پيچ‌خوردگي‌ بيضه

پيچ‌خوردگي‌ بيضيه‌ عبارت‌ است‌ از پيچ‌خوردگي‌ طناب‌ اسپرماتيك‌ بيضه‌ كه‌ گاهي‌ به‌طور برگشت‌ناپذير به‌ بيضه‌ آسيب‌ مي‌زند. پيخ‌خوردگي‌ بيضه‌ معمولاً تنها در يك‌ طرف‌ رخ‌ مي‌دهد. مردان‌ را در تمام‌ سنين‌ مبتلا مي‌كند ولي‌ در نوجوانان‌ (20-12 ساله‌) شايع‌تر است‌.
جمعه، 22 بهمن 1389
تخمین زمان مطالعه:
موارد بیشتر برای شما
پيچ‌خوردگي‌ بيضه

پيچ‌خوردگي‌ بيضه
پيچ‌خوردگي‌ بيضه


 





 
اطلاعات‌ اوليه‌

شرح بيماري
 

پيچ‌خوردگي‌ بيضيه‌ عبارت‌ است‌ از پيچ‌خوردگي‌ طناب‌ اسپرماتيك‌ بيضه‌ كه‌ گاهي‌ به‌طور برگشت‌ناپذير به‌ بيضه‌ آسيب‌ مي‌زند. پيخ‌خوردگي‌ بيضه‌ معمولاً تنها در يك‌ طرف‌ رخ‌ مي‌دهد. مردان‌ را در تمام‌ سنين‌ مبتلا مي‌كند ولي‌ در نوجوانان‌ (20-12 ساله‌) شايع‌تر است‌.

علايم‌ شايع‌
 

درد ناگهاني‌ يك‌ بيضه‌
تورم‌، قرمزي‌ و حساسيت‌ به‌ لمس‌ بيضه‌دان‌
تهوع‌ و استفراغ‌
تعريق‌
ضربان‌ قلب‌ سريع‌ در صورت‌ شديد بودن‌علل‌

علل‌
 

معمولاً ناشناخته‌. گاهي‌ در هنگام‌ تولد وجود دارد يا ممكن‌ است‌ به‌ ندرت‌ در اثر انقباض‌ شديد عضلات‌ متصل‌ به‌ بيضه‌ و طناب‌ اسپرماتيك‌ ايجادشود.عوامل تشديد كننده بيماري
عوامل تشديد كننده بيماري
ناشناخته‌

پيشگيري‌
 

در هنگام‌ شركت‌ در ورزش‌هاي‌ تماسي‌ براي‌ پيشگيري‌ از آسيب‌ تناسلي‌ از بيضه‌بند استفاده‌ كنيد.

عواقب‌ مورد انتظار
 

گاهي‌ پيچ‌خوردگي‌ خود به‌ خود تصحيح‌ مي‌شود؛ علايم‌ از بين‌ مي‌روند و درماني‌ لازم‌ نيست‌. البته‌ بيضه‌ معمولاً بدون‌ ترميم‌ آسيب‌ مي‌بيند مگر اين‌ كه‌ جراحي‌ در عرض‌ 4-3 ساعت‌ پس‌ از شروع‌ علايم‌ انجام‌ شود. اگر قرار باشد يك‌ بيضه‌ برداشته‌ شود، بايد براي‌ بلوغ‌ طبيعي‌، زندگي‌ جنسي‌ و توليدمثل‌ طبيعي‌، هورمون‌هاي‌ كافي‌ براي‌ بيضه‌ سالم‌ باقي‌ مانده‌ فراهم‌ شود.

عوارض‌ احتمالي‌

مرگ‌ سلول‌هاي‌ بيضه‌ در اثر كاهش‌ يا انسداد جريان‌ خون‌. بيضه‌ آسيب‌ديده‌ و طناب‌ اسپرماتيك‌ در اين‌ حالت‌ بايد برداشته‌ شوند.
درمان‌

اصول‌ كلي‌
 

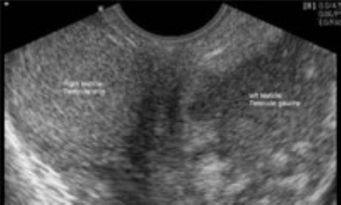
معمولاً تشخيص‌ تنها با معاينه‌ فيزيكي‌ گذاشته‌ مي‌شود ولي‌ سونوگرافي‌ نيز ممكن‌ است‌ انجام‌ شود.
جراحي‌ براي‌ رفع‌ پيچش‌ طناب‌ اسپرماتيك‌ پيچ‌خورده‌ و اتصال‌ بيضه‌ آسيب‌ ديده‌ به‌ سطح‌ داخلي‌ جدار بيضه‌دان‌ كه‌ مانع‌ عود مي‌گردد. جراحي‌ براي‌ پيشگيري‌ از پيچ‌خوردگي‌، احتمالاً برروي‌ بيضه‌ غيرمبتلا نيز انجام‌ خواهد شد.
پس‌ از جراحي‌، از كيسه‌ يخ‌ براي‌ تسكين‌ درد و تورم‌ استفاده‌ كنيد.
يخ‌ را در پلاستيك‌ بگذاريد. آن‌ را در طرف‌ آسيب‌ ديده‌ بگذاريد و با يك‌ پارچه‌ يخ‌ را از پوست‌ جدا كنيد. هر بار 10-5 دقيقه‌ يخ‌ را روي‌ موضع‌ قرار دهيد. در صورت‌ لزوم‌ اين‌ كار را تكرار كنيد.
داروها
بعد از جراحي‌، ممكن‌ است‌ مسكن‌ها تجويز گردند.
فعاليت در زمان ابتلا به اين بيماري
بعد از جراحي‌ به‌ تدريج‌ فعاليت در زمان ابتلا به اين بيماري هاي‌ طبيعي‌ خود را از سر بگيريد.
رژيم‌ غذايي‌
رژيم‌ غذايي‌ خاصي‌ ندارد.

درچه شرايطي بايد به پزشك مراجعه نمود؟
 

اگر شما يا يكي‌ از اعضاي‌ خانواده‌تان‌ علايم‌ پيچ‌خوردگي‌ بيضه‌ را داشته‌ باشيد. اين‌، يك‌ اورژانس‌ است‌!
اگر علايم‌ عفونت‌ پس‌ از جراحي‌ آغاز شوند. اين‌ علايم‌ عبارتند از تب‌، لرز، درد عضلاني‌، سردرد، سرگيجه‌ و احساس‌ ناخوشي‌ عمومي‌
اگر خونريزي‌ بيش‌ از حد در محل‌ جراحي‌ رخ‌ دهد.

پي نوشت ها :
 

* نام بيماري به انگليسي: testicle torsion

منبع:www.irteb.com



 



ارسال نظر
با تشکر، نظر شما پس از بررسی و تایید در سایت قرار خواهد گرفت.
متاسفانه در برقراری ارتباط خطایی رخ داده. لطفاً دوباره تلاش کنید.
مقالات مرتبط