دکتر بیتا خواجهنوری، متخصص بیماری های لثه
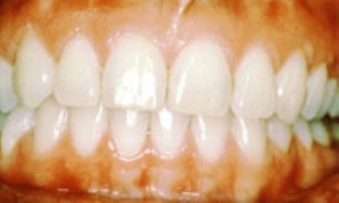
این بیماری ممکن است از دوران کودکی تا بزرگسالی اتفاق بیفتد. واژه تحلیل بافت نرم لثه زمانی به کار میرود که لبه بافت نرم لثه از موقعیت اولیه خود روی تاج دندان به سمت ریشه حرکت کند و این جابهجایی همراه با عریانشدن سطح ریشه دندان باشد. برای برقراری سلامت لثه نیاز به یک حداقل عرض و ضخامت از این بافت است. مطالعات متعدد تایید کردهاند که همواره وجود یک لثه عریض و ضخیم، باعث میشود که در مقابل نفوذ عوامل میکروبی محافظت بیشتری نسبت به یک لثه باریک و نازک وجود داشته باشد. لثههای فرد ممکن است به دلایل متعددی تحلیل پیدا کند که از مهمترین عوامل ایجاد آن میتوان به شکل و ضخامت بافت لثه، تروما، بیماریهای لثهای التهابی و نیروهای جوندگی بیش از حد اشاره کرد.
• با این عمل امکان پوشش ریشههای عریان فراهم میشود.
• با پوشش این ریشهها میزان پوسیدگی ریشه کاهش مییابد.
• حساسیت ریشه دندانها به مایعات گرم و سرد کمتر میشود.
• چهره فرد هنگام لبخند زدن زیباتر میشود.
منبع مقاله: هفته نامه سلامت
این بیماری ممکن است از دوران کودکی تا بزرگسالی اتفاق بیفتد. واژه تحلیل بافت نرم لثه زمانی به کار میرود که لبه بافت نرم لثه از موقعیت اولیه خود روی تاج دندان به سمت ریشه حرکت کند و این جابهجایی همراه با عریانشدن سطح ریشه دندان باشد. برای برقراری سلامت لثه نیاز به یک حداقل عرض و ضخامت از این بافت است. مطالعات متعدد تایید کردهاند که همواره وجود یک لثه عریض و ضخیم، باعث میشود که در مقابل نفوذ عوامل میکروبی محافظت بیشتری نسبت به یک لثه باریک و نازک وجود داشته باشد. لثههای فرد ممکن است به دلایل متعددی تحلیل پیدا کند که از مهمترین عوامل ایجاد آن میتوان به شکل و ضخامت بافت لثه، تروما، بیماریهای لثهای التهابی و نیروهای جوندگی بیش از حد اشاره کرد.
تحلیل لثه از کودکی تا بزرگسالی
از نظر شکل ظاهری بافت لثه به دو دسته نازک و ضخیم تقسیمبندی میشود. مسلما مشخص است که یک لثه نازک، استعداد بیشتری برای تحلیل نسبت به یک لثه ضخیم دارد. الگوی رویشی دندانها نیز در تحلیل لثه موثر است. وقتی یک دندان در یک قوس فکی به حالت بیرونزده قرار گیرد، استخوان و لثه پوشاننده روی ریشه این دندان نازکتر شده و مستعد تحلیل میشود. گاهی در دهان بچهها حالت تحلیل مشاهده میشود. در اینگونه مواقع اگر کودک در سن رشد قرار دارد، باید صبر کرد چون هماهنگ با رشد زائده فکی امکان رشد ابعاد لثه وجود دارد و در اکثر مواقع تحلیل لثه خودبهخود برطرف میشود. از دیگر عوامل تحلیل برنده لثه وجود فشار بیش از حد و آسیبرسان (تروما) به این بافت است. این تروما میتواند یک پاسخ التهابی در لبه لثه ایجاد کند که متعاقب آن لثه و استخوان زیرین از بین میرود. این نوع تحلیل را میتوان بیشتر در افرادی مشاهده کرد که با یک مسواک خشن به روش افقی و با فشار دست زیاد مسواک میزنند. بنابراین نظافت دهان به روش فوق بیشتر از اینکه به بهبود وضعیت کمک کند آسیبرسان خواهد بود.بیماری لثه عامل تحلیل لثه
