مطالعۀ میکروسکپی و الکترون میکروسکپی اثر نانوذرات آهن در ماهی پلاتی پوسیلوس ماکولاتوس

استفاده ازترکیبات شیمیائی وعناصر علامت گزاری شده که به روشهای شیمیائی و یا اتورادیوگرافی درموجود قابل شناسائی هستند از دیر بازجهت تحقیفات قیزیولوژیکی، سیتولوژیکی هیستوشیمیائی مورد توجه محققین بوده اند. دراین تحقیق ازنانوذرات آهن جهت بررسی کیفیت وکمیت جذب ، انتقال وتاثیرات منفی آن بر اندامهای ماهی و نیز جنین آن استفاده شده است.
شنبه، 14 ارديبهشت 1398
تخمین زمان مطالعه:
موارد بیشتر برای شما
مطالعۀ میکروسکپی و الکترون میکروسکپی اثر نانوذرات آهن در ماهی پلاتی پوسیلوس ماکولاتوس
مواد وروش کار: مولکولهای با اندازۀ تا 100 نانومتر تجت عنوان نانو ذرات خوانده می شوند. نانو ذرات بکار برده شده در این تحقیق پلی ساکارید آهن داریست شامل یک جزء قندی دکستران که توسط شرکت آلمانی Hoechst  با یک اتم اهن پیوند خورده است و در پزشکی و دامپزشکی با نام تجاری «میوفر» بر ضد کمبود آهن مصرف می شود. اندازۀ ذرات آن حدود 75 آنگستروم وارگانیسم جانوری به خوبی آن را تجمل می کند. نمونه های تهیه شده با روشهای میکروسکپی والکترون میکروسکپی آماده ومطالعه شدند.

نتیجه و بحث: نتایج بدست آمده نشان می دهند که این نانوذرات باسرعت جذب شده و همراه با جریان خون به اندامهای مختلف ماهی منتقل و ذخیره می گردند. افزایش مقداراین نانوذرات درون سلول وبافت ها موجب کندی تحرک جانور وتوقف رشد جذین، عدم تمایل به غذا وتغییردرمورفولوژی سلول، ازجمله کاهش اندازۀ میکروویلیها می شود.


مقدمه    

استفاده از ترکیبات شیمیائی وعناصر قابل جستجو یا علامت گزاری شده در بافت و سلولها از دیر باز هدف تحقیقات فیزیولوژیکی ، بافت شناسی و سیتولوژی بوده است  (1،2)((Schmidt1961,Gedigk1953. آنچه در اینجا ارائه می شود بخشی از یک سری تحقیقات درزمینۀ سیتوشیمی وهیستوشیمی و بررسی های میکروسکوپ الکترونیست که باید درک مارا از جریان جذب، انتقال و ذخیره و نیزاثرات فیزیولوزیکی افزایش این نانوذره را در بدن ماهی که یک ماهی زنده زاست و نیز جنین آن گسترش دهد. سمیت ترکیبات آهن دار پیش ازاین نیز توسط دیگران مانند(3) Gedigk,1953  ، (4)Propst, 1953 ، (5)Schmidt, 1962  مطالعه و گزارش گردیده است.

مادۀ شیمیائی میوفر که غالبا دراین تحقیقات مورد استفاده قرار گرفته است بدلیل قابلیت تحمل خوب آن توسط جانوران مورد آزمایش ترکیب انتخابی بوده است. این ترکیب شامل پلی ساکارید دکستران و یک اتم آهن است، که با پیوندی محکم به یکدیگرباند شده اند.


مواد وروشها

جانوران موردآزمایش،افراد مادۀ زنده زای(vivipaarous) ماهی پلاتی پوسیلوس ماکولاتوس (Poecilidae) به بزرگی 3 تا 4 سانتی متر بودند که درآکواریوم محتوی آب معمولی و درجه حرارت 24 درجۀ سانتی گراد نگهداری می شدند. بر حسب سن و بزرگی ماهی به هرکدام بین 05/0 تا 1/0 میلی لیتر میوفر که با رینگر ماهی (PH= 6/5 ) به نسبت های 1:1 ، 1:2 و1:3 رقیق شده، وبرحسب مورد، میوفر رقیق نشده درون حفرۀ شکمی تزریق گردید. برای کنترل بهتر نوزادان، جانوران مورد آزمایش جداگانه نگهداری شده و ماهیانی که با میوفررقیق تزریق شده بودند، بعد از14، 25، و35 روز به منظورآزمایشات میکروسکوپ نوری و میکروسکوپ الکترونی و بررسی های سیتولوژیکی کشته می شدند.
 
