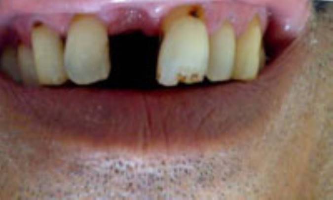
افتاد و دندونش شكست...

کافي است شما در يک تصادف اتومبيل سرتان به فرمان بخورد و دندان‌هاي جلويي‌تان بشکند يا کودک شما وقتي مشغول ورزش و بازي در پارک يا اسکيت‌سواري است ناگهان به زمين بخورد و دندانش لب‌پر شود.
چهارشنبه، 22 دی 1389
تخمین زمان مطالعه:
موارد بیشتر برای شما
افتاد و دندونش شكست...

افتاد و دندونش شكست...
افتاد و دندونش شكست...


 





 
ترميم دندان‌هاي لب‌پر در گفتگو با دكتر كسري طبري، متخصص دندانپزشكي ترميمي و زيبايي
کافي است شما در يک تصادف اتومبيل سرتان به فرمان بخورد و دندان‌هاي جلويي‌تان بشکند يا کودک شما وقتي مشغول ورزش و بازي در پارک يا اسکيت‌سواري است ناگهان به زمين بخورد و دندانش لب‌پر شود.
در اين شرايط هر کسي نگران مي‌شود و تلاش مي‌کند هر چه سريع‌تر خود را به يک دندان‌پزشک برساند و دندانش را ترميم کند. بسياري از بيماران فکر مي‌کنند بايد دندان لب‌پر را تراشيد و روکش كرد ولي اين باور غلط است. در اغلب اوقات دندان‌پزشکان مي‌توانند با انجام يک درمان زيبايي روي دندان شکسته و لب‌پرشده شما آن را به حالت اوليه‌اش بازگردانند. اين ترميم‌هاي زيبايي با مواد همرنگ دندان انجام مي‌شود و اصلا کسي متوجه نمي‌شود که دندان شما، دنداني ترميم شده است. در دنياي دندان‌پزشکي ترميمي و زيبايي مواد مختلف و جديدي به بازار آمده‌اند که دست دندان‌پزشکان را براي اين ترميم‌ها باز گذاشته‌اند. با دکتر کسري طبري، متخصص دندان‌پزشکي ترميمي و زيبايي و عضو هيات علمي دانشگاه علوم پزشكي شهيد بهشتي، درباره همين موضوع حرف زده‌ايم.

آقاي دکتر! اصلا چرا دندان‌هاي جلويي لب‌پر مي‌شود؟
 

مهم‌ترين دليل لب‌پر شدن دندان‌هاي جلويي، ضربه خوردن يا همان تروما است که اين تروما مي‌تواند انواع مختلفي داشته باشد از خيلي خفيف تا خيلي شديد که در مواردي که ضربه خوردن خيلي شديد باشد ممکن است بيمار نياز به درمان‌هاي پيچيده‌تري داشته باشد. در مواردي که ضربه خوردن خفيف است ما با لب‌پرشدن دندان‌ها مواجه مي‌شويم.

آن‌وقت بايد دندان‌ها را روکش کرد؟
 

در اين موارد در صورتي که ريشه آسيب نديده باشد و دندان‌ در جاي خود تکان‌نخورده باشد با درمان‌هاي خيلي محافظه‌‌کارانه مي‌توانيم اقدام به ترميم دندان کنيم. نکته‌اي که خيلي مهم است اين است که از هرگونه درمان‌هاي تهاجمي مثل روکش و... بايد صد درصد اجتناب کرد.

پس چرا برخي دندانپزشکان اين دندان‌ها را روکش مي‌کنند؟
 

متاسفانه چون تنظيم رنگ و درآوردن آناتومي در اين مناطق دشوار است بنابراين همکاران دندان را تراش مي‌دهند و آن را روکش مي‌کنند در حالي که اصلا نيازي به روکش ندارد و مي‌‌توان به کمک مواد همرنگ دندان که به اصطلاح به آنها کامپوزيت گفته مي‌شود دندان را خيلي خوب و زيبا اصلاح و به‌طور دقيق ترميم کرد. در رابطه با مراقبت‌هاي بعد از ترميم در اين موارد که ما با مواد کامپوزيت دندان‌هاي لب‌پر شده را ترميم مي‌کنيم در ادامه فقط بايد چند نکته رعايت شود. طي 24 ساعت يا 48 ساعت اول بيمار از خوردن مواد غذايي رنگي اجتناب کند. بيمار بايد از گاز زدن پرهيز کند و از همه مهم‌تر اين است که هر 3 تا 4 ماه يکبار به دندان‌پزشک خود مراجعه کند و اين کامپوزيت‌هايي که روي دندان انجام شده است را پاليش کند.

منظور‌تان از پاليش کردن چيست؟
 

پاليش کردن همان صاف و صيقلي شدن سطح دندان است چون بعد از مدتي خطي بينابين ناحيه کامپوزيت‌ها و دندان ايجاد مي‌شود که ممکن است نماي خوشايندي نداشته باشد و ما با تغيير رنگ مواجه شويم بنابراين با مراجعه مرتب و منظم به دندان‌پزشک هر چند ماه يکبار مي‌توانيم همواره کيفيت و زيبايي اين کامپوزيت‌ها را حفظ کنيم.

مراحل اين ترميم چگونه است؟
 

درباره مراحل ترميم بايد گفت پس از اينکه تماس‌هاي دنداني چک شد دندان‌پزشک يک مقدار لبه‌هاي مينايي را صاف مي‌کند و به کمک اسيد مينا را متخلخل مي‌کند و يک لايه باندينگ يا چسب مي‌زند و اين باندينگ را سفت مي‌کند و بعد کامپوزيت‌ها را لايه‌لايه روي يکديگر قرار مي‌دهد و با نور اين لايه‌ها را سفت مي‌کند و بعد از اينکه اين کارها انجام شد پزشک با کمک فرزهايي اين لايه‌ها را صاف و صيقلي مي‌کند.

عادت‌هاي دهاني لطمه‌اي به اين ترميم‌ها نمي‌زند؟
 

در اين بيماران بايد دقت کرد که آنها هيچ‌گونه عادت‌هايي مانند ناخن جويدن، يخ خوردن، دندان‌قروچه، فشار دادن دندان‌ها روي هم و... نداشته باشند زيرا اگر بيمار اين‌گونه عادات را داشته باشد احتمال شکسته شدن دندان کامپوزيتي وجود دارد.

دلايل اصلي شکستن اين ترميم‌ها در آينده چيست؟
 

ما دو دليل اصلي براي شکستگي‌هاي بعدي اين ترميم‌ها داريم. اول اينکه مراحلي که دندان‌پزشک انجام داده است اشکالي داشته است يا اينکه بيمار نيروهاي خيلي زياد و سنگيني دارد که روي اين ترميم‌ها اعمال مي‌کند و باعث شکستگي آنها مي‌شود.
منبع:www.salamat.com



 



نظرات کاربران
ارسال نظر
با تشکر، نظر شما پس از بررسی و تایید در سایت قرار خواهد گرفت.
متاسفانه در برقراری ارتباط خطایی رخ داده. لطفاً دوباره تلاش کنید.
مقالات مرتبط