كارسينوم‌ كليه‌

كارسينوم‌ كليه،‌ ‌يك‌ نوع‌ سرطان‌ كليه‌ است‌. اين‌ نوع‌ سرطان‌ معمولاً در افراد بالاي‌ 40 سال‌ و در مردان‌ بيشتر از زنان‌ رخ‌ مي‌دهد.
پنجشنبه، 30 دی 1389
تخمین زمان مطالعه:
موارد بیشتر برای شما
كارسينوم‌ كليه‌

كارسينوم‌ كليه‌
كارسينوم‌ كليه‌


 





 
نام بيماري به انگليسي: Hypernephroma

اطلاعات‌ اوليه‌
 

شرح بيماري
 

كارسينوم‌ كليه،‌ ‌يك‌ نوع‌ سرطان‌ كليه‌ است‌. اين‌ نوع‌ سرطان‌ معمولاً در افراد بالاي‌ 40 سال‌ و در مردان‌ بيشتر از زنان‌ رخ‌ مي‌دهد.

علايم‌ شايع‌
 

وجود يك‌ توده‌ سفت‌ در شكم‌ بزرگ‌ شده‌
كاهش‌ وزن‌ و اشتها
تب‌ خفيف‌ و مداوم‌
استفراغ‌
درد خفيف‌ شكمي‌
قرمز يا تيره‌ شدن‌ ادرار در اثر خونريزي‌ از تومور اگر تومور آن‌ اندازه‌ بزرگ‌ شود كه‌ باعث‌ نارسايي‌ كليه‌ شود، علايم‌ زير ايجاد مي‌شود:
خستگي‌ و ضعف‌ فزاينده‌
سردرد
تنفس‌ بدبو
تهوع‌، استفراغ‌ يا اسهال‌
تنگي‌ نفس‌
درد قفسه‌ صدري‌
خارش‌ پوست‌

علل‌
 

ناشناخته‌ است‌.

عوامل تشديد كننده بيماري
 

ناهنجاري‌هاي‌ مادرزادي‌ متعدد
سيگار كشيدن‌

پيشگيري‌
 

در حال‌ حاضر نمي‌توان‌ از آن‌ پيشگيري‌ نمود. اگر خانمي‌ در سنين‌ باروري‌ هستيد و سابقه‌ خانوادگي‌ تومورهاي‌ كليوي‌ را داريد، پيش‌ از حامله‌ شدن‌ براي‌ مشاوره‌ ژنتيك‌ مراجعه‌ كنيد.
اگر تومورهاي‌ كليوي‌ نسل‌ اندر نسل‌ در خانواده‌ شما وجود داشته‌ است‌، با پزشك‌ خود در رابطه‌ با آزمايشات‌ مربوط‌ مشورت‌ كنيد. حتي‌ اگر احساس‌ سلامتي‌ مي‌كنيد و بيماري‌ در شما وجود نداشته‌ باشد، مرتباً براي‌ معاينه‌ منظم‌ مراجعه‌ نماييد.

عواقب‌ مورد انتظار
 

اگر تومور قبل‌ از اين‌ كه‌ به‌ ساير نقاط‌ بدن‌ گسترش‌ يابد شناسايي‌ شود، معمولاً با جراحي‌ قابل‌ معالجه‌ است‌.

عوارض‌ احتمالي‌
 

گسترش‌ به‌ ساير اعضاي‌ بدن‌، خصوصاً كبد، ريه‌ها، مغز و استخوان‌ها، پيش‌ از شناسايي‌ تومور اوليه‌ در كليه‌
نرم‌ شدن‌ استخوان‌ها (پوكي‌ استخوان‌)
افزايش‌ استعداد ابتلا به‌ عفونت‌هاي‌ مجاري‌ ادرار

درمان‌
 

اصول‌ كلي‌
 

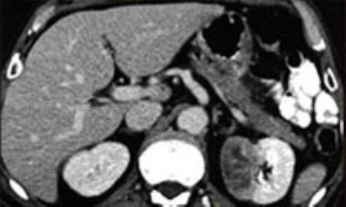
آزمايشات‌ تشخيصي‌ ممكن‌ است‌ عبارت‌ باشند از آزمايش‌ خون‌ و ادرار براي‌ ارزيابي‌ كار كليه‌ و براي‌ تشخيص‌ وجود خون‌ در ادرار. همچنين‌ ممكن‌ است‌ توصيه‌ به‌ انجام‌ سي‌تي‌ اسكن‌، سونوگرافي‌، آم‌.آر.آي‌، و نوگرافي‌ شود.
درمان‌ شامل‌ در آوردن‌ كليه‌ (يا در آوردن‌ قسمتي‌ از آن‌ در بعضي‌ از بيماران‌) و در آوردن‌ گره‌هاي‌ لنفاوي‌ منطقه‌اي‌ است‌. امكان‌ دارد پس‌ از جراحي‌، اقداماتي‌ چون‌ اشعه‌ درماني‌، شيمي‌ درماني‌ و ايمني‌ درماني‌ انجام‌ گيرند.

داروها
 

امكان‌ دارد داروهاي‌ ضد سرطان‌ تجويز شوند (شيمي‌ درماني‌). هم‌اكنون‌ درمان‌هاي‌ جديدي‌ تحت‌ مطالعه‌ قرار دارند و ممكن‌ است‌ نتايج‌ درماني‌ را بهبود بخشند.

فعاليت در زمان ابتلا به اين بيماري
پس‌ از جراحي‌، براي‌ از سرگيري‌ فعاليت در زمان ابتلا به اين بيماري هاي‌ عادي‌ خون‌ طبق‌ توصيه‌هاي‌ پزشكتان‌ عمل‌ نماييد.
در طي‌ روز زمان‌هاي‌ استراحت‌ كوتاه‌ مدت‌ را در نظر بگيريد. در خارج‌ از اين‌ زمان‌ها، تا حدي‌ كه‌ قدرتتان‌ اجازه‌ مي‌دهد فعال‌ باشيد.
 

رژيم‌ غذايي‌
 

رژيم‌ غذايي‌ كم‌ پروتئين‌ داشته‌ باشيد. به‌ علت‌ محدوديت‌هاي‌ غذايي‌، امكان‌ دارد مصرف‌ مكمل‌هاي‌ ويتاميني‌ و معدني‌ متعدد ضرورت‌ داشته‌ باشد.
دريافت‌ مايعات‌ را به‌ روزانه‌ چندين‌ ليوان‌ آب‌ افزايش‌ دهيد.

درچه شرايطي بايد به پزشك مراجعه نمود؟
 

اگر شما يا يكي‌ از اعضاي‌ خانواده‌تان‌ علايم‌ كارسينوم‌ كليه‌ را داريد.
اگر يكي‌ از موارد زير به‌ هنگام‌ درمان‌ رخ‌ دهند: ـ تب‌ 3/38 درجه‌ سانتيگراد يا بالاتر ـ ادرار كاهش‌ يابد.
اگر دچار علايم‌ جديد و غير قابل‌ توجيه‌ شده‌ايد. داروهاي‌ ضد سرطان‌ مورد استفاد در درمان‌ ممكن‌ است‌ عوارض‌ جاني‌ به‌ همراه‌ داشته‌ باشند.
منبع: www.irteb.com

منبع:



 



ارسال نظر
با تشکر، نظر شما پس از بررسی و تایید در سایت قرار خواهد گرفت.
متاسفانه در برقراری ارتباط خطایی رخ داده. لطفاً دوباره تلاش کنید.
مقالات مرتبط