 روشهای میکروسکوپ نوری
پس از تزریق نانوذرات میوفر در زمانهای مختلف، ماهی کشته شده و بدن به سه قسمت : سر، تنه ودم تقسیم می شود. جهت فیکسه کردن از فیکساتور بوئن استفاده شد. برای آهک زدائی بهتر به فیکساتور بوئن اسید استیک اضافه گردید. چنانچه فیکساتور فرمل بود، قطعات بافتی پس از نگهداری در بی سولفیت سدیم به مدت 24 ساعت (جهت جلوگیری از تورم بافت) با آب جاری به مدت 24 ساعت شستشو داده شدند. پس از آهک زدائی قطعات بافتی جهت آغشته کردن وارد مخلوط ایزوپروپانل – پارافین به نسبت های 1:3،1:1،3:1 شده و در پایان دو مرتبه در پارافین خالص پاساژ داده شده ودر آخر قالب گیری شدند.
 
آشکار سازی نانوذرۀ میوفر
واکنش آبی برلین (Berlin blue). این روش برای ظاهر سازی ذخایر نسبتا بزرگ میوفرمناسب است.

واکنش سولفید آهن.این روش برای ظاهر ساختن Fe++ بکار میرود. در این روش F+++ موجود در بافت به   Fe++تبدیل و درنتیجه واکنش قویتر روی می دهد(6)(Burck, 1973) .

واکنش PAS طبق (7)Hotchkiss, 1948)). در این روش اجزاء پلی ساکارید دکستران به رنگ ارغوانی  آشکارمی شود. ولی همراه آن پلی ساکاریدهای بافتهای روده ، بافت پیوندی ، وغضروف نیز رنگ می گیرند. در نتیجه اختصاصی نیست.
 
روشهای میکروسکوپ الکترونی
برای تحقیقات سیتولوژیکی، نمونه ها پس از جدا شدن مستقیما داخل محلول بافر سرد وارد شده و داخل آن قطعه قطعه می گردند. محلول فیکساتور طبق روش(8 ) Sjostrand ,1956 و یا مخلوط 5% گلوتار آلدئید و بافر فسفات ( PH=7/3- 7/4) تهیه و مرحلۀ دوم ثبوط به کمک تترا کسید اسمیوم ( OsO4) 4% صورت می گیرد .

بعد ازعمل ثبوت ، قطعات بافتی در محلول بافر شسته شده و در استون آبگیری می شوند. در مرحلۀ استون 70% مخلوط کنتراست دهنده شامل اورانیل استا ت1%(9) (1957،Wohlfarth- Bottermann ) در استون 70% ساخته شده، و بافتها به مدت 2 ساعت در حرارت معمولی آزمایشگاهی در آن قرار می گیرند. عمل خواباندن بافت در وستوپال انجام و برای مشاهدۀ مقاطع تهیه شده با اولترا میکروتوم Reichert از یک میکروسکوپ الکترونی مدل  ZEISS 10 استفاده شد .  
 

