرم گيري
مخاط پوشاننده دهان در نواحي دنداني لثه نام دارد. لثه سالم به رنگ صورتي بوده، سفت و چسبيده به استخوان و دندان با نمايي شبيه پوست پرتقال مي باشد. ضمناً لثه سالم فاقد تورم، قرمزي و آماس مي باشد. دندانها مستقيماً به استخوان نچسبيده اند و توسط اليافي كه پريودونتال ليگامنت ناميده مي شود به استخوان وصل شده و نگهداشته مي شوند. به مجموعه ساختماني متشكل از لثه، استخوان ناحيه دنداني، الياف نگهدارنده و سمان كه سطح ريشه را پوشانيده است، بافتهاي اطراف دندان (Periodontal tissue ) گفته مي شود. وظيفه اين بافتها تغذيه و نگهداري دندانها در حفره هاي استخوان فك به نحوي است كه بتوانند وظيفه شان را انجام دهند.
علائم بيماري آماس لثه چيست؟
- خونريزي لثه به هنگام مسواك زدن و در اثر معاينات دندانپزشكي
- تغيير رنگ لثه به سمت قرمز و ياقرمز مايل به آبي
- جدا شدن لثه از دندان،تورم و زياد شدن عمق شيار بين لثه و دندان
- احتمال بو و طعم بد دهان
- درد معمولاً وجود نداشته و در معاينه راديوگرافيك تحليل استخوان نيز ديده نمي شود.
عامل ايجاد كننده بيماري لثه چيست؟
عامل ايجاد كننده بيماريهاي لثه ميكروبهايي است كه در محيط دهان وجود دارند. ميكروبها بر روي دندانها تجمع يافته و بصورت يك لايه بيرنگ و چسبنده اي به دندان و لثه چسبيده و باعث آماس لثه مي شوند.
پلاك ميكروبي چيست؟
به لايه مذكور كه بيرنگ و چسبنده بوده و از تجمع ميكروبهاي دهان بر روي زمينه و لايه چسبنده اي از بزاق تشكيل مي شود، پلاك ميكروبي گفته مي شود كه حاوي مقاديري از خرده هاي غذايي نيز مي باشد. اين لايه ، با كشيدن ناخن بر دندان به زير ناخن جمع شده و به راحتي با مسواك زدن پاك مي شود ولي با شستشوي فقط با آب و يا دهانشويه هاي معمولي پاك نمي گردند. لذا بايستي براي پاك كردن آن از وسايلي چون مسواك و خمير دندان و نخ دندان استفاده كرد.
جرم چيست؟
اگر پلاك ميكروبي هر روز و يا در مراحل اوليه از سطح دندان تميز نشود، املاح موجود در بزاق و مواد غذايي برآن رسوب نموده و منجر به ايجاد جرم دندان كه سخت مي باشد، ميگردد. جرم با مسواك زدن پاك نشده و با عمل جرم گيري توسط دندانپزشك برداشته مي شود.
چگونه مي توان از آماس لثه جلوگيري كرد؟
با رعايت بهداشت دهان ودندان به كمك وسايلي چون مسواك، خمير دندان و نخ دندان و برداشتن پلاك ميكروبي آماس لثه بوجود نمي آيد. در صورتيكه پلاك تبديل به جرم شده باشد، جرمگيري توسط دندانپزشك توصيه مي گردد.
آيا جرم گيري به دندان صدمه مي زند؟
خير، جرم دندان علاوه بر اينكه براي لثه و بافتهاي نگهدارنده دندان مضر مي باشد محلي نيز براي تجمع و تكثير ميكروبهاي پوسيدگي زا است. با عمل جرم گيري تعداد اين ميكروبها دردهان به مراتب كمتر مي شود. با برداشته شدن جرم، بيمار ممكن است با زبانش حس كند كه دندانش خالي شده است. اين احساس همراه با مقداري حساسيت به سرما يا گرما (بعد از جرم گيري) اين تصور غلط را تقويت نموده است كه شايد دندانهايش در حين جرم گيري تراش خورده باشند، در صورتيكه مكانيزم دستگاه جرم گيري لرزشي بوده و قادر به تراش نمي باشد.
