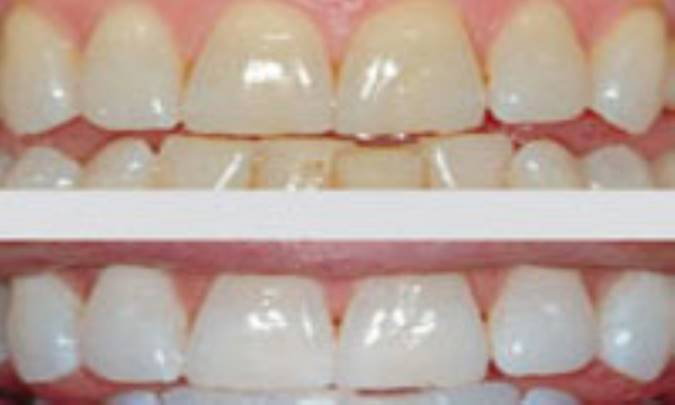
سفيد کردن دندان در مطب يا منزل؟

1 سفيد كردن در مطب كه در چند جلسه صورت مي‌گيرد. هر جلسه حدود يك ساعت و با ژل‌هاي مخصوص سفيد كردن و با استفاده از حرارت يا نور آبي صورت مي‌گيرد. تعداد جلسات بستگي به تيرگي دندان و رضايت بيمار دارد.
دوشنبه، 25 بهمن 1389
تخمین زمان مطالعه:
موارد بیشتر برای شما
سفيد کردن دندان در مطب يا منزل؟

سفيد کردن دندان در مطب يا منزل؟
سفيد کردن دندان در مطب يا منزل؟


 





 

سفيد كردن عمدتا به دو صورت انجام مي‌شود:
 

1 سفيد كردن در مطب كه در چند جلسه صورت مي‌گيرد. هر جلسه حدود يك ساعت و با ژل‌هاي مخصوص سفيد كردن و با استفاده از حرارت يا نور آبي صورت مي‌گيرد. تعداد جلسات بستگي به تيرگي دندان و رضايت بيمار دارد.
 

2 سفيد كردن در منزل كه ابتدا از بيمار قالب تهيه مي‌شود و قاشقك مخصوص ساخته مي‌شود. ژل سفيد‌كننده مخصوص منزل به مدت دو هفته صبح و بعدازظهر هر بار حدود نيم‌ساعت استفاده مي‌شود.
 

گاها از هر دو روش براي پايداري بيشتر استفاده مي‌شود.

سفيد کردن دندان در مطب يا منزل؟

سوختگي بافتي كه در اثر مواد سفيدكننده روي لثه نواحي سفيد ايجاد مي‌كند كه بايد با آب شستشو شود تا رنگ سفيد محو گردد و معمولا در عرض دو ساعت از بين مي‌رود ولي اگر دردناك بود مي‌توان از بي‌حسي موضعي استفاده كرد.
حساسيت دندان ممكن است طي مراحل سفيد كردن ظاهر شود يا پس از سفيد كردن بروز نمايد، معمولا تا 24 ساعت رفع مي‌شود. اگر از نوع سفيد كننده در منزل استفاده مي‌شود، در صورت بروز درد و حساسيت يكي دو روز سفيد كردن را متوقف مي‌كنيم و پس از رفع حساسيت دوباره شروع به درمان مجدد مي‌كنيم.
گاهي حساسيت تا چند هفته باقي است كه در اين صورت مي‌توان از محلول‌ها و ژل‌هاي موضعي فلورايد و خميردندان‌هاي ضدحساسيت استفاده كرد.
منبع: http://www.salamat.com
منبع:



 



ارسال نظر
با تشکر، نظر شما پس از بررسی و تایید در سایت قرار خواهد گرفت.
متاسفانه در برقراری ارتباط خطایی رخ داده. لطفاً دوباره تلاش کنید.
مقالات مرتبط