نتایج

نتایج میکروسکوپ نوری
تنها 5 دقیقه پس از تزریق نانوذرۀ میوفردرحفرۀ شکمی ماهی آثار جذب آن دراپیتل آبششی و نیز بخش خارجی تخمدان آشکارمیشود (شکل1). واکنش با آبی برلین و سولفید آهن قویتر و با PAS ضعیف تر است. ساکهای زرده ای جنین ها پس ازیک ساعت درحاشیه واکنش نشان می دهند. بافت پیوندی و اووسیت های رشد کرده در تخمدان واکنش مثبت نشان می دهند. پس از دو ساعت تیغه های آبششی واکنش رنگی شدیدی در شعاعهای غضروفی آبششی نشان می دهند(شکل 2). این واکنش در سینوزوئیدهای کبدی وکلیه  نیز به چشم میخورد. دراینجا نیز واکنش سولفیدآهن قوی ترظاهر می شود. لایۀ سروزی وعضلات روده حضور نانوذره را با واکنش قوی نشان می دهند. پس از 10 ساعت شدت واکنش نسبتا ثابت است. همانگونه که در تصاویر 2و 3 مشخص است ، بیشترین تراکم نانوذرات میوفر را در قلب ورگهای خونی و اندامهای کبد و کلیه شاهدیم Muckenthaler,2008 )10 ). عضلات متوسط و مغز کمترین تراکم و انتشار میوفررا حتی پس از ساعات طولانی دارند. آثار مثبت یافت شده در دندانها نباید به جذب میوفر از طریق جریان خون مربوط باشد. زیرا این واکنش در کنترل نیز دیده می شود.

مطالعۀ میکروسکپی و الکترون میکروسکپی اثر نانوذرات آهن در ماهی پلاتی پوسیلوس ماکولاتوس
 
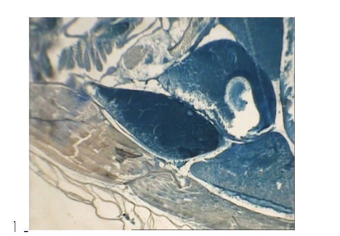
    شکل1): برش عرضی از تنۀ ماهی . عضلات تحتانی شکم و نیز دیوارۀ روده ها ذخیره ای ماکروسکوپیک از میوفر نشان نمی دهند. نانو ذرات فقط درون حفرۀ سلومی وروده بند واکنش نشان می دهند. واکنش مثبت میوفر2 دقیقه پس ازتزریق. درشتنمائیx :  12 .D = روده، M = عضلات ، فلش سفید = میوفر
مطالعۀ میکروسکپی و الکترون میکروسکپی اثر نانوذرات آهن در ماهی پلاتی پوسیلوس ماکولاتوس
شکل2): برش عرضی از تنۀ ماهی پلاتی . بخشهائی از مقطع تخمدان وروده در تصویر با واکنش مثبت نانوذرات میوفر 5 دقیقه پس از تزریق. درشت نمئی  x 11 DA = روده، OV = تخمدان،   =MF میوفر.

مطالعۀ میکروسکپی و الکترون میکروسکپی اثر نانوذرات آهن در ماهی پلاتی پوسیلوس ماکولاتوس
      
       شکل3: واکنش مثبت کلیه ها پس از6 ساعت.دربرش عرضی از تنه ماهی. واکنش سولفید آهن.هنوزعضلات پشنی ماهی ذخیره ای قابل توجه نشان نمی دهند.درحالیکه دیوارۀ روده مثبت است. درشتنمائی : x  11. N= کلیه، = D   روده، M= عضلات پشتی. فلش = نخاع.
                                                                                                                      مطالعۀ میکروسکپی و الکترون میکروسکپی اثر نانوذرات آهن در ماهی پلاتی پوسیلوس ماکولاتوس 
                
شکل 4: برش طول ازمحل آبشش، حفرات قلب( BV = بولبوس وولگاریس، VE = ونتریکل،  =ATآتریوم ) M=عضلات قسمت باله های سینه ای ماهی. L = بخشی ازکبد، وA= تیغه های آبششی. بسته به شدت جریان خون ذخیرۀ متفاوتی ازنانوذرات آهن به رنگ آبی نشان می دهند (واکنش آبی برلین). 6 ساعت پس از تزریق. درشتنمائی:  x 16.
 