علت حساسيت دندان به سرما بعد از جرم گيري چيست؟
دندان داراي حس بوده و در ناحيه طوق بسيار حساس تر مي باشد. وجود جرم بر طوق دندان به علت ضخامتي كه دارد به عنوان يك عايق حرارتي عمل مي كند و يا به عبارت ديگر جلوي حس دندان را مي گيرد. با برداشته شدن آن بديهي است كه دندان بهتر متوجه تغييرات حرارتي مي گردد، ضمناً بر اثر وجود جرم لثه پرخون و متورم شده و با عمل جرم گيري التهاب آن فروكش مي كند لذا مقدار بيشتري از دندان نسبت به حالتي كه قبلاً آماس لثه وجود داشته در دهان ديده مي شود و اين خود باعث احساس بيشتر تغييرات حرارتي مي گردد. حساس شدن به سرما را مي توان به احساسي كه بدن انسان بعد از استحمام دارد، تشبيه نمود. حساسيت به سرما هميشه و غالباً بوجود نيامده و در صورت ايجاد، گذرا و موقتي بوده و جاي هيچگونه نگراني ندارد.
آيا دندان بعد از جرم گيري لق مي شود؟
خير، با تجمع تدريجي جرم بر دندان، لثه و به دنبال آن مقداري از استخوان نگهدارنده دندان تحليل مي رود. در حقيقت دندان به اين دليل قبلاً لق شده ولي به علت انباشتگي و يكپارچگي جرم و چسبيده شدن دندانها به هم توسط آن، اين حالت درك نشده و يا برداشته شدن جرم كشف مي گردد و بيمار آن را منتسب به عمل جرم گيري مي داند. يك ضرب المثل مي گويد « جلوي ضرر را از هركجا بگيري، منفعت است». لق شدن دندان منوط به تحليل استخوان و انساج نگهدارنده دندان در اثر جرم و پلاك ميكروبي است و در همه موارد بخصوص در مراحل اوليه بيماريهاي لثه و بافتهاي اطراف دندان ديده نمي شود.
آيا جرم گيري درد دارد؟
خير، موردي براي بيحس كردن دندان به هنگام جرم گيري وجود ندارد. جرم گيري يا توسط قلم هاي دستي و يا با دستگاه صورت مي گيرد. نوك قلم دستگاه جرم گيري داراي لرزش و نوساناتي مي باشد كه با زدن ضربه هاي بسيار كوتاه بر جرم، آن را پاك مي كند و دندان را نمي تراشد، آب دستگاه علاوه بر تميز كردن و شستشو، دندان را نيز خنك مي كند.
جرم گيري را هر چند وقت بايد انجام داد؟
بسياري از اشخاص با يكبار جرم گيري و رعايت هميشگي بهداشت دهان و دندان ممكن است تا مدت ها نيازي به جرم گيري مجدد نداشته باشند. بديهي است كه هرگونه كوتاهي در رعايت اصول بهداشت دهان منجر به تجمع دوباره جرم خواهد شد. ضمناً بعضي از بيماران به علت دارا بودن بزاقي با ويژگي هاي خاص از نظر ميزان ترشح و تركيب، بسيار مستعد به تشكيل جرم هستند، ضمناً استعداد به بيماريهاي لثه در خانواده هايي بيشتر مي باشد. در اين گروه از بيماران توصيه مي گردد جرم گيري در تناوب زماني كوتاهتري انجام شود.
آيا استفاده از خمير دندانهاي ضد جرم مفيد مي باشد؟
خير، جرم با مسواك و خمير دندان پاك نشده و براي اين منظور از دندانپزشكان بايد كمك گرفت، ضمناً خمير دندانهايي كه به عنوان ضد جرم معرفي شده اند داراي مقادير زيادي از مواد ساينده بوده و فقط رنگ و لكه هاي رسوب نموده بر دندان را كه Stain (زنگ) نام دارد، تميز مي كنند و استفاده هميشگي از آنها توصيه نمي گردد. اين خميردندانها، بعلت دارا بودن مواد ساينده زياد،ايجاد خراش هاي بسيار ظريف بر سطح دندانها نموده و زمينه را براي تجمع و چسبندگي بيشتر پلاك ميكروبي فراهم مي آورند.
بيماريهاي لثه
< لثه سالم چه خصوصياتي دارد؟
علت ايجاد بيماري لثه چيست؟
وقتي پلاك ميكروبي در كنار لثه باقي بماند با ترشح مواد سمي به لثه آسيب مي رساند. هرچه پلاك مدت طولاني تري بر روي دندانها بماند، مواد سمي بيشتري ترشح شده و آسيب به لثه بيشتر خواهد شد. بتدريج با رسوب مواد معدني در پلاك، جنس پلاك سخت تر شده و به صورت لايه آهكي سختي به دندان مي چسبد. به اين لايه آهكي كه به رنگ سفيد، زرد يا قهوه اي رنگ مي باشد جرم گويند. جرم پس از تشكيل به دليل سطح خشن و ناصافي كه دارد باعث تجمع بيشتر پلاك بر روي دندانها شده و بيماري لثه را شديد تر مي كند.