از عوامل دیگر میتوان از بیماریهای التهابی لثه نام برد و در این حالت تحلیل بیشتر در سطوحی از دندان است که مقادیر بیشتری جرم و پلاک میکروبی دارد. در ارتباط با نیروهای جوندگی تاکنون به اثبات نرسیده که این نیروها باعث ایجاد تحلیل میشوند اما تحقیقات ثابت کرده که حذف نیروهای جوندگی آسیبرسان، میتواند روند تحلیل لثه را متوقف و حتی امکان بازسازی نسج را به صورت خودبهخود فراهم کند. بنابراین میتوان نتیجه گرفت که با کنترل عوامل فوق میتوان با روشهای غیرجراحی هم تا حدی روند تحلیل را متوقف کرد.درمان تحلیل لثه؛ قدم به قدم
اولین قدم برای توقف یا کنترل در پیشرفت تحلیل لثه، درمان هرگونه التهاب بافت لثه است که این امر از طریق برداشت جرم و پلاک میکروبی از روی سطح ریشه دندان توسط عمل جرمگیری صورت می گیرد. گام بعدی این است که در بیماران دچار تحلیل لثه باید عادات بهداشت دهانی غلط تصحیح شود. به جای مسواک زدن خشن با یک مسواک سخت به روش افقی و با فشار دست زیاد، روش مسواک زدن عمودی با یک مسواک فوقالعاده نرم و با فشار دست مناسب توصیه میشود. باید توجه داشت که حین مسواک زدن هم لثه و هم دندان ماساژ ملایم داشته باشند. در ضمن بهتر است که خمیردندان مصرفی نرم و تا حدامکان فاقد ذرات ساینده باشد. در ارتباط با دندانهایی که خارج بودنشان در قوس فک زمینهساز تحلیل لثه شده میتوان از درمانهای ارتودنسی برای ردیفکردن دندان در قوس فک استفاده کرد و با این کار انتظار برطرف شدن خوبهخودی تحلیل را حتی بدون نیاز به جراحی پیوند داشت.وقتی کار از کار می گذرد
اما موارد زیادی هم وجود دارد که تحلیل لثه به وجود آمده دیگر قابلیت برگشت خودبهخودی را ندارد. در این حالت جراحیهای پیوند لثه و بازسازی بافت نرم توسط تکنیکهای مختلف جراحی توصیه میشود. زمانی که در اثر تحلیل لثه ریشههای عریان در دهان ایجاد میشود طول تاج دندانها طویلتر میشود و هنگام خندیدن و تکلم فرد ایجاد ظاهری نازیبا میکند. چنین فردی همواره آرزو دارد که توسط پوشاندن یک یا تعداد بیشتری از ریشههای دندانهایش، زیبایی را به چهره خود برگرداند در ضمن دندانهای دارای تحلیل معمولا دارای حساسیت ریشه نسبت به غذاهای گرم و سرد هستند و امکان ایجاد پوسیدگی روی این ریشهها هم وجود دارد. بنابراین در درمان قطعی اینگونه تحلیلها ابتدا باید عوامل ایجادکننده تحلیل لثه را تحت کنترل قرار داد و بعد با استفاده از جراحی و عمل پیوند نسج نرم نقص موجود را رفع و از بروز تحلیل بیشتر لثه و تخریب بیشتر استخوان زیرین جلوگیری کرد. پیوندهای نسج نرم میتوانند برای پوشش ریشهها یا افزایش عرض و ضخامت لثه در ناحیه به کار روند. حین جراحی، پریودنتیست (جراح لثه) با گرفتن پیوند از سقف کام یا سایر نواحی دهنده در دهان، سعی در پوشاندن ریشههای دندان دارد. این عمل میتواند برای یک یا چند دندان در یک جلسه یا تعداد جلسات متعدد استفاده شود.مزایای پیوند لثه
• تحلیل و تخریب استخوانی بیشتر کاهش مییابد.• با این عمل امکان پوشش ریشههای عریان فراهم میشود.
• با پوشش این ریشهها میزان پوسیدگی ریشه کاهش مییابد.
• حساسیت ریشه دندانها به مایعات گرم و سرد کمتر میشود.
• چهره فرد هنگام لبخند زدن زیباتر میشود.
منبع مقاله: هفته نامه سلامت
/ج