نتایج میکروسکوپ الکترونی
ضمن انجام آزمایشات، پس از تزریق میوفر، جانوران بطورانفرادی عکس العمل متفاوتی ازخود ظاهر می سازند. تزریق نانوذرات خالص میوفرغالبا به مرگ جانور مورد آزمایش می انجامید. عکس العمل ظاهری و رفتار حیوان پس از تزریق، عدم تمایل به غذا ، گاه عدم تحرک و بلاخره طولانی شدن دوران بارداری بوده است. در جنسهای ماده ای که 25 روز بعد از تزریق میوفر کشته شده بودند، فقط قسمتی از ذخیرۀ زرده مورد استفاده قرار گرفته بود. به این ترتیب رشد جنینی کامل نشده واووسیت ها درمراحل مختلف متوقف شده بودند. به همین جهت حتی پس از گذ شت چند هفته ( دوران رشد جنینی 22 روز) پس از تزریق میوفر تولد جدیدی صورت نمی گیرد.
بررسی سیتولوژیکی اووسیت ها و قطعات بافت های مختلف جنینی ، جذب و ذخیرۀ نانوذرات میوفررا نشان می دهد که با وجود تخمک از نوع پر ذرده نشانۀ ارتباط غذائی بین مادر وجنین می باشد. تراکم این نانوذرات در زمانهای کوتاه 8-14 ساعت در لایه های خارجی و اووپلاسم تقریبا یکنواخت ولی بعد از گذشت 14 تا 30 ساعت از تزریق میوفر تراکم آن درلایه های سلولی پوشانندۀ اووسیت (Theca folliculi) ازخارج به داخل تدریجا کاهش می یابد ، به نحوی که دراین زمانها ذخیره سازی درداخل سلول تخمک صورت نگرفته و جذب میوفردر خارج اووسیت ادامه می یا بد(شکل 6-5).   

مطالعۀ میکروسکپی و الکترون میکروسکپی اثر نانوذرات آهن در ماهی پلاتی پوسیلوس ماکولاتوس
                
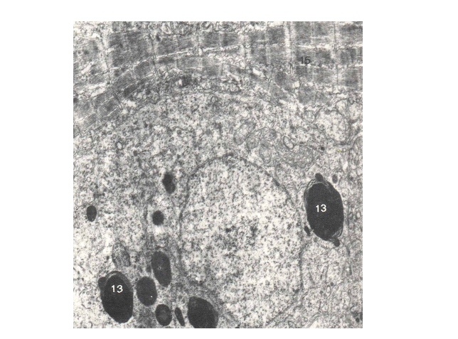
       شکل 5:  نانوذرات آهن دز داخل اووسیت درون حبابها (13) حباب پینوسیتوزی(21). درشتنمائی x: 11200.


پخش میوفر در جنین در اعضاء مختلف متفاوت است و بخش اعظم آن در اندامهای خونساز ذخیره می گردد(11) (Forth,  et al). 8 روزپس از تزریق ، اندامکهای ذخیره ای حتی درسلولهای عضلانی و همراه (Satelleites ) جنین در حال رشد از نانوذرات میوفر انباشته شده اند (شکل5) بعد از 30 روز تغییری درمقدارذخایر نانوذرات آهن در اووسیت ها و تخمدان و اعضاء ماهی به چشم نمی خورد و فقط در جنین ذخیرۀ اندک آهن ادامه می یابد. این ذخایر در سلول های تخمدان بصورت واحد های مدور با تراکم متفاوت مشاهده می شوند. نانوذرات میوفر تقریبا بیشتر فضای سلولی را به شکل سیتو زومهای با اندازه های تقریبی 3/0 تا 7 میکرون پر می کند. در کبد قسمت اعظم فضای درونی سلول انباشته از میوفر است. تغییرات سیتولوژیکی در مادر بصورت کوتاه شدن میکروویلی ها در سلولهای کبدی وافزایش فضای بین سلولی مشاهده می شود(شکل5-7). سیستم رتیکولو اندوتلیال در طحال به مقدار قابل توجهی میوفر ذخیره می کند.(شکل7) .( 12،13) Granick1946, Greenberg1955 نشان دادند که آهن به محض ورود به سلول به آپوفریتین یک  ناقل آهن متصل می گردد. در جنین پس از 25 روزبزرگی ذخایر میوفر در مقایسه با تخمدان کمتر است(شکل 7). هپسیدین یک پپتید 25 اسید آمینهای که در کبد سنتز می شود نقش تعیین کننده ای در متابولیسم آهن دارد.  مقدار کم هپسیدین یک عامل مهم انباشتگی آهن در بدن یا بروز اختلاتلات ایمنی مخصوصا در بیماری های کبدی می باشد(14،15 )(Thomas et al2005، Nemett et al.2004)
                   