نشانه هاي بيماري لثه
پيشگيري و درمان بيماري لثه
مسواك كردن مرتب و به روش صحيح،همانگونه كه باعث سلامت دندانها مي شود،سلامت لثه ها را نيز تأمين مي كند. برخلاف تصور برخي از مردم كه با شروع بيماري لثه و خون ريزي از آن در هنگام مسواك كردن،استفاده از مسواك را ترك مي كنند،بايد گفت در اين هنگام مسواك كردن را بايستي بادقت و توجه بيشتري انجام داد. حتي لازم است تعداد دفعات مسواك كردن را ببيشتر كرد. معمولا در خيلي ار موارد مسواك كردن صحيح باعث بهبود بيماري لثه مي شود همينطور استفاده از نخ دندان در سلامت لثه ها بسيار مفيد است زيرا پلاك ميكروبي در نواحي بين دنداني تجمع بيشتري دارد و برداشتن آنها توسط نخ دندان،به سالم ماندن لثه ها كمك مي كند. استفاده از دهان شويه آب نمك ( نصف قاشق چايخوري نمك در يك ليوان آب جوشيده سرد شده ) همراه با ماساژ لثه ها نيز مؤثر مي باشد، اگر بر روي دندانها جرم تشكيل شده باشد، لازم است حتماً دندانها جرم گيري شوند. برخي از مردم جرم گيري را براي ميناي دندان مضر مي دانند . ولي برخلاف تصور آنها،جرم گيري نه تنها براي دندان ضرري ندارد، بلكه با برداشتن مواد خشن و پلك ميكروبي از سطح دندان ، به سلامت لثه ها نيز كمك مي كند.
دندانپزشكي كودكان
• عادت مكيدن انگشت و پستانك
• سيلانت (مواد مسدودكننده شيارهاي دندان)
• فضانگهدار
• روكش دندان شيري (SSC)
عادت مكيدن انگشت و پستانك
چرا كودكان انگشت، پستانك و ساير اشياء را مي مكند؟
يك نوع از مكيدن كاملاً در مورد نوزادان و كودكان طبيعي مي باشد و براي آنها ايجاد امنيت و اطمينان مي كند و راهي است براي ايجاد ارتباط كودك همراه با فراگيري با جهان پيرامون خود و در واقع نوزادان قبل از اينكه بدنيا بياينداين عمل را در كيسه جنيني تجربه مي كنند.
آيا همه اين عادات براي دندانها و فكين مضر مي باشند؟
بيشتر كودكان مكيدن انگشت و پستانك و ديگر اشياء را خود بخود در سنين 2تا 4 سالگي ترك مي كنند و همين باعث مي شود كه دندانها و فكين دچار آسيب نشوند ولي بعضي از آنها اين عادات را بمدت طولاني تكرار كرده كه ممكن است باعث بي نظمي در قوسهاي دنداني شده و ضمناً دندانهاي جلو بيرون زده شده و بهم نيايند.
.jpg)
چه زماني بايد نگران عدم ترك عادات مكيدني شد؟
درتمام اوقات اين عادات را مد نظر داشته باشيد. در مورد بيشتر كودكان مادامي كه تغييري از نظر بيرون زدگي دندانهاي قدامي بالا بوجود نيامده باشد، جاي نگراني ندارد. دندانپزشك كودك شما با دقت راهي را براي رويش صحيح دندانها و روند رشد و تكامل طبيعي فكين پيدا خواهد كرد.
چگونه مي توان اين عادات را متوقف كرد؟
برخي از كودكان خودبخود اين عادات را كنار مي نهند ولي برخي از آنان نياز به كمك والدين و يا دندانپزشك اطفال دارند. وقتي كودك شما از نظر سني، آماده فهم و درك اثرات ناشي از عادات مكيدن گرديد دندانپزشك اطفال با روشن كردن موضوع و بيان اينكه چه اتفاقي ممكن است براي دندانها بيفتد، فرزند شما را مي تواند ترغيب نمايد كه اين عادات را ترك كند. اين توصيه ها همراه با پشتيباني و تقويت و تشويق از سوي والدين بيشتر موثر بوده و اگر كارآيي داشت دندانپزشك كودكان از وسايلي استفاده مي كند كه مؤثر واقع شود.
.jpg)
آيا عادت مكيدن پستانك گول زن بي خطرتر از مكيدن انگشت مي باشد؟
خير، مكيدن انگشت شست و پستانك داراي اثراتي مشابه برروي دندانها مي باشند.