مطالعۀ میکروسکپی و الکترون میکروسکپی اثر نانوذرات آهن در ماهی پلاتی پوسیلوس ماکولاتوس
        شکل 6: توده های نانوذرات میوفر(13) درون سلولهای تکا فولیکولی در مجاورت بازال لامینا (فلش سیاه)، کورتکس رادیاتوس (فلش قرمز) وفولیکل اپیتل بین این دو. 14 روز پس از تزریق. درشتنمائی : x5700 .

مطالعۀ میکروسکپی و الکترون میکروسکپی اثر نانوذرات آهن در ماهی پلاتی پوسیلوس ماکولاتوس
          
         شکل 7: تجمع نانوذرات میوفر(13) در سلولهای جوان جنین ماهی. در قسمت بالای تصویر رشته های عضلانی درحال شکل گیری (فلش سفید) مشاهده می شوند. 8 روز  پس از تزریق. درشتنمائی:  x  21800.

مطالعۀ میکروسکپی و الکترون میکروسکپی اثر نانوذرات آهن در ماهی پلاتی پوسیلوس ماکولاتوس
                                                      
                 شکل 8: بافتهای جنینی 25 روز پس از تزریق نانو ذرات میوفر. انبوه این ذرا ت  در شکل توده های کوچک وبزرگ درون بافت جنینی به چشم می خورد(13). درشتنمائی: x 5700.


بحث و نتیجه گیری

نتایج حاصل از این تحقیق نشان می دهند که تزریق مقادیر 50/0 تا 1/0 میلی لیتر از نانوذرات آهن به حفرۀ سلومی ماهی پلاتی پوسیلوس ماکولاتوس ابتدا باسرعت جذب می شود، طوری که چند دقیقه پس ازتزریق وجود این ماده در لایۀ خارجی بافت تخمدان بطریق هیستوشیمی و میکوسکوپی قابل مشاهده است (6 Nourzad,1982)(17 ). تشخیص این که دراین زمان کوتاه وجود نانوذرات میوفردراین قسمت نتیجۀ یک انتشار معمولی یا یک جذب فعال یا آغشتگی بافت به نانوذرات آهن است مشکل می باشد. اما 5 دقیقه پس از تزریق می توان واکنش رنگی آشکاری در بخشهای خارجی تخمدان و سلوتل نشان داد. افزایش جذب تدریجا موجب ذخیرۀ بیشتر میوفردر اندامهای با گردش خون بیشتر و قدرت جذب بالا مانند قلب، کبد، کلیه و عضلات می شود، که در تصاویر میکروسکوپ نوری بصورت توده های آبی آسمانی، ودر میکروسکوپ الکترونی در شکل توده های ذخیره شده درون بافت ها و سلولها ونیز فضای بین سلولی در سیستم اندوتلیال طحال و همچنین در شکل نانوذرات با تراکم زیاد در خون و لمف مشاهده می شود (18،17)(Loeffler,et,al. 2002 و Petrides,2003). این نانو ذرات درون بدن به ناقلهای آهن وقند متصل می شوند. اولین بار Granik.1946(12)  نشان داد که آهن بلافاصله پس ازورود به بدن به فرریتین، هموزیدرین و آپوفریتین تبدیل می شود. شکل انتقا لی آهن در اورگانیسم ترانسفرین وآنزیمهای آهن دار هستند19Mastrobradino, et al. 2009(). (3) Gedigk(1958)  مولکول هموزیدرین یک ناقل آهن را مورد آزمایش قرار دادند و متوجه تفاوت ساختمانی میان هموزیدرین در سلولهای مختلف و اینکه در هر بافت تمایل متفاوتی به ترکیب آهن و ذخیرۀ آن  وجود دارد شدند.

اولین اثار ورود وانباشت این ماده روی ارگانیسم ماهی موجب بروز سمپتوم هائی می شود که برخی از آنها کاهش شدید تحرک ، طولانی شدن دوران بارداری و تکامل جنینی ، کاهش تمایل به غذا در جانور می باشد که حتی Granik.1946(12) به این مطلب اشاره کرده است، که قدرت سنتز سلولهای آسیب دیده کاهش یافته و توا.نائی کمتری در ساختن آپوفرریتین نشان می دهند. در نتیجه راندمان کمتری در اتصال آهن بریافتی و جذب آهن و ذخیرۀ آهن دارند.(4) Propst, 1953 بطور تجربی نشان داد که فعالیت تقریبا تمام سلولهای متحرک سیستم رتیکولو اندوتلیال (RES ) دراثر جذب آهن بلوکه به نظر می رسند و در طحال کاهش فولیکولهارا بعلت تاثیر آهن دانست. در این آزمایشات پس ازتزریق میوفر خالص ، تغییراتی ملاحظه گردید که غالبا منجر به مرگ ماهی شده است وبا مشاهدات (20) Clementi ,  Findi, 1969   تطبیق می نماید. آنها نشان دادند که آهن به مقدار زیاد روی بافت تاثیر سمی می گذارد ، وعکس العمل بافت در مقابل آن بصورت فیبروز عضوی که در آن آهن انباشته شده است ظاهر می گردد.( 21) Bautzmann,Schmidt 1960 نشان دادند که بعد از تزریق میوفر در پرندگان وخزندگان و نیز پستانداران تغییراتی درسیتوپلاسم سلولهای آمنیون ظاهر شد. که موجب عدم یکنواختی معمولی این سلولها گردید،که به عنوان تاثیرآهن توصیف شد.  Schmidt,1962)5 ( Korfsmeier,1966 )22  (ثابت نمود که تاثیر سمی نانو ذرات آهن با کاهش فعالیت پینوسیتوزی سلولها و کم شدن فضای میکرو ویلیها همراه است ، که با یافته های ما در این تحقیق تایید می شود.

چنانچه دوران بارداری در پلاتی پوسیلوس ماکولاتوس 22 روز باشد (23)(Andella,1976 ) و این که اولین لقاح 7 روز بعد از آخرین تولد صورت می گیرد در نظر بگیریم، می توان قبول کرد که سیر منظم رشد جنینی بعد از تزریق نانو ذرات میوفر مختل گردیده است. زیرا 35 روز بعد از جدائی ماده ها هنوز وضع حملی انجام نگرفته بود. اووسیت ها درمراحل مختلف رشد مشاهده شده وجنین ها ضمن اعمال پره پاراسیون ازخود واکنشی نشان نمی دادند. جالب اینکه در تجربیات انجام گرفته روی رت وانسان همین نتایج تحت عنوان مسمومیت با نانوذرات آهن گزارش می گردد( 5Bothwell,Kook,1977(27 و(24)Addy, 1986 ) Salonen, Korpella,et al, 1995 ( 2 6)  و(10 )Muckenthaler, et al 2008  از مسمومیت آهن در انسان که موجب سیروز کبدی، تخریب پانکراس و هماتوکروماتوز و تخریب اندامکهای عامل جذب می گردد گزارش می کنند، که در مسمومیت های انسانی جهت مقابله ازتغییرمنوی غذائی وشستشوی معده ودفع ذخایر آهن با کمک Deferoxamin استفاده می شود (11)(, 2001 Forth, Rummel). از آنجا که نقش موثر آهن در فعالیت های مختلف بدن از قبیل خونسازی (هموگلوبین، میوگلوبین) فعالیت سیتوکرومها، پراکسیدازها، کاتالازها و تنفس (میتوکندری) مشخص است،اختلال در تنظیم، جذب و ذخیرۀ آن نزد انسان وسا یرمهره داران توسط پپتید Hepcidin که در کبد تولید می شود انجام می گیرد)28و 27 ( Lin,2003,2013 (. در صورت جذب زیاد آهن، کبد تولید هپسیدین شروع وجذب آهن متوقف می شود (29)( Park, et al 2001). عدم تغییر ذخایر نانوذرات دراندامهای ماهی نیز باید تحت تاثیرهمین پپتید و یا مشابه آن باشد، که در مدت 20 روز تغییری در ئخایر آهن بدن ماهی جلب توجه نمی کند. این پپتید هورمون متابولیسم آهن خوانده می (33 ،32  ، 32،31)Adamson, 2013,  Anderson,et a.l2012,Bozzaro,et al2013.Buracco,Pracino,2013      ) Drygalski).