سيلانت(مواد مسدود كننده شيارهاي دندان)
سيلانت ها از مواد پلاستيكي بي رنگ و يا به رنگ سفيد ساخته شده اند و براي محافظت سطوح دندانهايي كه داراي شيارهاي عميق و منافذ مي باشند، بخصوص براي سطح جونده دندانهاي خلفي كه بيشترين پوسيدگيها در آنها يافت مي شوند، بكار مي روند. بعبارت ديگر سيلانت ها از پوسيدگي دندان جلوگيري مي كنند.
نحوه عمل كردن سيلانت چيست؟
فرزند شما، حتي اگر بسيار با دقت مسواك زده و به دندانها نخ بكشد مشكل بتواند عمق شيارها و منافذ دنداني را كاملاً تميز نمايد. در اين شيارها مانده هاي غذا تخمير شده و ميكروبها تكثير مي يابند و ايجاد پوسيدگي مي كنند. سيلانت ها شيارها و منافذ سطوح دندانها را مهر و موم نموده و ريسك و استعداد ايجاد پوسيدگي را كاهش مي دهند. اين عمل را مي توان به دوغاب نمودن موزائيك و كاشي ها توسط بناها بمنظور پر كردن فاصله بين آنها تشبيه نمود.
سيلانت ها چه مدتي در دهان دوام مي آورند؟
تحقيقات نشان داده كه سيلانتها مي توانند ساليان متمادي دوام بياورند، بنابراين كودك شما سالهاي زيادي از پوسيدگي دنداني محافظت مي گردد. اگر فرزند شما بهداشت دهان خوبي داشته باشد و از نظر جويدن نيز مشكل خاصي نداشته باشد، سيلانتها دوام زيادي خواهند داشت. دندانپزشك با معاينات منظم آنهايي را كه از بين رفته و يا به آنها آسيب وارد شده ، مجدداً ترميم مي نمايد.
نحوة درمان چگونه است؟
كاربرد عملي سيلانتها بسيار سريع و راحت بوده و در يك جلسه انجام مي شود. دندانپزشك در ابتدا دندانها را تميز، و با موادي آماده نموده و سپس خشك مي كند. و نهايتاً به آنها سيلانت زده و با نور سخت مي كند.
هزينه سيلانت تراپي چقدر است؟
طرز درمان طوري است كه خيلي راحت مي توان از عهدة آن برآمد. بايد توجه داشت كه اينكار از پوسيدگي دندان و بالتبع از هزينه زياد پركردن آنها جلوگيري كرده و در قياس با پركردن دندانهاي پوسيده، هزينه آن بسيار كمتر است.
به كدام دندانها بايد سيلانت زده شود؟
دندانهايي كه بيشترين ريسك پوسيدگي را دارند بايد سيلانت زده شود. بنابراين، دندانهاي آسياي بزرگ اول دائمي كه در سن 6 سالگي به دهان رويش مي يابند و دندانهاي آسياي بزرگ دوم كه در 12 سالگي در دهان ظاهر مي گردند بايد سيلانت زده شوند. علاوه بر اينها دندانهايي كه داراي شيارها و حفرات عميق و زياد بوده به سودشان مي باشد كه سيلانت زده شوند.
آيا كودكي كه سيلانت تراپي شده است، باز هم نياز به استفاده از مسواك و نخ دندان دارد؟
بله. سيلانتها جزئي از يك طرح و نقشه در جهت مبارزه با پوسيدگي دندان مي باشند. بنابراين، استفاده از نخ و مسواك و معاينات منظم دندانپزشكي هنوز براي داشتن لبخندي سالم، زيبا و پر نشاط يك اصل بشمار مي آيد.
فضا نگهدار
يك دندان شيري معمولاً تا زماني در جاي خود ميماند كه دندان دائمي جانشين آن شروع به رويش نموده و آن را به طرف خارج هل داده و جايش را بگيرد. متأسفانه برخي از كودكان به دلائلي چون ضربه، شكستگي و پوسيدگي دندانهايشان را زود از دست مي دهند. در اين مواقع كاربرد وسايلي بنام فضا نگهدار بجاي آن توصيه ميگردد تا از دست دادن فضا براي رويش دندانهاي دائمي واقع در زير آنها و نهايتاً مشكلات ارتودنسي در آينده جلوگيري شود. توصيه ميگردد دندانهاي شيري تا حدامكان ترميم و نگهداري شوند.
چرا؟ دندانهاي شيري كه نهايتاً خودشان ميافتند؟!