نویسندگان: دکترغلامرضا نورزاد
مهتاب سادات فتاحی 


منابع:
1) Aisen,P.  Enns, C. Nessling,   Resnick,M.et al2001: Chemis and Biology of Eukaryotik iron metabolism. Int. J. Biochem. Cell  Biologytry. 33, 130 : 5-9
2) Aktories,U. Forstemann,F. Hofmann and Starke.2009. Allgemeine und spezielle Farmakologie und  Toxikologie . 10. Auflage.Muenschen. Elsevier.       
3) Andela,H.H. 1976. In Vitro-Kultur und Aufzucht von Embryonen lebengebaerender Zahnkarpfen der Gattung Xiphophorus.Zool .Anzeig. (Jena) 197,1/2 ,1-5.
4) Addy,D.P. 1986. Happiness is: Iron. Br Med.J.(clin ResEd): v.292(6326).Apr.12. 969-970.
5) Drygalsky,A.  Adamson,J.W. 2013 Iron metabolism in man.  JPEN J Parenter   Enteral    Nutr.;37(5):599-606. doi: 10.1177/0148607112459648. Epub 2012 Sep 11.
6) Anderson,G.T. MacLaren,G.D. 2012..Iron physiology and Pathophysiology in   human.Humanapress,NewYork2012ISBN1-60321-4847.                                                        
7)Bautzmann,H.Scmidt,W.1969.Vergleichendeelektronenmikroskopische Untersuchungenan Amnios von Sauropsiden und mammaliern. Z.Zellforsch. 51,571-588.
8) Bothwell,Th. Charlton, RW. Kook,TD , 1979: Iron metabolism in man. Blackwell Scientific Publication.
9)Burck,H.C.1973.HistologischeTecknik. Leitfaden fuer die Herstellung mikroskopischer Praeparate in  Unterricht und  Praxis. Georg Thieme Verlag  Stuttgart.
10) Clementi, A. Finch, A. et al. . 1950 . Blood, J.Hemat.5,(2).
11) Clement, F. Palade, G. 1969: Intestinal capilaris. I. permeability to peroxidase  and Ferritin. J. Cell Biol.41, 33- 52.
12) Drygalski,A. Adamson,J.W. 2013. Iron metabolism in man .JPEN J parantral Nutr.Sep: 37(5): 599-606.
13) Farrant,J. L. & Hodge, 1954 . Der elektronenmikroskopischeNachweis von Eisen im Gewebe. (Lindner) . Erg.Allg. Path.Anat. 38,569- 576.
14) Forth,W. Rummel, W. Anders, H. et al. 2012 . Zur Frage der Regulation der Eisen resorption durch Gastroforin, ein eisenbindendes protein des Magensaftes. J. of molecular Medicine. 46,  Nr.18,1968. Abgerufen am 18 Juli 2012.
15)Gedik, P Strauss, G. 1953: Zur Histochemie des Hemosiderins. Verh.Dtsch.Ges.Path. 37, 240.ِ
16) Gedigk,P. 1958 . Zur funktiunelle Bedeutung  des Eisenpigmentes. Ergeb .allg. path. Anat. 38, 1 -45
17) Granik, S. 1946. Ferritin, its properties and significance for iron  metabolism. J. Biol.chem.164, 737.
18) Grotte, G. 1956. Passage  of Dextran Molecules across the blood – Lymph barrier. Acta. Chir. Second suppl. 211 , S.1.
19) Gieseking, R. 1957: Elektronenmikroskopische Beobachtungen der Stoeetransport in gie Alveolar wand. Verh.Dtsch. Ges. Path. 41, 336 - 342.
20) Gieseking, R. 1958 . Aufnahme und Ablagerung von Fremdstoffen in der Lunge nach elektronenmikroskopischen Untersuchungen. Ergebn. allg.Path.Anat. 38,92.
21) Harold, 2008 .
22) Harrison,PM. Arosio,P. 1996. The Ferritin: molecular properties Iron storge function and cellular regulation . Biochem. Biophys. Acta 1275 /61-203.
23) Hotchkiss, R.D. 1948. PAS - Reaction. In Book: Haematological Cytochemistry. 1980. Churchill  Livin ston Pp320.
24) Hubert, W. A. Warmer, M.C. 1975. Control  of  Epistasis on Channel cat fish in race ways.J. of wild life Diseases, 11(2), S. 241- 244.
25) Klinger, R.E. Floyd, R.F. 2002: Red sore Diesease in Game fish. Fact sheet VM 85. Institute of Food and  Agricultural Science.  Universit  of  Florida.
26) Korfsmeier, K.H. 1966. Zur Genese der Dottersynthese in der Oocyte von Brachydanio rerio. Z. Ze llforsch. 71, 283 – 298.
28) Lin,H.Y. Babbit,TL. 2004: BMP6 is a Key endogenesis regulator of Hepcidin expresson and iron metabolism.
29)  Lin,H.Y. 2013.   Decreased serum hepcidin concentration correlated with brain iron deposition in patient with HBV- related cirrhosis.  Plos one . 8(6) e 65551.Epub 2013 jun .11
30) Loefler, G. Petro,E. Petrides, 2002 : Biochemie und Pathbiochemie. 7. Auflage. Springer- Verlag. Berlin, Heidelberg, New york. ISBN978-3-540-42295-2.
31) Mastrobrandino,  Hoffman,EK. Horowitz, MP. et al. 2004 . transferring /TfR2- mediated novel mitochondria iron transport System is disrupted in Parkinson diesease. Neurobiol. Dis. Feb.26.
32)  Muckenthler, M.U. Galy, B. Henze,M.W. 2008: Systemic iron hemostasis and the iron responsive element/ iron – regulatory protein (IRE/IRP) regulatory network. In: Annu. Rev. Nutr.22.
33) Nemett, E. Tuttlem, MS. Powelson, J. et al. 2004: Hepcidin regulates cellular iron efflux by binding its internalization. Science,306 . 2090 -2093.
34) Park,CH.Valfore,FV. Waring, AJ.etal 2001. Hepcidin a urinary antimicrobial peptide synthetized  in  Live. J. Biol. Chem. 276 (11): 7806-10.
35)  Salonen,JT. Korpella, TT. et al. 1995. Cowering of body  iron stores by blood. Letting and oxidation resistence of serum Lipoprotein:a tandomized cross over tria/ in mal smokers. I of internal Med. 237:162 – 168
36) Schmidt,W. 1961: Elektronenmikroskopische Untersuchungen des interzellularen Stofftransport in der Duendarmepithelzelle nach der Markierung mit Myofer. Z. Zellforsch.  54,803-806.
37)Staubsand,J.1963.ZurHistophysiologiedesHerzbeutel.Mitteilung: Elektronenmikroskopische Untersuchungen Ueber die Passage von Metalsolen durch mesotheliale Membranen. Z. Zellforsch.58, 915- 952.
39) Thomas, Lothar et al , 2005 . Neue Para zur Diagnostik von Eisenmangel Zustand in: Dtsch. Arztbl. 102 (42) : A- 2878.
40) Thomas, Lothar, et al. 2005. Neue Para zur Diagnostik von Eisenmangel Zustand in: Dtsch. Arztbl. 102 (42) : A- 580-86..
41) Tanner,W. 1973.  Stofftransport  durch  Biomembranen. Biologie in Unserer Zeit, 3. Jg. 5, 131- 136.


مقالات مرتبط
ارسال نظر
با تشکر، نظر شما پس از بررسی و تایید در سایت قرار خواهد گرفت.
متاسفانه در برقراری ارتباط خطایی رخ داده. لطفاً دوباره تلاش کنید.
مقالات مرتبط
موارد بیشتر برای شما