براي حفظ سلامتي كودكان در حال و آينده، وجود دندانهاي شيري بسياراهميت دارد. آنها در تكامل طبيعي فك و عضلات نقش دارند. علاوه بر جويدن و صحبت كردن، فضا را براي رويش دندانهاي زيرين حفظ نموده و آنها را به جايگاه اصلي شان هدايت ميكنند. از ياد نبريد برخي از دندانهاي شيري نبايد تا سن 13-11 سالگي بيفتند.
چگونه دندان شيري از دست رفته ميتواند موجب بروز مشكلات در دندانهاي دائمي شود؟
اگر يك يا چند دندان شيري زود از دست داده شوند دندانهاي كناري آنها ممكن است خم شده و يا به داخل فضاي حاصله حركت كنند. ضمناً دندانهاي موجود در فك مقابل هم ممكن است به سمت آن فضاي خالي حركت نمايند. وقتي كه دندانها فضاي حاصل از كشيده شدن دندان شيري را پر و اشغال نمودند، ديگر جايي براي رويش دندان دائمي جانشين آن كه قرار است چند سال بعد رويش نمايد باقي نميماند و ناچاراً يا نهفته باقي مانده و يا كج درآمده و رديف دندانها را بهم ميزند و نياز به درمان ارتودنسي پيش ميآيد.
فضا نگهدار چيست؟
فضا نگهدارندهها اسبابهاي كوچكي هستند كه از فلز يا مواد پلاستيكي ساخته شده و بخوبي با دهان بيمار تطابق مييابند. بيشتر كودكان ظرف چند روز اول با آن خود را وفق داده و به آن عادت ميكنند.
.jpg)
.jpg)
فضا نگهدار چگونه به اين كودكان كمك ميكند؟
فضا نگهدارندهها باعث نگهداري و حفظ فضاي حاصل از كشيدن دندانهاي شيري، با ممانعت از حركت دندانهاي كناري به داخل آن ميشوند و نهايتاً دندان دائمي جانشين شونده در سن مناسب و در جاي خود رويش ميكند. استفاده از اين دستگاهها به منظور حفظ فضا، براي كودكان بسيار راحتتر و قابل قبولتر خواهد بود تا اينكه بعداً مجبور باشند با استفاده از دستگاههاي ارتودنسي دندانها بجاي خود هدايت شوند.
چه مراقبتهاي ويژهاي براي فضا نگهدارندهها لازم است؟
دندانپزشكان اطفال چهار توصيه و قانون براي مراقبت از اين دستگاهها دارند:
1 - عدم استفاده از شيرينيجات چسبنده و كشدار و جويدن آدامس
2 - فشار وارد نكردن و يا عدم تكان دادن آن با انگشت يا زبان
3 - تميز نگهداشتن آنها با مسواك
4 - معاينات منظم دندانپزشكي
(ssc)روكش دندان شيري
اين روكشهاي فولادي زنگ نزن به رنگ فلزي بوده و در موارد خاص با توجه به نظر دندانپزشك تجويز ميشوند:ترميم دندانهاي شيري يا دائمي جوان با ضايعات پوسيدگي وسيع، ترميم دندانهاي با ناهنجاري ارثي، ترميم پس از درمان ريشه دندان شيري يا دائمي كه خطر شكستگي ساختمان تاج باقيمانده زياد است، ترميم دندان شكسته و ترميم دندانها در افراد ناتوان يا كساني كه بهداشت دهاني فوقالعاده ضعيفي دارند واحتمال دارد ساير مواد در دهان آنها با شكست روبرو شود. روكش با مواد سماني خاص به دندان چسبانده ميشود و وجود آن هيچ مشكلي در لق شدن دندان شيري و رويش جانشين دائمي آن ايجاد نميكند. در صورتي كه روكش لق شده بود، بلافاصله به دندانپزشك مراجعه نمائيد تا مجدداً آن را با دندان تطابق داده و سمان كند. لازم به ذكر است كه بلع احتمالي روكش بسيار نادر بوده و در صورت وقوع معمولاً بدون هيچ مشكلي در عرض 10-7 روز دفع ميگردد.
منابع :
دندانپزشکی http://daneshnameh.roshd.ir
دندانپزشکی http://fa.wikipedia.org
علم دندانپزشکی http://www.boali.com
تاریخچه دندانپزشکی http://daneshnameh.roshd.ir
دندانپزشک عمومی http://www.boali.com/dentist
دندانپزشکی http://danesh.bizhat.com
اندودنتیکس«تخصص درمان ریشه دندان» http://aftab.ir
دندانپزشک http://www.drkhalilollah.com
/الف